ARG42702
anti-EDNRA / Endothelin A receptor antibody
anti-EDNRA / Endothelin A receptor antibody for Flow cytometry,IHC-Formalin-fixed paraffin-embedded sections,Western blot and Human
Overview
| Product Description | Rabbit Polyclonal antibody recognizes EDNRA / Endothelin A receptor |
|---|---|
| Tested Reactivity | Hu |
| Tested Application | FACS, IHC-P, WB |
| Host | Rabbit |
| Clonality | Polyclonal |
| Isotype | IgG |
| Target Name | EDNRA / Endothelin A receptor |
| Antigen Species | Human |
| Immunogen | Recombinant protein corresponding to N32-Q381 of Human EDNRA / Endothelin A receptor. |
| Conjugation | Un-conjugated |
| Alternate Names | ETA-R; ETAR; Endothelin-1 receptor; ETRA; Endothelin A receptor; MFDA; ET-A; ETA; hET-AR |
Application Instructions
| Application Suggestion |
|
||||||||
|---|---|---|---|---|---|---|---|---|---|
| Application Note | * The dilutions indicate recommended starting dilutions and the optimal dilutions or concentrations should be determined by the scientist. | ||||||||
| Positive Control | HEK293 | ||||||||
| Observed Size | ~ 50 kDa |
Properties
| Form | Liquid |
|---|---|
| Purification | Affinity purification with immunogen. |
| Buffer | 0.2% Na2HPO4, 0.9% NaCl, 0.01% Sodium azide and 4% Trehalose. |
| Preservative | 0.01% Sodium azide |
| Stabilizer | 4% Trehalose |
| Concentration | 0.5 mg/ml |
| Storage Instruction | For continuous use, store undiluted antibody at 2-8°C for up to a week. For long-term storage, aliquot and store at -20°C or below. Storage in frost free freezers is not recommended. Avoid repeated freeze/thaw cycles. Suggest spin the vial prior to opening. The antibody solution should be gently mixed before use. |
| Note | For laboratory research only, not for drug, diagnostic or other use. |
Bioinformation
| Database Links | |
|---|---|
| Gene Symbol | EDNRA |
| Gene Full Name | endothelin receptor type A |
| Background | This gene encodes the receptor for endothelin-1, a peptide that plays a role in potent and long-lasting vasoconstriction. This receptor associates with guanine-nucleotide-binding (G) proteins, and this coupling activates a phosphatidylinositol-calcium second messenger system. Polymorphisms in this gene have been linked to migraine headache resistance. Alternative splicing results in multiple transcript variants. [provided by RefSeq, Oct 2009] |
| Function | Receptor for endothelin-1. Mediates its action by association with G proteins that activate a phosphatidylinositol-calcium second messenger system. The rank order of binding affinities for ET-A is: ET1 > ET2 >> ET3. [UniProt] |
| Cellular Localization | Cell membrane; Multi-pass membrane protein. [UniProt] |
| Calculated MW | 49 kDa |
Images (3) Click the Picture to Zoom In
-
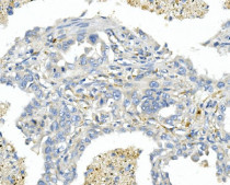
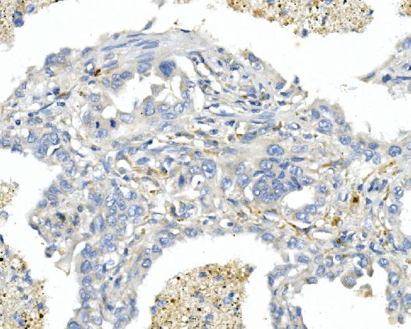
ARG42702 anti-EDNRA / Endothelin A receptor antibody IHC-P image
Immunohistochemistry: Paraffin-embedded Human lung cancer tissue. Antigen Retrieval: Heat mediation was performed in EDTA buffer (pH 8.0). The tissue section was blocked with 10% goat serum. The tissue section was then stained with ARG42702 anti-EDNRA / Endothelin A receptor antibody at 1 µg/ml dilution, overnight at 4°C.
-
ARG42702 anti-EDNRA / Endothelin A receptor antibody WB image
Western blot: 50 µg of samples under reducing condition. HEK293 whole cell lysate stained with ARG42702 anti-EDNRA / Endothelin A receptor antibody at 0.5 µg/ml dilution, overnight at 4°C.
-
ARG42702 anti-EDNRA / Endothelin A receptor antibody FACS image
Flow Cytometry: A549 cells were blocked with 10% normal goat serum and then stained with ARG42702 anti-EDNRA / Endothelin A receptor antibody (blue) at 1 µg/10^6 cells for 30 min at 20°C, followed by incubation with DyLight®488 labelled secondary antibody. Isotype control antibody (green) was rabbit IgG (1 µg/10^6 cells) used under the same conditions. Unlabelled sample (red) was also used as a control.
