ARG58570
anti-ETV6 / Tel antibody
anti-ETV6 / Tel antibody for IHC-Formalin-fixed paraffin-embedded sections,Western blot and Human,Mouse,Rat
Overview
| Product Description | Rabbit Polyclonal antibody recognizes ETV6 / Tel |
|---|---|
| Tested Reactivity | Hu, Ms, Rat |
| Tested Application | IHC-P, WB |
| Host | Rabbit |
| Clonality | Polyclonal |
| Isotype | IgG |
| Target Name | ETV6 / Tel |
| Antigen Species | Human |
| Immunogen | Recombinant protein corresponding to E327-Q448 of Human ETV6 / Tel. |
| Conjugation | Un-conjugated |
| Alternate Names | TEL; TEL/ABL; Transcription factor ETV6; THC5; ETS-related protein Tel1; Tel; ETS translocation variant 6 |
Application Instructions
| Application Suggestion |
|
||||||
|---|---|---|---|---|---|---|---|
| Application Note | IHC-P: Antigen Retrieval: Heat mediated was performed in Citrate buffer (pH 6.0) for 20 min. * The dilutions indicate recommended starting dilutions and the optimal dilutions or concentrations should be determined by the scientist. |
Properties
| Form | Liquid |
|---|---|
| Purification | Purified. |
| Buffer | 0.9% NaCl, 0.2% Na2HPO4, 0.05% Sodium azide and 4% Trehalose. |
| Preservative | 0.05% Sodium azide |
| Stabilizer | 4% Trehalose |
| Concentration | 0.5 mg/ml |
| Storage Instruction | For continuous use, store undiluted antibody at 2-8°C for up to a week. For long-term storage, aliquot and store at -20°C or below. Storage in frost free freezers is not recommended. Avoid repeated freeze/thaw cycles. Suggest spin the vial prior to opening. The antibody solution should be gently mixed before use. |
| Note | For laboratory research only, not for drug, diagnostic or other use. |
Bioinformation
| Database Links | |
|---|---|
| Gene Symbol | ETV6 |
| Gene Full Name | ets variant 6 |
| Background | This gene encodes an ETS family transcription factor. The product of this gene contains two functional domains: a N-terminal pointed (PNT) domain that is involved in protein-protein interactions with itself and other proteins, and a C-terminal DNA-binding domain. Gene knockout studies in mice suggest that it is required for hematopoiesis and maintenance of the developing vascular network. This gene is known to be involved in a large number of chromosomal rearrangements associated with leukemia and congenital fibrosarcoma. [provided by RefSeq, Sep 2008] |
| Function | Transcriptional repressor; binds to the DNA sequence 5'-CCGGAAGT-3'. Plays a role in hematopoiesis and malignant transformation. [UniProt] |
| Cellular Localization | Nucleus. [UniProt] |
| Calculated MW | 53 kDa |
| PTM | Phosphorylation of Ser-257 by MAPK14 (p38) inhibits ETV6 transcriptional repression. [UniProt] |
Images (5) Click the Picture to Zoom In
-
ARG58570 anti-ETV6 / Tel antibody IHC-P image
Immunohistochemistry: Paraffin-embedded Human mammary cancer tissue. Antigen Retrieval: Heat mediated was performed in Citrate buffer (pH 6.0) for 20 min. The tissue section was blocked with 10% goat serum. The tissue section was then incubated with 1 µg/ml ARG58570 anti-ETV6 / Tel antibody overnight at 4°C.
-
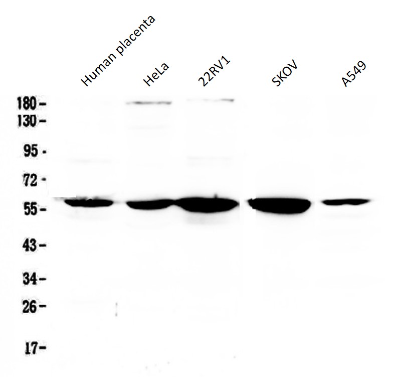
ARG58570 anti-ETV6 / Tel antibody WB image
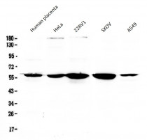
Western blot: 50 µg of Human placenta, HeLa, 22RV1, SKOV and A549 lysates stained with ARG58570 anti-ETV6 / Tel antibody at 0.5 µg/ml, overnight at 4°C, under reducing conditions.
