ARG45800
anti-EIF3C antibody
anti-EIF3C antibody for IHC-Formalin-fixed paraffin-embedded sections,Western blot and Human,Mouse,Rat
Overview
| Product Description | Rabbit Polyclonal antibody recognizes EIF3C |
|---|---|
| Tested Reactivity | Hu, Ms, Rat |
| Tested Application | IHC-P, WB |
| Host | Rabbit |
| Clonality | Polyclonal |
| Isotype | IgG |
| Target Name | EIF3C |
| Antigen Species | Human |
| Immunogen | Recombinant protein containing to human EIF3C. |
| Conjugation | Un-conjugated |
| Alternate Names | EIF3C; Eukaryotic Translation Initiation Factor 3 Subunit C; EIF3-P110; EIF3S8; Eukaryotic Translation Initiation Factor 3, Subunit 8, 110kDa; Eukaryotic Translation Initiation Factor 3 Subunit 8; Eukaryotic Translation Initiation Factor 3, Subunit 8 (110kD); Eukaryotic Translation Initiation Factor 3, Subunit C; Cell Migration-Inducing Protein 17; EIF3 P110; EIF3CL; EIF3c |
Application Instructions
| Application Suggestion |
|
||||||
|---|---|---|---|---|---|---|---|
| Application Note | * The dilutions indicate recommended starting dilutions and the optimal dilutions or concentrations should be determined by the scientist. |
Properties
| Form | Liquid |
|---|---|
| Purification | Affinity purified |
| Buffer | 0.2% Na2HPO4, 0.9% NaCl and 4% Trehalose. |
| Stabilizer | 4% Trehalose |
| Concentration | 0.5 mg/ml |
| Storage Instruction | For continuous use, store undiluted antibody at 2-8°C for up to a week. For long-term storage, aliquot and store at -20°C or below. Storage in frost free freezers is not recommended. Avoid repeated freeze/thaw cycles. Suggest spin the vial prior to opening. The antibody solution should be gently mixed before use. |
| Note | For laboratory research only, not for drug, diagnostic or other use. |
Bioinformation
| Database Links | |
|---|---|
| Gene Symbol | EIF3C |
| Gene Full Name | Eukaryotic Translation Initiation Factor 3 Subunit C |
| Background | Enables ribosome binding activity. Contributes to translation initiation factor activity. Involved in positive regulation of translation and translational initiation. Part of eukaryotic translation initiation factor 3 complex. [provided by Alliance of Genome Resources, Feb 2025] |
| Function | Component of the eukaryotic translation initiation factor 3 (eIF-3) complex, which is required for several steps in the initiation of protein synthesis. [UniProt] |
| Cellular Localization | Cytoplasm. [UniProt] |
| Calculated MW | 105 kDa |
| PTM | Acetylation; Phosphoprotein. [UniProt] |
Images (3) Click the Picture to Zoom In
-
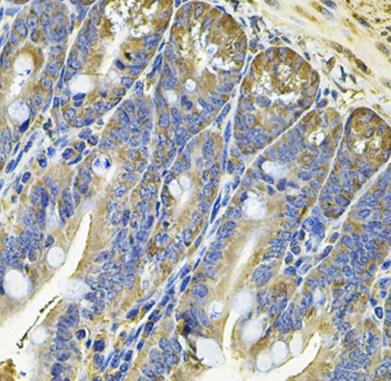
ARG45800 anti-EIF3C antibody IHC-P image
Immunohistochemistry: Mouse intestine stained with ARG45800 anti-EIF3C antibody at 1:1000 dilution.
-
ARG45800 anti-EIF3C antibody WB image
Western blot: HL-60 stained with ARG45800 anti-EIF3C antibody at 1:1000 dilution.
-
ARG45800 anti-EIF3C antibody WB image
Western blot: Mouse testis stained with ARG45800 anti-EIF3C antibody at 1:1000 dilution.
