ARG55574
anti-ENO3 antibody
anti-ENO3 antibody for Flow cytometry,IHC-Formalin-fixed paraffin-embedded sections,Western blot and Human
Cancer antibody; Metabolism antibody; Signaling Transduction antibody
Overview
| Product Description | Rabbit Polyclonal antibody recognizes ENO3 |
|---|---|
| Tested Reactivity | Hu |
| Predict Reactivity | Ms, Rat, Bov, Pig |
| Tested Application | FACS, IHC-P, WB |
| Host | Rabbit |
| Clonality | Polyclonal |
| Isotype | IgG |
| Target Name | ENO3 |
| Antigen Species | Human |
| Immunogen | KLH-conjugated synthetic peptide corresponding to aa. 237-264 (Center) of Human ENO3. |
| Conjugation | Un-conjugated |
| Alternate Names | Skeletal muscle enolase; Muscle-specific enolase; 2-phospho-D-glycerate hydro-lyase; Enolase 3; Beta-enolase; MSE; GSD13; EC 4.2.1.11 |
Application Instructions
| Application Suggestion |
|
||||||||
|---|---|---|---|---|---|---|---|---|---|
| Application Note | * The dilutions indicate recommended starting dilutions and the optimal dilutions or concentrations should be determined by the scientist. | ||||||||
| Positive Control | Mouse skeletal muscle |
Properties
| Form | Liquid |
|---|---|
| Purification | This antibody is prepared by Saturated Ammonium Sulfate (SAS) precipitation followed by dialysis against PBS. |
| Buffer | PBS and 0.09% (W/V) Sodium azide |
| Preservative | 0.09% (W/V) Sodium azide |
| Storage Instruction | For continuous use, store undiluted antibody at 2-8°C for up to a week. For long-term storage, aliquot and store at -20°C or below. Storage in frost free freezers is not recommended. Avoid repeated freeze/thaw cycles. Suggest spin the vial prior to opening. The antibody solution should be gently mixed before use. |
| Note | For laboratory research only, not for drug, diagnostic or other use. |
Bioinformation
| Database Links | |
|---|---|
| Gene Symbol | ENO3 |
| Gene Full Name | enolase 3 (beta, muscle) |
| Background | This gene encodes one of the three enolase isoenzymes found in mammals. This isoenzyme is found in skeletal muscle cells in the adult where it may play a role in muscle development and regeneration. A switch from alpha enolase to beta enolase occurs in muscle tissue during development in rodents. Mutations in this gene have be associated glycogen storage disease. Alternatively spliced transcript variants encoding different isoforms have been described.[provided by RefSeq, Jul 2010] |
| Function | Appears to have a function in striated muscle development and regeneration. [UniProt] |
| Cellular Localization | Cytoplasm. Note=Localized to the Z line. Some colocalization with CKM at M-band (By similarity) |
| Research Area | Cancer antibody; Metabolism antibody; Signaling Transduction antibody |
| Calculated MW | 47 kDa |
Images (3) Click the Picture to Zoom In
-
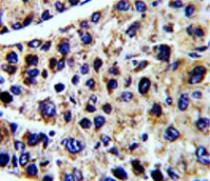
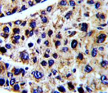
ARG55574 anti-ENO3 antibody IHC-P image
Immunohistochemistry: Formalin-fixed and paraffin-embedded Human hepatocarcinoma stained with ARG55574 anti-ENO3 antibody.
-
ARG55574 anti-ENO3 antibody WB image
Western blot: 35 µg of Mouse skeletal muscle lysate stained with ARG55574 anti-ENO3 antibody.
-
ARG55574 anti-ENO3 antibody FACS image
Flow Cytometry: HepG2 cells stained with ARG55574 anti-ENO3 antibody (bottom histogram) or without primary antibody as control (top histogram), followed by incubation with FITC labelled secondary antibody.
