ARG41921
anti-EXO1 antibody
anti-EXO1 antibody for Flow cytometry,Western blot and Human
Overview
| Product Description | Rabbit Polyclonal antibody recognizes EXO1 |
|---|---|
| Tested Reactivity | Hu |
| Tested Application | FACS, WB |
| Host | Rabbit |
| Clonality | Polyclonal |
| Isotype | IgG |
| Target Name | EXO1 |
| Antigen Species | Human |
| Immunogen | Recombinant protein corresponding to M1-K294 of Human EXO1. |
| Conjugation | Un-conjugated |
| Alternate Names | Exonuclease I; hExoI; EC 3.1.-.-; hExo1; HEX1; Exonuclease 1 |
Application Instructions
| Application Suggestion |
|
||||||
|---|---|---|---|---|---|---|---|
| Application Note | * The dilutions indicate recommended starting dilutions and the optimal dilutions or concentrations should be determined by the scientist. | ||||||
| Observed Size | ~ 105 kDa |
Properties
| Form | Liquid |
|---|---|
| Purification | Affinity purification with immunogen. |
| Buffer | 0.2% Na2HPO4, 0.9% NaCl, 0.05% Sodium azide and 4% Trehalose. |
| Preservative | 0.05% Sodium azide |
| Stabilizer | 4% Trehalose |
| Concentration | 0.5 mg/ml |
| Storage Instruction | For continuous use, store undiluted antibody at 2-8°C for up to a week. For long-term storage, aliquot and store at -20°C or below. Storage in frost free freezers is not recommended. Avoid repeated freeze/thaw cycles. Suggest spin the vial prior to opening. The antibody solution should be gently mixed before use. |
| Note | For laboratory research only, not for drug, diagnostic or other use. |
Bioinformation
| Database Links | |
|---|---|
| Gene Symbol | EXO1 |
| Gene Full Name | exonuclease 1 |
| Background | This gene encodes a protein with 5' to 3' exonuclease activity as well as an RNase H activity. It is similar to the Saccharomyces cerevisiae protein Exo1 which interacts with Msh2 and which is involved in mismatch repair and recombination. Alternative splicing of this gene results in three transcript variants encoding two different isoforms. [provided by RefSeq, Jul 2008] |
| Function | 5'->3' double-stranded DNA exonuclease which may also possess a cryptic 3'->5' double-stranded DNA exonuclease activity. Functions in DNA mismatch repair (MMR) to excise mismatch-containing DNA tracts directed by strand breaks located either 5' or 3' to the mismatch. Also exhibits endonuclease activity against 5'-overhanging flap structures similar to those generated by displacement synthesis when DNA polymerase encounters the 5'-end of a downstream Okazaki fragment. Required for somatic hypermutation (SHM) and class switch recombination (CSR) of immunoglobulin genes. Essential for male and female meiosis. [UniProt] |
| Cellular Localization | Nucleus. Note=Colocalizes with PCNA to discrete nuclear foci in S-phase. [UniProt] |
| Calculated MW | 94 kDa |
| PTM | Phosphorylated upon DNA damage and in response to agents stalling DNA replication, probably by ATM or ATR. Phosphorylation at Ser-454, Thr-621 and Ser-714 is induced upon DNA-damage caused by treatment with hydroxyurea (HU) but not upon IR treatment. The HU-induced EXO1 triple phosphorylation facilitates destabilisation/degradation of the protein. [UniProt] |
Images (2) Click the Picture to Zoom In
-
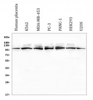
ARG41921 anti-EXO1 antibody WB image
Western blot: 50 µg of samples under reducing conditions. Human placenta, K562, MDA-MB-453, PC-3, PANC-1, HEK293 and U2OS whole cell lysates stained with ARG41921 anti-EXO1 antibody at 0.5 µg/ml dilution, overnight at 4°C.
-
ARG41921 anti-EXO1 antibody FACS image
Flow Cytometry: 293T cells were blocked with 10% normal goat serum and then stained with ARG41921 anti-EXO1 antibody (blue) at 1 µg/10^6 cells for 30 min at 20°C, followed by incubation with DyLight®488 labelled secondary antibody. Isotype control antibody (green) was Rabbit IgG (1 µg/10^6 cells) used under the same conditions. Unlabelled sample (red) was also used as a control.
