ARG42690
anti-ELAVL4 / HuD antibody
anti-ELAVL4 / HuD antibody for IHC-Formalin-fixed paraffin-embedded sections,Western blot and Human,Mouse,Rat
Overview
| Product Description | Rabbit Polyclonal antibody recognizes ELAVL4 / HuD |
|---|---|
| Tested Reactivity | Hu, Ms, Rat |
| Predict Reactivity | Bov, Mk, Rb |
| Tested Application | IHC-P, WB |
| Host | Rabbit |
| Clonality | Polyclonal |
| Isotype | IgG |
| Target Name | ELAVL4 / HuD |
| Antigen Species | Human |
| Immunogen | Synthetic peptide corresponding to aa. 8-45 of Human ELAVL4 / HuD. (MEPQVSNGPTSNTSNGPSSNNRNCPSPMQTGATTDDSK) |
| Conjugation | Un-conjugated |
| Alternate Names | HUD; HuD; Hu-antigen D; Paraneoplastic encephalomyelitis antigen HuD; PNEM; ELAV-like protein 4 |
Application Instructions
| Application Suggestion |
|
||||||
|---|---|---|---|---|---|---|---|
| Application Note | * The dilutions indicate recommended starting dilutions and the optimal dilutions or concentrations should be determined by the scientist. | ||||||
| Observed Size | ~ 45 kDa |
Properties
| Form | Liquid |
|---|---|
| Purification | Affinity purification with immunogen. |
| Buffer | 0.2% Na2HPO4, 0.9% NaCl, 0.05% Sodium azide and 5% BSA. |
| Preservative | 0.05% Sodium azide |
| Stabilizer | 5% BSA |
| Concentration | 0.5 mg/ml |
| Storage Instruction | For continuous use, store undiluted antibody at 2-8°C for up to a week. For long-term storage, aliquot and store at -20°C or below. Storage in frost free freezers is not recommended. Avoid repeated freeze/thaw cycles. Suggest spin the vial prior to opening. The antibody solution should be gently mixed before use. |
| Note | For laboratory research only, not for drug, diagnostic or other use. |
Bioinformation
| Database Links | |
|---|---|
| Gene Symbol | ELAVL4 |
| Gene Full Name | ELAV like neuron-specific RNA binding protein 4 |
| Function | RNA-binding protein that is involved in the post-transcriptional regulation of mRNAs (PubMed:7898713, PubMed:10710437, PubMed:12034726, PubMed:12468554, PubMed:17035636, PubMed:17234598). Plays a role in the regulation of mRNA stability, alternative splicing and translation (PubMed:7898713, PubMed:10710437, PubMed:12034726, PubMed:12468554, PubMed:17035636, PubMed:17234598). Binds to AU-rich element (ARE) sequences in the 3' untranslated region (UTR) of target mRNAs, including GAP43, VEGF, FOS, CDKN1A and ACHE mRNA (PubMed:7898713, PubMed:10710437, PubMed:12034726, PubMed:12468554). Many of the target mRNAs are coding for RNA-binding proteins, transcription factors and proteins involved in RNA processing and/or neuronal development and function (By similarity). By binding to the mRNA 3'UTR, decreases mRNA deadenylation and thereby contributes to the stabilization of mRNA molecules and their protection from decay (PubMed:12034726). Also binds to the polyadenylated (poly(A)) tail in the 3'UTR of mRNA, thereby increasing its affinity for mRNA binding (PubMed:12034726). Mainly plays a role in neuron-specific RNA processing by stabilization of mRNAs such as GAP43, ACHE and mRNAs of other neuronal proteins, thereby contributing to the differentiation of neural progenitor cells, nervous system development, learning and memory mechanisms (PubMed:12034726, PubMed:12468554, PubMed:17234598, PubMed:18218628). Involved in the negative regulation of the proliferative activity of neuronal stem cells and in the positive regulation of neuronal differentiation of neural progenitor cells (By similarity). Promotes neuronal differentiation of neural stem/progenitor cells in the adult subventricular zone of the hippocampus by binding to and stabilizing SATB1 mRNA (By similarity). Binds and stabilizes MSI1 mRNA in neural stem cells (By similarity). Exhibits increased binding to ACHE mRNA during neuronal differentiation, thereby stabilizing ACHE mRNA and enhancing its expression (PubMed:12468554, PubMed:17234598). Protects CDKN1A mRNA from decay by binding