ARG66280
anti-ELK1 antibody
anti-ELK1 antibody for ICC/IF,IHC-Formalin-fixed paraffin-embedded sections,Western blot and Human
Overview
| Product Description | Rabbit Polyclonal antibody recognizes ELK1 |
|---|---|
| Tested Reactivity | Hu |
| Predict Reactivity | Ms, Rat |
| Tested Application | ICC/IF, IHC-P, WB |
| Specificity | The antibody detects endogenous level of total Elk1 protein. |
| Host | Rabbit |
| Clonality | Polyclonal |
| Isotype | IgG |
| Target Name | ELK1 |
| Antigen Species | Human |
| Immunogen | KLH-conjugated synthetic peptide around aa. 387-391 (PRSPA) of Human Elk1. |
| Conjugation | Un-conjugated |
| Alternate Names | ETS domain-containing protein Elk-1 |
Application Instructions
| Application Suggestion |
|
||||||||
|---|---|---|---|---|---|---|---|---|---|
| Application Note | * The dilutions indicate recommended starting dilutions and the optimal dilutions or concentrations should be determined by the scientist. |
Properties
| Form | Liquid |
|---|---|
| Purification | Affinity purification with immunogen. |
| Buffer | PBS (pH 7.4), 150mM NaCl, 0.02% Sodium azide and 50% Glycerol. |
| Preservative | 0.02% Sodium azide |
| Stabilizer | 50% Glycerol |
| Concentration | 1 mg/ml |
| Storage Instruction | For continuous use, store undiluted antibody at 2-8°C for up to a week. For long-term storage, aliquot and store at -20°C. Storage in frost free freezers is not recommended. Avoid repeated freeze/thaw cycles. Suggest spin the vial prior to opening. The antibody solution should be gently mixed before use. |
| Note | For laboratory research only, not for drug, diagnostic or other use. |
Bioinformation
| Database Links |
Swiss-port # P19419 Human ETS domain-containing protein Elk-1 |
|---|---|
| Gene Symbol | ELK1 |
| Gene Full Name | ELK1, member of ETS oncogene family |
| Background | This gene is a member of the Ets family of transcription factors and of the ternary complex factor (TCF) subfamily. Proteins of the TCF subfamily form a ternary complex by binding to the the serum response factor and the serum response element in the promoter of the c-fos proto-oncogene. The protein encoded by this gene is a nuclear target for the ras-raf-MAPK signaling cascade. This gene produces multiple isoforms by using alternative translational start codons and by alternative splicing. Related pseudogenes have been identified on chromosomes 7 and 14. [provided by RefSeq, Mar 2012] |
| Function | Stimulates transcription. Binds to purine-rich DNA sequences. Can form a ternary complex with the serum response factor and the ETS and SRF motifs of the fos serum response element. [UniProt] |
| Calculated MW | 45 kDa |
| PTM | Sumoylation represses transcriptional activator activity as it results in recruitment of HDAC2 to target gene promoters which leads to decreased histone acetylation and reduced transactivator activity. It also regulates nuclear retention. On mitogenic stimulation, phosphorylated on C-terminal serine and threonine residues by MAPK1. Ser-383 and Ser-389 are the preferred sites for MAPK1. In vitro, phosphorylation by MAPK1 potentiates ternary complex formation with the serum responses factors, SRE and SRF. Also phosphorylated on Ser-383 by MAPK8 and/or MAKP9. Phosphorylation leads to loss of sumoylation and restores transcriptional activator activity. Phosphorylated and activated by CAMK4, MAPK11, MAPK12 and MAPK14. Upon bFGF stimulus, phosphorylated by PAK1 (By similarity). [UniProt] |
Images (3) Click the Picture to Zoom In
-
ARG66280 anti-ELK1 antibody ICC/IF image
Immunofluorescence: Methanol-fixed HeLa cells stained with ARG66280 anti-ELK1 antibody.
-
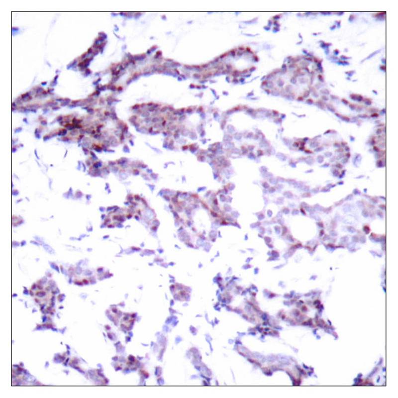
ARG66280 anti-ELK1 antibody IHC-P image
Immunohistochemistry: Paraffin-embedded Human breast carcinoma tissue stained with ARG66280 anti-ELK1 antibody.
-
ARG66280 anti-ELK1 antibody WB image
Western blot: 293 and HT29 cell lysates stained with ARG66280 anti-ELK1 antibody.
