ARG66622
anti-EDIL3 antibody
anti-EDIL3 antibody for IHC-Formalin-fixed paraffin-embedded sections,Western blot and Human
Overview
| Product Description | Rabbit Polyclonal antibody recognizes EDIL3 |
|---|---|
| Tested Reactivity | Hu |
| Tested Application | IHC-P, WB |
| Host | Rabbit |
| Clonality | Polyclonal |
| Isotype | IgG |
| Target Name | EDIL3 |
| Antigen Species | Human |
| Immunogen | Recombinant full length protein of Human EDIL3. |
| Conjugation | Un-conjugated |
| Alternate Names | DEL1; EGF-like repeat and discoidin I-like domain-containing protein 3; Integrin-binding protein DEL1; Developmentally-regulated endothelial cell locus 1 protein |
Application Instructions
| Application Suggestion |
|
||||||
|---|---|---|---|---|---|---|---|
| Application Note | IHC-P: Antigen Retrieval: Heat mediation was performed in Sodium citrate buffer (pH 6.0). * The dilutions indicate recommended starting dilutions and the optimal dilutions or concentrations should be determined by the scientist. |
||||||
| Observed Size | 54 kDa |
Properties
| Form | Liquid |
|---|---|
| Purification | Affinity purification with immunogen. |
| Buffer | 0.42% Potassium phosphate (pH 7.3), 0.87% NaCl, 0.01% Sodium azide and 30% Glycerol. |
| Preservative | 0.01% Sodium azide |
| Stabilizer | 30% Glycerol |
| Storage Instruction | For continuous use, store undiluted antibody at 2-8°C for up to a week. For long-term storage, aliquot and store at -20°C. Storage in frost free freezers is not recommended. Avoid repeated freeze/thaw cycles. Suggest spin the vial prior to opening. The antibody solution should be gently mixed before use. |
| Note | For laboratory research only, not for drug, diagnostic or other use. |
Bioinformation
| Database Links |
Swiss-port # O43854 Human EGF-like repeat and discoidin I-like domain-containing protein 3 |
|---|---|
| Gene Symbol | EDIL3 |
| Gene Full Name | EGF-like repeats and discoidin I-like domains 3 |
| Background | The protein encoded by this gene is an integrin ligand. It plays an important role in mediating angiogenesis and may be important in vessel wall remodeling and development. It also influences endothelial cell behavior. [provided by RefSeq, Jul 2008] |
| Function | Promotes adhesion of endothelial cells through interaction with the alpha-v/beta-3 integrin receptor. Inhibits formation of vascular-like structures. May be involved in regulation of vascular morphogenesis of remodeling in embryonic development. [UniProt] |
| Cellular Localization | Secreted. [UniProt] |
| Calculated MW | 54 kDa |
Images (2) Click the Picture to Zoom In
-
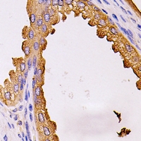
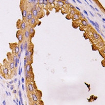
ARG66622 anti-EDIL3 antibody IHC-P image
Immunohistochemistry: Formalin-fixed and paraffin-embedded Human prostate cancer tissue section. Antigen Retrieval: Heat mediation was performed in Sodium citrate buffer (pH 6.0). The section was then stained with ARG66622 anti-EDIL3 antibody at room temperature and detected using an HRP conjugated compact polymer system. DAB was used as the chromogen. The section was then counterstained with haematoxylin and mounted with DPX.
-
ARG66622 anti-EDIL3 antibody WB image
Western blot: HeLa whole cell lysate stained with ARG66622 anti-EDIL3 antibody.
