ARG58605
anti-ETV6 / Tel antibody
anti-ETV6 / Tel antibody for Flow cytometry,IHC-Formalin-fixed paraffin-embedded sections,Western blot and Human
Overview
| Product Description | Rabbit Polyclonal antibody recognizes ETV6 / Tel |
|---|---|
| Tested Reactivity | Hu |
| Predict Reactivity | Ms, Bov |
| Tested Application | FACS, IHC-P, WB |
| Host | Rabbit |
| Clonality | Polyclonal |
| Isotype | IgG |
| Target Name | ETV6 / Tel |
| Antigen Species | Human |
| Immunogen | KLH-conjugated synthetic peptide between aa. 84-111 of Human ETV6 / Tel. |
| Conjugation | Un-conjugated |
| Alternate Names | TEL; TEL/ABL; Transcription factor ETV6; THC5; ETS-related protein Tel1; Tel; ETS translocation variant 6 |
Application Instructions
| Application Suggestion |
|
||||||||
|---|---|---|---|---|---|---|---|---|---|
| Application Note | * The dilutions indicate recommended starting dilutions and the optimal dilutions or concentrations should be determined by the scientist. | ||||||||
| Positive Control | U266 |
Properties
| Form | Liquid |
|---|---|
| Purification | Purification with Protein A and immunogen peptide. |
| Buffer | PBS and 0.09% (W/V) Sodium azide. |
| Preservative | 0.09% (W/V) Sodium azide |
| Storage Instruction | For continuous use, store undiluted antibody at 2-8°C for up to a week. For long-term storage, aliquot and store at -20°C or below. Storage in frost free freezers is not recommended. Avoid repeated freeze/thaw cycles. Suggest spin the vial prior to opening. The antibody solution should be gently mixed before use. |
| Note | For laboratory research only, not for drug, diagnostic or other use. |
Bioinformation
| Database Links | |
|---|---|
| Gene Symbol | ETV6 |
| Gene Full Name | ets variant 6 |
| Background | This gene encodes an ETS family transcription factor. The product of this gene contains two functional domains: a N-terminal pointed (PNT) domain that is involved in protein-protein interactions with itself and other proteins, and a C-terminal DNA-binding domain. Gene knockout studies in mice suggest that it is required for hematopoiesis and maintenance of the developing vascular network. This gene is known to be involved in a large number of chromosomal rearrangements associated with leukemia and congenital fibrosarcoma. [provided by RefSeq, Sep 2008] |
| Function | Transcriptional repressor; binds to the DNA sequence 5'-CCGGAAGT-3'. Plays a role in hematopoiesis and malignant transformation. [UniProt] |
| Cellular Localization | Nucleus. [UniProt] |
| Calculated MW | 53 kDa |
| PTM | Phosphorylation of Ser-257 by MAPK14 (p38) inhibits ETV6 transcriptional repression. [UniProt] |
Images (3) Click the Picture to Zoom In
-
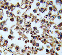
ARG58605 anti-ETV6 / Tel antibody IHC-P image
Immunohistochemistry: Formalin-fixed and paraffin-embedded Human testis tissue stained with ARG58605 anti-ETV6 / Tel antibody.
-
ARG58605 anti-ETV6 / Tel antibody WB image
Western blot: 35 µg of U266 cell lysate stained with ARG58605 anti-ETV6 / Tel antibody.
-
ARG58605 anti-ETV6 / Tel antibody FACS image
Flow Cytometry: K562 cells stained with ARG58605 anti-ETV6 / Tel antibody (bottom histogram) or without primary antibody as control (top histogram), followed by incubation with FITC labelled secondary antibody.
