ARG56714
anti-EGF antibody
anti-EGF antibody for ELISA,IHC-Frozen sections,Neutralizing,Western blot and Rat
Overview
| Product Description | Rabbit Polyclonal antibody recognizes EGF |
|---|---|
| Tested Reactivity | Rat |
| Tested Application | ELISA, IHC-Fr, Neut, WB |
| Host | Rabbit |
| Clonality | Polyclonal |
| Isotype | IgG |
| Target Name | EGF |
| Antigen Species | Rat |
| Immunogen | E.coli derived Recombinant Rat EGF. (MNSNTGCPPS YDGYCLNGGV CMYVESVDRY VCNCVIGYIG ERCQHRDLRW WKLR) |
| Conjugation | Un-conjugated |
| Alternate Names | Urogastrone; Pro-epidermal growth factor; URG; HOMG4; EGF |
Application Instructions
| Application Suggestion |
|
||||||||||
|---|---|---|---|---|---|---|---|---|---|---|---|
| Application Note | * The dilutions indicate recommended starting dilutions and the optimal dilutions or concentrations should be determined by the scientist. |
Properties
| Form | Liquid |
|---|---|
| Purification | Affinity purification with immunogen. |
| Buffer | PBS (pH 7.2) |
| Concentration | 1 mg/ml |
| Storage Instruction | For continuous use, store undiluted antibody at 2-8°C for up to a week. For long-term storage, aliquot and store at -20°C or below. Storage in frost free freezers is not recommended. Avoid repeated freeze/thaw cycles. Suggest spin the vial prior to opening. The antibody solution should be gently mixed before use. |
| Note | For laboratory research only, not for drug, diagnostic or other use. |
Bioinformation
| Database Links | |
|---|---|
| Gene Symbol | Egf |
| Gene Full Name | epidermal growth factor |
| Background | This gene encodes a member of the epidermal growth factor superfamily. The encoded protein is synthesized as a large precursor molecule that is proteolytically cleaved to generate the 53-amino acid epidermal growth factor peptide. This protein acts a potent mitogenic factor that plays an important role in the growth, proliferation and differentiation of numerous cell types. This protein acts by binding the high affinity cell surface receptor, epidermal growth factor receptor. Defects in this gene are the cause of hypomagnesemia type 4. Dysregulation of this gene has been associated with the growth and progression of certain cancers. Alternate splicing results in multiple transcript variants.[provided by RefSeq, May 2010] |
| Function | EGF stimulates the growth of various epidermal and epithelial tissues in vivo and in vitro and of some fibroblasts in cell culture. Magnesiotropic hormone that stimulates magnesium reabsorption in the renal distal convoluted tubule via engagement of EGFR and activation of the magnesium channel TRPM6. Can induce neurite outgrowth in motoneurons of the pond snail Lymnaea stagnalis in vitro. [UniProt] |
| Calculated MW | 134 kDa |
| PTM | O-glycosylated with core 1-like and core 2-like glycans. It is uncertain if Ser-954 or Thr-955 is O-glycosylated. The modification here shows glycan heterogeneity: HexHexNAc (major) and Hex2HexNAc2 (minor). |
Images (3) Click the Picture to Zoom In
-
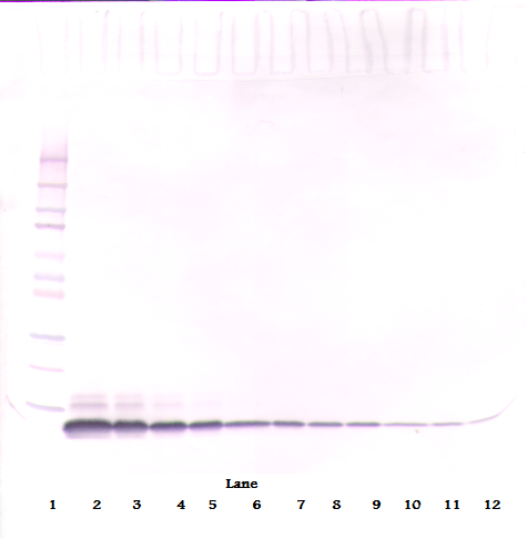
ARG56714 anti-EGF antibody WB image
Western blot: 250 - 0.24 ng of Rat EGF stained with ARG56714 anti-EGF antibody, under reducing conditions.
-
ARG56714 anti-EGF antibody WB image
Western blot: 250 - 0.24 ng of Rat EGF stained with ARG56714 anti-EGF antibody, under non-reducing conditions.
-
ARG56714 anti-EGF antibody standard curve image
Sandwich ELISA: ARG56714 anti-EGF antibody as a capture antibody at 0.5 - 2.0 µg/ml combined with ARG56823 anti-EGF antibody (Biotin) as a detection antibody. Results of a typical standard run with optical density.
