ARG43779
anti-ELOVL7 antibody
anti-ELOVL7 antibody for IHC-Formalin-fixed paraffin-embedded sections,Western blot and Human,Mouse
Overview
| Product Description | Rabbit Polyclonal antibody recognizes ELOVL7 |
|---|---|
| Tested Reactivity | Hu, Ms |
| Predict Reactivity | Bov, Rat |
| Tested Application | IHC-P, WB |
| Host | Rabbit |
| Clonality | Polyclonal |
| Isotype | IgG |
| Target Name | ELOVL7 |
| Antigen Species | Human |
| Immunogen | Synthetic peptide (15 aa) within aa. 40-90 of Human ELOVL7. |
| Conjugation | Un-conjugated |
| Protein Full Name | Elongation of very long chain fatty acids protein 7 |
| Alternate Names | ELOVL7; ELOVL Fatty Acid Elongase 7; Elongation Of Very Long Chain Fatty Acids Protein 7; Very Long Chain 3-Ketoacyl-CoA Synthase 7; Very Long Chain 3-Oxoacyl-CoA Synthase 7; 3-Keto Acyl-CoA Synthase ELOVL7; ELOVL FA Elongase 7; ELOVL Family Member 7, Elongation Of Long Chain Fatty Acids (Yeast); ELOVL Family Member 7, Elongation Of Long Chain Fatty Acids |
Application Instructions
| Predict Reactivity Note | Rat (100%), Bovine (100%) | ||||||
|---|---|---|---|---|---|---|---|
| Application Suggestion |
|
||||||
| Application Note | * The dilutions indicate recommended starting dilutions and the optimal dilutions or concentrations should be determined by the scientist. | ||||||
| Positive Control | Human Liver tissue | ||||||
| Observed Size | 33-38 kDa |
Properties
| Form | Liquid |
|---|---|
| Purification | Affinity purification with immunogen. |
| Buffer | PBS and 0.02% Sodium azide. |
| Preservative | 0.02% Sodium azide |
| Concentration | 1 mg/ml |
| Storage Instruction | For continuous use, store undiluted antibody at 2-8°C for up to a week. For long-term storage, aliquot and store at -20°C or below. Storage in frost free freezers is not recommended. Avoid repeated freeze/thaw cycles. Suggest spin the vial prior to opening. The antibody solution should be gently mixed before use. |
| Note | For laboratory research only, not for drug, diagnostic or other use. |
Bioinformation
| Database Links |
Swiss-port # A1L3X0 Human Elongation of very long chain fatty acids protein 7 Swiss-port # Q9D2Y9 Mouse Elongation of very long chain fatty acids protein 7 |
|---|---|
| Gene Symbol | ELOVL7 |
| Gene Full Name | ELOVL fatty acid elongase 7 |
| Background | ELOVL7 enables fatty acid elongase activity. Involved in fatty acid elongation, polyunsaturated fatty acid; fatty acid elongation, saturated fatty acid; and very long-chain fatty acid biosynthetic process. Located in endoplasmic reticulum. [provided by Alliance of Genome Resources, Apr 2022] |
| Function | Catalyzes the first and rate-limiting reaction of the four reactions that constitute the long-chain fatty acids elongation cycle. This endoplasmic reticulum-bound enzymatic process allows the addition of 2 carbons to the chain of long- and very long-chain fatty acids (VLCFAs) per cycle. Condensing enzyme with higher activity toward C18 acyl-CoAs, especially C18:3(n-3) acyl-CoAs and C18:3(n-6)-CoAs. Also active toward C20:4-, C18:0-, C18:1-, C18:2- and C16:0-CoAs, and weakly toward C20:0-CoA. Little or no activity toward C22:0-, C24:0-, or C26:0-CoAs. May participate in the production of saturated and polyunsaturated VLCFAs of different chain lengths that are involved in multiple biological processes as precursors of membrane lipids and lipid mediators. [UniProt] |
| Calculated MW | 33.3 kDa |
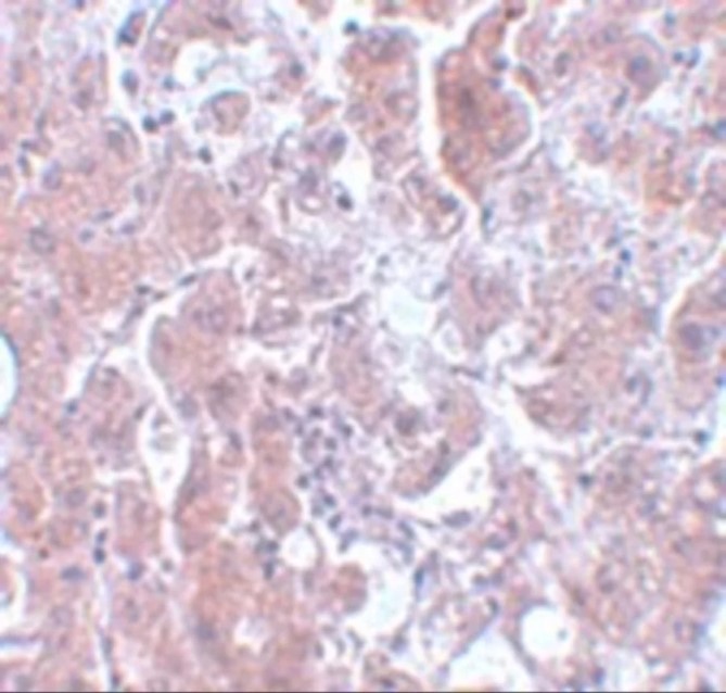
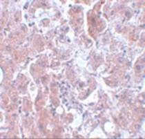
Images (3) Click the Picture to Zoom In
-
ARG43779 anti-ELOVL7 antibody IHC-P image
Immunohistochemistry: Paraffin-embedded Human liver tissue stained with ARG43779 anti-ELOVL7 antibody at 5 µg/ml dilution.
-
ARG43779 anti-ELOVL7 antibody WB image
Western blot: Human liver lysate stained with ARG43779 anti-ELOVL7 antibody at 1 µg/ml dilution.
-
ARG43779 anti-ELOVL7 antibody IHC-P image
Immunohistochemistry: Paraffin-embedded Human liver tissue stained with ARG43779 anti-ELOVL7 antibody at 20 µg/ml dilution and then incubated with fluorescence-conjugated anti-rabbit IgG antibody.