to its 3'-UTR (By similarity). May bind to APP and BACE1 mRNAS and the BACE1AS lncRNA and enhance their stabilization (PubMed:24857657). Plays a role in neurite outgrowth and in the establishment and maturation of dendritic arbors, thereby contributing to neocortical and hippocampal circuitry function (By similarity). Stabilizes GAP43 mRNA and protects it from decay during postembryonic development in the brain (PubMed:12034726). By promoting the stabilization of GAP43 mRNA, plays a role in NGF-mediated neurite outgrowth (By similarity). Binds to BDNF long 3'UTR mRNA, thereby leading to its stabilization and increased dendritic translation after activation of PKC (By similarity). By increasing translation of BDNF after nerve injury, may contribute to nerve regeneration (By similarity). Acts as a stabilizing factor by binding to the 3'UTR of NOVA1 mRNA, thereby increasing its translation and enhancing its functional activity in neuron-specific splicing (PubMed:18218628). Stimulates translation of mRNA in a poly(A)- and cap-dependent manner, possibly by associating with the EIF4F cap-binding complex (By similarity). May also negatively regulate translation by binding to the 5'UTR of Ins2 mRNA, thereby repressing its translation (By similarity). Upon glucose stimulation, Ins2 mRNA is released from ELAVL4 and translational inhibition is abolished (By similarity). Also plays a role in the regulation of alternative splicing (PubMed:17035636). May regulate alternative splicing of CALCA pre-mRNA into Calcitonin and Calcitonin gene-related peptide 1 (CGRP) by competing with splicing regulator TIAR for binding to U-rich intronic sequences of CALCA pre-mRNA (PubMed:17035636). [UniProt] |
| Calculated MW | 42 kDa |
| PTM | Methylation at Arg-243 by CARM1 weakens protective binding to the 3'-UTR of CDKN1A mRNA and down-regulates CDKN1A protein expression, thereby maintaining cells in a proliferative state. Methylation is inhibited by NGF, which facilitates neurite outgrowth (By similarity). [UniProt] |
Images (5) Click the Picture to Zoom In
-
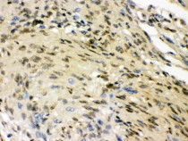
ARG42690 anti-ELAVL4 / HuD antibody IHC-P image
Immunohistochemistry: Paraffin-embedded Human meningeoma tissue. Antigen Retrieval: Heat mediation was performed in Citrate buffer (pH 6.0) for 20 min. The tissue section was blocked with 10% goat serum. The tissue section was then stained with ARG42690 anti-ELAVL4 / HuD antibody at 1 µg/ml dilution, overnight at 4°C.
-
ARG42690 anti-ELAVL4 / HuD antibody WB image
Western blot: 50 µg of samples under reducing condition. Rat brain, Mouse brain and U87-MG whole cell lysates stained with ARG42690 anti-ELAVL4 / HuD antibody at 0.5 µg/ml dilution, overnight at 4°C.
-
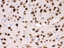
ARG42690 anti-ELAVL4 / HuD antibody IHC-P image
Immunohistochemistry: Paraffin-embedded Mouse brain tissue. Antigen Retrieval: Heat mediation was performed in Citrate buffer (pH 6.0) for 20 min. The tissue section was blocked with 10% goat serum. The tissue section was then stained with ARG42690 anti-ELAVL4 / HuD antibody at 1 µg/ml dilution, overnight at 4°C.
-
ARG42690 anti-ELAVL4 / HuD antibody IHC-P image
Immunohistochemistry: Paraffin-embedded Rat brain tissue. Antigen Retrieval: Heat mediation was performed in Citrate buffer (pH 6.0) for 20 min. The tissue section was blocked with 10% goat serum. The tissue section was then stained with ARG42690 anti-ELAVL4 / HuD antibody at 1 µg/ml dilution, overnight at 4°C.
-
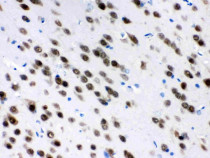
ARG42690 anti-ELAVL4 / HuD antibody IHC-P image
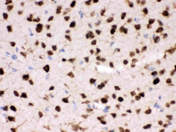
Immunohistochemistry: Paraffin-embedded Human glioma tissue. Antigen Retrieval: Heat mediation was performed in Citrate buffer (pH 6.0) for 20 min. The tissue section was blocked with 10% goat serum. The tissue section was then stained with ARG42690 anti-ELAVL4 / HuD antibody at 1 µg/ml dilution, overnight at 4°C.
