ARG45884
anti-EVC2 / Limbin antibody
anti-EVC2 / Limbin antibody for Western blot,IHC-Formalin-fixed paraffin-embedded sections and Mouse,Rat
Overview
| Product Description | Rabbit Polyclonal antibody recognizes EVC2 / Limbin |
|---|---|
| Tested Reactivity | Ms, Rat |
| Tested Application | IHC-P, WB |
| Host | Rabbit |
| Clonality | Polyclonal |
| Isotype | IgG |
| Target Name | EVC2 / Limbin |
| Antigen Species | Mouse |
| Immunogen | Recombinant protein containing to mouse EVC2 / Limbin. |
| Conjugation | Un-conjugated |
| Alternate Names | EvC Ciliary Complex Subunit 2; Ellis-van Creveld syndrome protein 2; WAD; Limbin; EVC2; LBN |
Application Instructions
| Application Suggestion |
|
||||||
|---|---|---|---|---|---|---|---|
| Application Note | * The dilutions indicate recommended starting dilutions and the optimal dilutions or concentrations should be determined by the scientist. | ||||||
| Observed Size | 153 kDa |
Properties
| Form | Liquid |
|---|---|
| Purification | Affinity chromatography purified |
| Buffer | 0.2% Na2HPO4, 0.9% NaCl and 4% Trehalose. |
| Stabilizer | 4% Trehalose |
| Concentration | 0.5 mg/ml |
| Storage Instruction | For continuous use, store undiluted antibody at 2-8°C for up to a week. For long-term storage, aliquot and store at -22°C or below. Storage in frost free freezers is not recommended. Avoid repeated freeze/thaw cycles. Suggest spin the vial prior to opening. The antibody solution should be gently mixed before use. |
| Note | For laboratory research only, not for drug, diagnostic or other use. |
Bioinformation
| Database Links | |
|---|---|
| Gene Symbol | EVC2 |
| Gene Full Name | EvC Ciliary Complex Subunit 2 |
| Background | This gene encodes a protein that functions in bone formation and skeletal development. Mutations in this gene, as well as in a neighboring gene that lies in a head-to-head configuration, cause Ellis-van Creveld syndrome, an autosomal recessive skeletal dysplasia that is also known as chondroectodermal dysplasia. Mutations in this gene also cause acrofacial dysostosis Weyers type, also referred to as Curry-Hall syndrome, a disease that combines limb and facial abnormalities. Alternative splicing results in multiple transcript variants. [provided by RefSeq, Oct 2009] |
| Function | Component of the EvC complex that positively regulates ciliary Hedgehog (Hh) signaling. [UniProt] |
| Cellular Localization | Cell membrane; Cell projection; Cilium; Cytoplasm; Cytoskeleton. [UniProt] |
| Calculated MW | 138 kDa |
| PTM | Glycoprotein. [UniProt] |
Images (3) Click the Picture to Zoom In
-
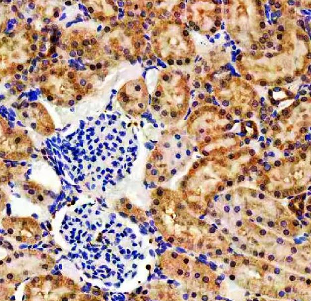
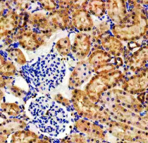
ARG45884 anti-EVC2 / Limbin antibody IHC-P image
Immunohistochemistry: Rat kidney stained with ARG45884 anti-EVC2 / Limbin antibody at 2 μg/ml dilution.
-
ARG45884 anti-EVC2 / Limbin antibody WB image
Western blot: PC-12 stained with ARG45884 anti-EVC2 / Limbin antibody at 0.5 μg/ml dilution.
-
ARG45884 anti-EVC2 / Limbin antibody WB image
Western blot: NIH/3T3 stained with ARG45884 anti-EVC2 / Limbin antibody at 0.5 μg/ml dilution.
