ARG67011
anti-EEA1 antibody
anti-EEA1 antibody for ICC/IF,IHC-Formalin-fixed paraffin-embedded sections,Western blot and Human,Mouse,Rat
Overview
| Product Description | Rabbit Polyclonal antibody recognizes EEA1 |
|---|---|
| Tested Reactivity | Hu, Ms, Rat |
| Tested Application | ICC/IF, IHC-P, WB |
| Host | Rabbit |
| Clonality | Polyclonal |
| Isotype | IgG |
| Target Name | EEA1 |
| Antigen Species | Human |
| Immunogen | Synthetic peptide corresponding to Human EEA1. |
| Conjugation | Un-conjugated |
| Alternate Names | Early endosome antigen 1; Zinc finger FYVE domain-containing protein 2; MST105; MSTP105; ZFYVE2; Endosome-associated protein p162 |
Application Instructions
| Application Suggestion |
|
||||||||
|---|---|---|---|---|---|---|---|---|---|
| Application Note | * The dilutions indicate recommended starting dilutions and the optimal dilutions or concentrations should be determined by the scientist. | ||||||||
| Positive Control | Colorental cancer, MCF7, A549 | ||||||||
| Observed Size | ~170 kDa |
Properties
| Form | Liquid |
|---|---|
| Purification | Affinity purified. |
| Buffer | 100 mM Tris Glycine (pH 7.0), 0.025% ProClin 300 and 20% Glycerol. |
| Preservative | 0.025% ProClin 300 |
| Stabilizer | 20% Glycerol |
| Storage Instruction | For continuous use, store undiluted antibody at 2-8°C for up to a week. For long-term storage, aliquot and store at -20°C. Storage in frost free freezers is not recommended. Avoid repeated freeze/thaw cycles. Suggest spin the vial prior to opening. The antibody solution should be gently mixed before use. |
| Note | For laboratory research only, not for drug, diagnostic or other use. |
Bioinformation
| Database Links | |
|---|---|
| Gene Symbol | EEA1 |
| Gene Full Name | early endosome antigen 1 |
| Background | Enables 1-phosphatidylinositol binding activity; GTP-dependent protein binding activity; and protein homodimerization activity. Involved in endocytosis; vesicle fusion; and viral RNA genome replication. Located in cytosol and early endosome. Is extrinsic component of plasma membrane. [provided by Alliance of Genome Resources, Apr 2022] |
| Function | Binds phospholipid vesicles containing phosphatidylinositol 3-phosphate and participates in endosomal trafficking. [UniProt] |
| Cellular Localization | Cytoplasm. Early endosome membrane; Peripheral membrane protein. [UniProt] |
| Calculated MW | 162 kDa |
Images (4) Click the Picture to Zoom In
-
ARG67011 anti-EEA1 antibody ICC/IF image
Immunofluorescence: MCF7 cells were fixed with 4% paraformaldehyde at RT for 10 min, permeabilized with 0.1% NP-40 at RT for 10 min and then cells were blocked with 5% BSA at RT for 30 min and stained with ARG67011 anti-EEA1 antibody (red) at 1:500 dilution at 4°C for overnight. DAPI (blue) was used for nuclear staining.
-
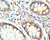
ARG67011 anti-EEA1 antibody IHC-P image
Immunohistochemistry: Paraffin-embedded Human colon cancer tissue stained with ARG67011 anti-EEA1 antibody at 1:100 dilution. Antigen Retrieval: Boil tissue section in Citrate buffer (pH 6.0).
-
ARG67011 anti-EEA1 antibody WB image
Western blot: A549 cell lysate stained with ARG67011 anti-EEA1 antibody at 1:2000 dilution, overnight at 4°C.
-
ARG67011 anti-EEA1 antibody WB image
Western blot: Mouse Testis tissue lysate stained with ARG67011 anti-EEA1 antibody at 1:2000 dilution, overnight at 4°C.
