ARG42838
anti-EPS15 antibody
anti-EPS15 antibody for Flow cytometry,Western blot and Human,Mouse,Rat
Overview
| Product Description | Rabbit Polyclonal antibody recognizes EPS15 |
|---|---|
| Tested Reactivity | Hu, Ms, Rat |
| Tested Application | FACS, WB |
| Host | Rabbit |
| Clonality | Polyclonal |
| Isotype | IgG |
| Target Name | EPS15 |
| Antigen Species | Human |
| Immunogen | Recombinant protein corresponding to M1-K295 of Human EPS15. |
| Conjugation | Un-conjugated |
| Alternate Names | Protein Eps15; Protein AF-1p; MLLT5; AF1P; Epidermal growth factor receptor substrate 15; AF-1P |
Application Instructions
| Application Suggestion |
|
||||||
|---|---|---|---|---|---|---|---|
| Application Note | * The dilutions indicate recommended starting dilutions and the optimal dilutions or concentrations should be determined by the scientist. | ||||||
| Observed Size | ~ 150 kDa |
Properties
| Form | Liquid |
|---|---|
| Purification | Affinity purification with immunogen. |
| Buffer | 0.2% Na2HPO4, 0.9% NaCl, 0.05% Sodium azide and 4% Trehalose. |
| Preservative | 0.05% Sodium azide |
| Stabilizer | 4% Trehalose |
| Concentration | 0.5 mg/ml |
| Storage Instruction | For continuous use, store undiluted antibody at 2-8°C for up to a week. For long-term storage, aliquot and store at -20°C or below. Storage in frost free freezers is not recommended. Avoid repeated freeze/thaw cycles. Suggest spin the vial prior to opening. The antibody solution should be gently mixed before use. |
| Note | For laboratory research only, not for drug, diagnostic or other use. |
Bioinformation
| Database Links |
Swiss-port # P42566 Human Epidermal growth factor receptor substrate 15 Swiss-port # P42567 Mouse Epidermal growth factor receptor substrate 15 |
|---|---|
| Gene Symbol | EPS15 |
| Gene Full Name | epidermal growth factor receptor pathway substrate 15 |
| Background | This gene encodes a protein that is part of the EGFR pathway. The protein is present at clatherin-coated pits and is involved in receptor-mediated endocytosis of EGF. Notably, this gene is rearranged with the HRX/ALL/MLL gene in acute myelogeneous leukemias. Alternative splicing results in multiple transcript variants encoding distinct isoforms. [provided by RefSeq, May 2009] |
| Function | Involved in cell growth regulation. May be involved in the regulation of mitogenic signals and control of cell proliferation. Involved in the internalization of ligand-inducible receptors of the receptor tyrosine kinase (RTK) type, in particular EGFR. Plays a role in the assembly of clathrin-coated pits (CCPs). Acts as a clathrin adapter required for post-Golgi trafficking. Seems to be involved in CCPs maturation including invagination or budding. Involved in endocytosis of integrin beta-1 (ITGB1) and transferrin receptor (TFR); internalization of ITGB1 as DAB2-dependent cargo but not TFR seems to require association with DAB2. [UniProt] |
| Cellular Localization | Cytoplasm. Cell membrane; Peripheral membrane protein; Membrane, clathrin-coated pit. Note=Recruited to the plasma membrane upon EGFR activation and localizes to coated pits. Colocalizes with UBQLN1 in ubiquitin-rich cytoplasmic aggregates that are not endocytic compartments and in cytoplasmic juxtanuclear structures called aggresomes. Isoform 2: Early endosome membrane; Peripheral membrane protein. Note=Colocalizes with HGS on bilayered clathrin coats on endosomes. [UniProt] |
| Calculated MW | 99 kDa |
| PTM | Phosphorylation on Tyr-849 is involved in the internalization of EGFR. Not required for membrane translocation after EGF treatment or for targeting to coated pits, but essential for a subsequent step in EGFR endocytosis (By similarity). Phosphorylated on serine upon DNA damage, probably by ATM or ATR. Ubiquitinated. [UniProt] |
Images (2) Click the Picture to Zoom In
-
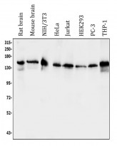
ARG42838 anti-EPS15 antibody WB image
Western blot: 50 µg of sample under reducing conditions. Rat brain, Mouse brain, NIH/3T3, HeLa, Jurkat, HEK293, PC-3 and THP-1 whole cell lysates stained with ARG42838 anti-EPS15 antibody at 0.5 µg/ml dilution, overnight at 4°C.
-
ARG42838 anti-EPS15 antibody FACS image
Flow Cytometry: A431 cells were blocked with 10% normal goat serum and then stained with ARG42838 anti-EPS15 antibody (blue) at 1 µg/10^6 cells for 30 min at 20°C, followed by incubation with DyLight®488 labelled secondary antibody. Isotype control antibody (green) was Rabbit IgG (1 µg/10^6 cells) used under the same conditions. Unlabelled sample (red) was also used as a control.