-
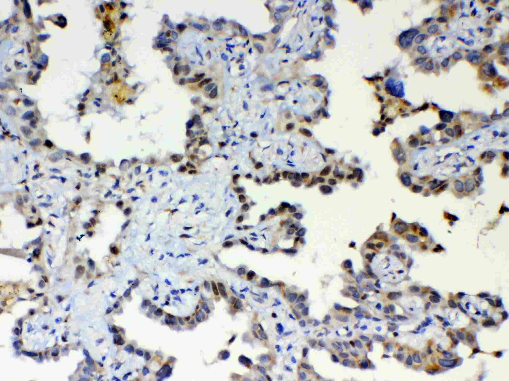
ARG58570 anti-ETV6 / Tel antibody IHC-P image
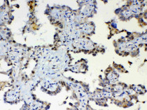
Immunohistochemistry: Paraffin-embedded Human lung cancer tissue. Antigen Retrieval: Heat mediated was performed in Citrate buffer (pH 6.0) for 20 min. The tissue section was blocked with 10% goat serum. The tissue section was then stained with 1 µg/ml ARG58570 anti-ETV6 / Tel antibody overnight at 4°C.
-
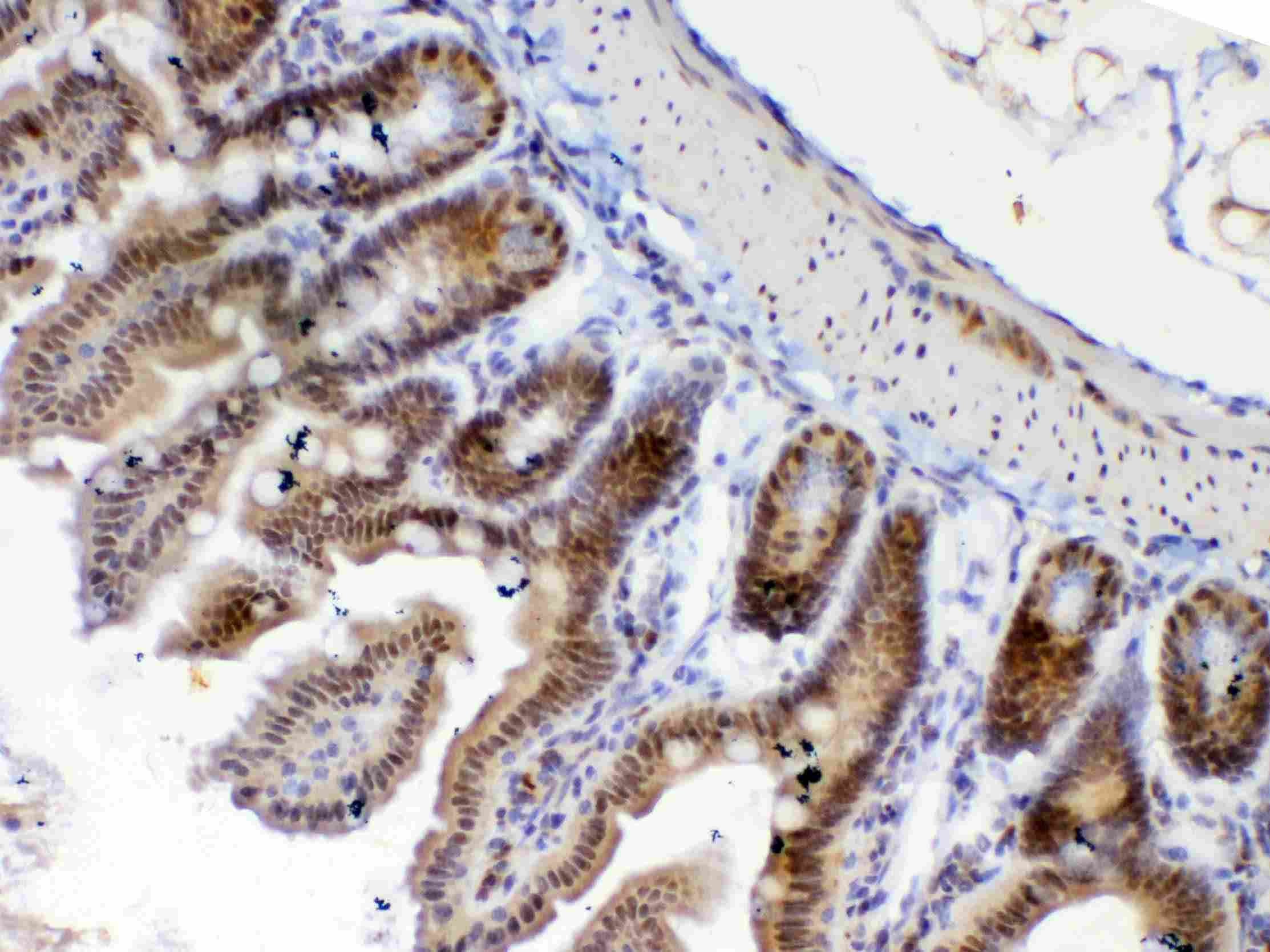
ARG58570 anti-ETV6 / Tel antibody IHC-P image
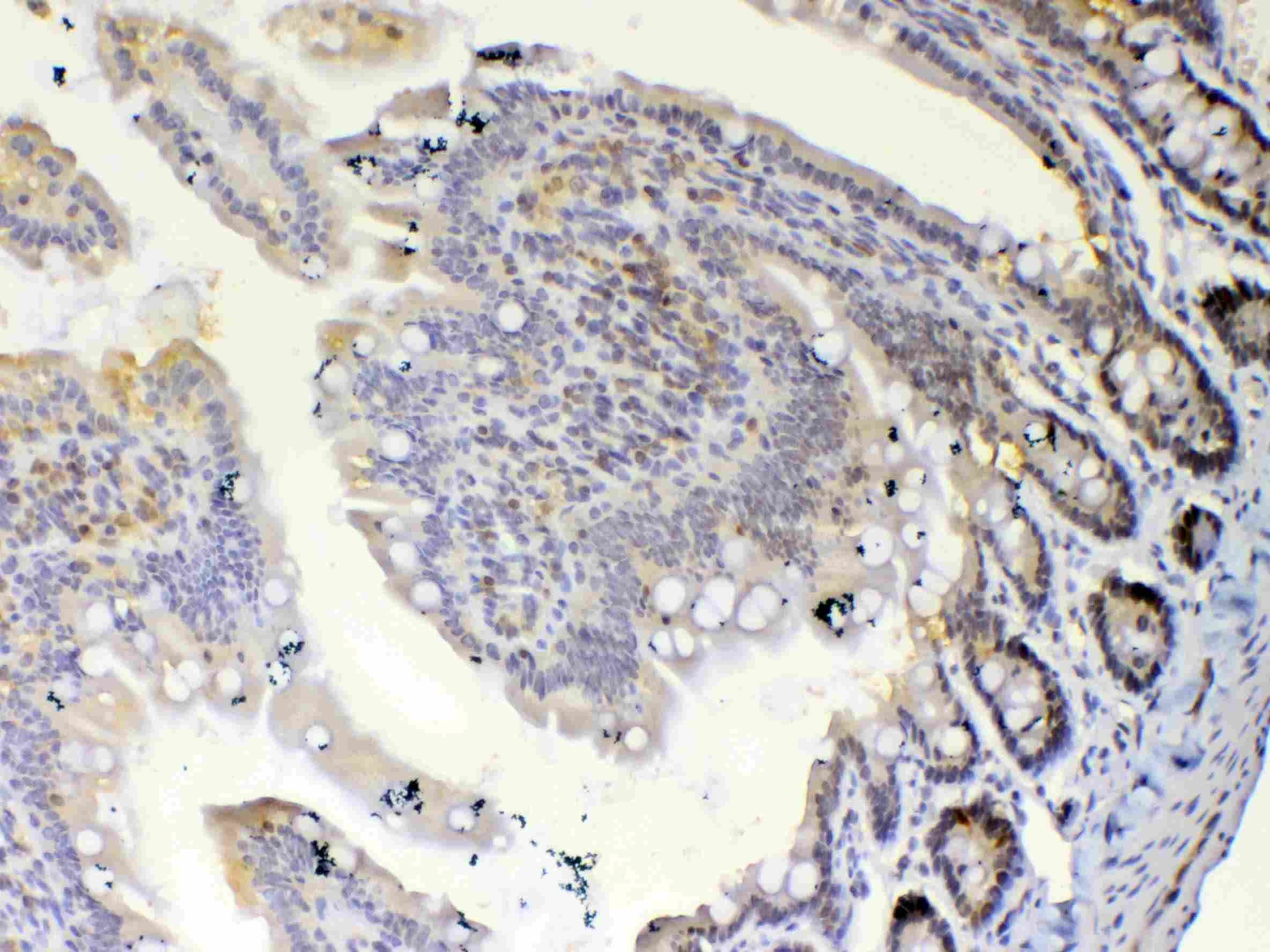
Immunohistochemistry: Paraffin-embedded Mouse small intestine tissue. Antigen Retrieval: Heat mediated was performed in Citrate buffer (pH 6.0) for 20 min. The tissue section was blocked with 10% goat serum. The tissue section was then stained with 1 µg/ml ARG58570 anti-ETV6 / Tel antibody overnight at 4°C.
