ARG65286
anti-ETFB antibody
anti-ETFB antibody for IHC-Formalin-fixed paraffin-embedded sections,Western blot and Human,Mouse,Rat
Cancer antibody; Metabolism antibody; Signaling Transduction antibody
Overview
| Product Description | Goat Polyclonal antibody recognizes ETFB |
|---|---|
| Tested Reactivity | Hu, Ms, Rat |
| Predict Reactivity | Cow, Dog |
| Tested Application | IHC-P, WB |
| Specificity | This antibody is expected to recognize both reported isoforms (NP_001976.1; NP_001014763.1). Amino acid numbering in the name above refers to NP_001976.1). |
| Host | Goat |
| Clonality | Polyclonal |
| Isotype | IgG |
| Target Name | ETFB |
| Antigen Species | Human |
| Immunogen | C-QVTLEGDKLKVERE |
| Conjugation | Un-conjugated |
| Alternate Names | MADD; FP585; Beta-ETF; Electron transfer flavoprotein subunit beta |
Application Instructions
| Application Suggestion |
|
||||||
|---|---|---|---|---|---|---|---|
| Application Note | IHC-P: Antigen Retrieval: Steam tissue section in Citrate buffer (pH 6.0). WB: Recommend incubate at RT for 1h. * The dilutions indicate recommended starting dilutions and the optimal dilutions or concentrations should be determined by the scientist. |
Properties
| Form | Liquid |
|---|---|
| Purification | Purified from goat serum by antigen affinity chromatography. |
| Buffer | Tris saline (pH 7.3), 0.02% Sodium azide and 0.5% BSA. |
| Preservative | 0.02% Sodium azide |
| Stabilizer | 0.5% BSA |
| Concentration | 0.5 mg/ml |
| Storage Instruction | For continuous use, store undiluted antibody at 2-8°C for up to a week. For long-term storage, aliquot and store at -20°C or below. Storage in frost free freezers is not recommended. Avoid repeated freeze/thaw cycles. Suggest spin the vial prior to opening. The antibody solution should be gently mixed before use. |
| Note | For laboratory research only, not for drug, diagnostic or other use. |
Bioinformation
| Database Links | |
|---|---|
| Background | This gene encodes electron-transfer-flavoprotein, beta polypeptide, which shuttles electrons between primary flavoprotein dehydrogenases involved in mitochondrial fatty acid and amino acid catabolism and the membrane-bound electron transfer flavoprotein ubiquinone oxidoreductase. The gene deficiencies have been implicated in type II glutaricaciduria. Alternatively spliced transcript variants have been found for this gene. [provided by RefSeq, Jul 2008] |
| Research Area | Cancer antibody; Metabolism antibody; Signaling Transduction antibody |
| Calculated MW | 28 kDa |
| PTM | Methylated. Trimethylation at Lys-200 and Lys-203 may negatively regulate the activity in electron transfer from Acyl-CoA dehydrogenases. |
Images (2) Click the Picture to Zoom In
-
ARG65286 anti-ETFB antibody WB image
Western blot: Human Liver lysate (35 µg protein in RIPA buffer) stained with ARG65286 anti-ETFB antibody at 0.1 µg/ml dilution.
-
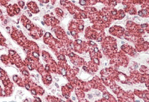
ARG65286 anti-ETFB antibody IHC-P image
Immunohistochemistry: Paraffin embedded Human Liver. (Steamed antigen retrieval with citrate buffer pH 6) stained with ARG65286 anti-ETFB antibody at 3.8 µg/ml dilution followed by AP-staining.
