ARG45510
anti-EDC4 antibody
anti-EDC4 antibody for Flow cytometry,ICC/IF,Western blot and Human
Overview
| Product Description | Rabbit Polyclonal antibody recognizes EDC4 |
|---|---|
| Tested Reactivity | Hu |
| Tested Application | FACS, ICC/IF, WB |
| Host | Rabbit |
| Clonality | Polyclonal |
| Isotype | IgG |
| Target Name | EDC4 |
| Antigen Species | Human |
| Immunogen | Recombinant protein containing to human EDC4. |
| Conjugation | Un-conjugated |
| Alternate Names | EDC4; Enhancer Of MRNA Decapping 4; HEDLS; RCD-8; Ge-1; Human Enhancer Of Decapping Large Subunit; Enhancer Of MRNA-Decapping Protein 4; Autoantigen RCD-8; Autoantigen Ge-1; HEDL5; Hedls; RCD8; GE1 |
Application Instructions
| Application Suggestion |
|
||||||||
|---|---|---|---|---|---|---|---|---|---|
| Application Note | * The dilutions indicate recommended starting dilutions and the optimal dilutions or concentrations should be determined by the scientist. | ||||||||
| Observed Size | 152 kDa |
Properties
| Form | Liquid |
|---|---|
| Purification | Affinity purified |
| Buffer | 0.2% Na2HPO4, 0.9% NaCl and 4% Trehalose. |
| Stabilizer | 4% Trehalose |
| Concentration | 0.5 mg/ml |
| Storage Instruction | For continuous use, store undiluted antibody at 2-8°C for up to a week. For long-term storage, aliquot and store at -20°C or below. Storage in frost free freezers is not recommended. Avoid repeated freeze/thaw cycles. Suggest spin the vial prior to opening. The antibody solution should be gently mixed before use. |
| Note | For laboratory research only, not for drug, diagnostic or other use. |
Bioinformation
| Database Links |
Swiss-port # Q6P2E9 Human Enhancer of mRNA-decapping protein 4 |
|---|---|
| Gene Symbol | EDC4 |
| Gene Full Name | Enhancer Of MRNA Decapping 4 |
| Background | Predicted to be involved in deadenylation-independent decapping of nuclear-transcribed mRNA. Located in P-body and nucleoplasm. [provided by Alliance of Genome Resources, Feb 2025] |
| Function | In the process of mRNA degradation, seems to play a role in mRNA decapping. Component of a complex containing DCP2 and DCP1A which functions in decapping of ARE-containing mRNAs. Promotes complex formation between DCP1A and DCP2. Enhances the catalytic activity of DCP2 (in vitro). [UniProt] |
| Cellular Localization | Cytoplasm; Nucleus. [UniProt] |
| Calculated MW | 152 kDa |
| PTM | Acetylation; Phosphoprotein. [UniProt] |
Images (4) Click the Picture to Zoom In
-
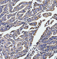
ARG45510 anti-EDC4 antibody IHC-P image
Immunohistochemistry: Human colorectal adenocarcinoma stained with ARG45510 anti-EDC4 antibody at 2 μg/ml dilution.
-
ARG45510 anti-EDC4 antibody ICC/IF image
Immunofluorescence: SiHa stained with ARG45510 anti-EDC4 antibody at 5 μg/ml dilution.
-
ARG45510 anti-EDC4 antibody WB image
Western blot: Hela stained with ARG45510 anti-EDC4 antibody at 0.5 μg/ml dilution.
-
ARG45510 anti-EDC4 antibody FACS image
Flow Cytometry: HL-60 stained with ARG45510 anti-EDC4 antibody at 1 µg/10^6 cells dilution.