-
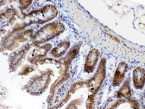
ARG58570 anti-ETV6 / Tel antibody IHC-P image
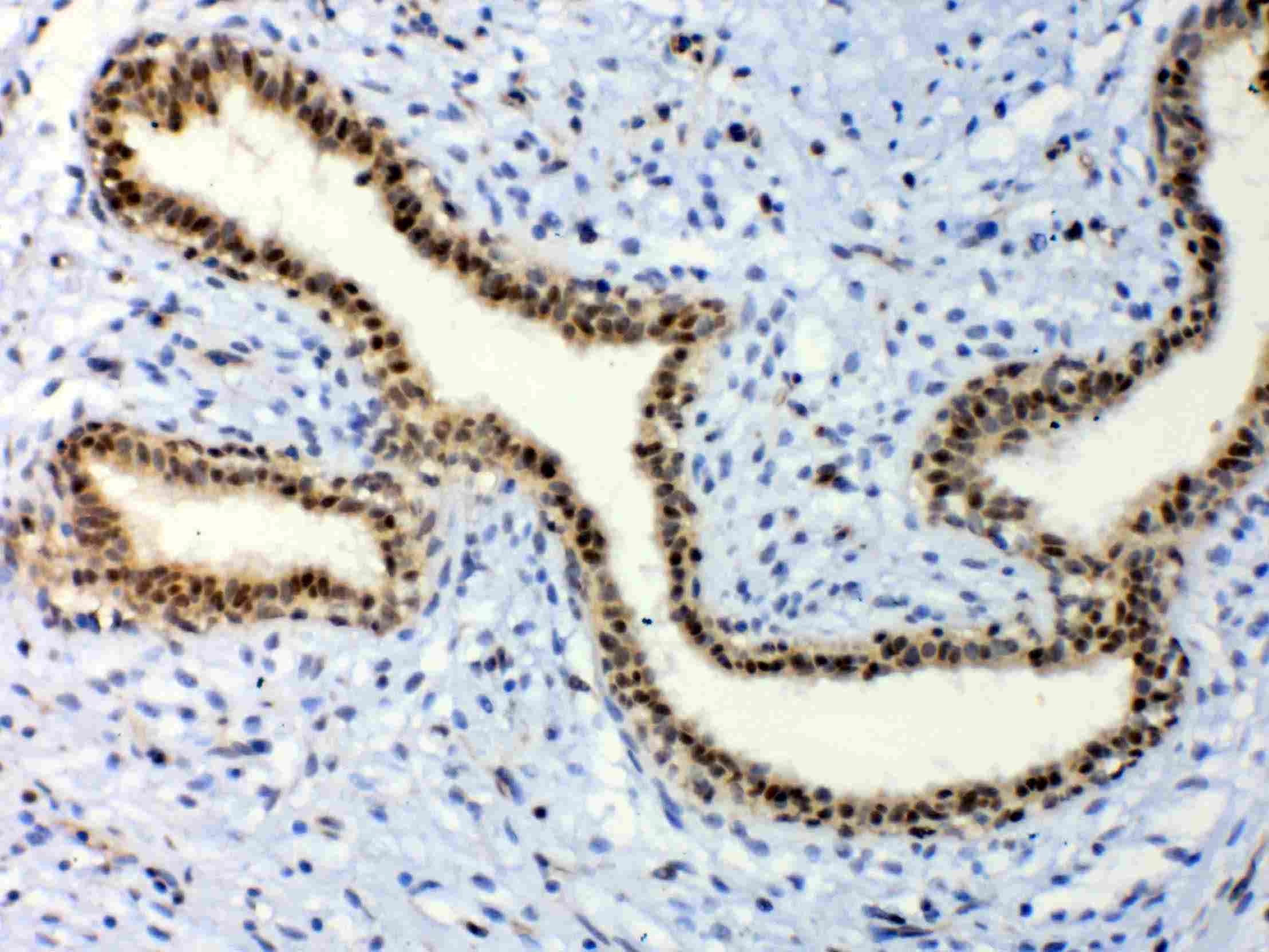
Immunohistochemistry: Paraffin-embedded Rat small intestine tissue. Antigen Retrieval: Heat mediated was performed in Citrate buffer (pH 6.0) for 20 min. The tissue section was blocked with 10% goat serum. The tissue section was then stained with 1 µg/ml ARG58570 anti-ETV6 / Tel antibody overnight at 4°C.
