ARG45609
anti-EXOSC8 antibody
anti-EXOSC8 antibody for Flow cytometry,ICC/IF,IHC-Formalin-fixed paraffin-embedded sections,Western blot and Human
Overview
| Product Description | Rabbit Polyclonal antibody recognizes EXOSC8 |
|---|---|
| Tested Reactivity | Hu |
| Tested Application | FACS, ICC/IF, IHC-P, WB |
| Host | Rabbit |
| Clonality | Polyclonal |
| Isotype | IgG |
| Target Name | EXOSC8 |
| Antigen Species | Human |
| Immunogen | Recombinant protein containing to human EXOSC8. |
| Conjugation | Un-conjugated |
| Alternate Names | EXOSC8; Exosome Component 8; RRP43; OIP2; P9; BA421P11.3; Rrp43p; EAP2; CIP3; Ribosomal RNA-Processing Protein 43; Exosome Complex Component RRP43; CBP-Interacting Protein 3; Opa Interacting Protein 2; OIP-2; Exosome Complex Exonuclease RRP43; Opa-Interacting Protein 2; PCH1C |
Application Instructions
| Application Suggestion |
|
||||||||||
|---|---|---|---|---|---|---|---|---|---|---|---|
| Application Note | * The dilutions indicate recommended starting dilutions and the optimal dilutions or concentrations should be determined by the scientist. | ||||||||||
| Observed Size | 35 kDa |
Properties
| Form | Liquid |
|---|---|
| Purification | Affinity purified |
| Buffer | 0.2% Na2HPO4, 0.9% NaCl and 4% Trehalose. |
| Stabilizer | 4% Trehalose |
| Concentration | 0.5 mg/ml |
| Storage Instruction | For continuous use, store undiluted antibody at 2-8°C for up to a week. For long-term storage, aliquot and store at -20°C or below. Storage in frost free freezers is not recommended. Avoid repeated freeze/thaw cycles. Suggest spin the vial prior to opening. The antibody solution should be gently mixed before use. |
| Note | For laboratory research only, not for drug, diagnostic or other use. |
Bioinformation
| Database Links | |
|---|---|
| Gene Symbol | EXOSC8 |
| Gene Full Name | Exosome Component 8 |
| Background | This gene encodes a 3'-5' exoribonuclease that specifically interacts with mRNAs containing AU-rich elements. The encoded protein is part of the exosome complex that is important for the degradation of numerous RNA species. A pseudogene of this gene is found on chromosome 6. [provided by RefSeq, Mar 2009] |
| Function | Non-catalytic component of the RNA exosome complex which has 3'->5' exoribonuclease activity and participates in a multitude of cellular RNA processing and degradation events. In the nucleus, the RNA exosome complex is involved in proper maturation of stable RNA species such as rRNA, snRNA and snoRNA, in the elimination of RNA processing by-products and non-coding 'pervasive' transcripts, such as antisense RNA species and promoter-upstream transcripts (PROMPTs), and of mRNAs with processing defects, thereby limiting or excluding their export to the cytoplasm. The RNA exosome may be involved in Ig class switch recombination (CSR) and/or Ig variable region somatic hypermutation (SHM) by targeting AICDA deamination activity to transcribed dsDNA substrates. In the cytoplasm, the RNA exosome complex is involved in general mRNA turnover and specifically degrades inherently unstable mRNAs containing AU-rich elements (AREs) within their 3' untranslated regions, and in RNA surveillance pathways, preventing translation of aberrant mRNAs. It seems to be involved in degradation of histone mRNA. The catalytic inactive RNA exosome core complex of 9 subunits (Exo-9) is proposed to play a pivotal role in the binding and presentation of RNA for ribonucleolysis, and to serve as a scaffold for the association with catalytic subunits and accessory proteins or complexes. EXOSC8 binds to ARE-containing RNAs. [UniProt] |
| Cellular Localization | Cytoplasm; Exosome; Nucleus. [UniProt] |
| Calculated MW | 30 kDa |
| PTM | Acetylation. [UniProt] |
Images (4) Click the Picture to Zoom In
-
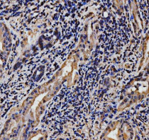
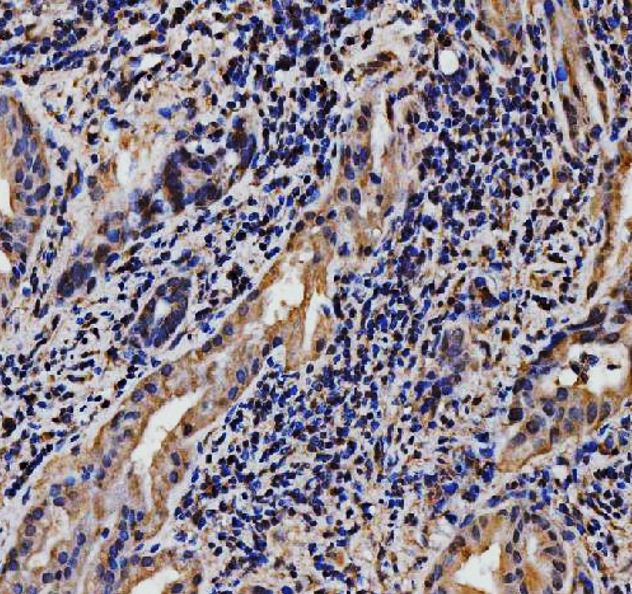
ARG45609 anti-EXOSC8 antibody IHC-P image
Immunohistochemistry: Human gall bladder adenosquamous carcinoma stained with ARG45609 anti-EXOSC8 antibody at 2 μg/ml dilution.
-
ARG45609 anti-EXOSC8 antibody ICC/IF image
Immunofluorescence: HEP3B stained with ARG45609 anti-EXOSC8 antibody at 5 μg/ml dilution.
-
ARG45609 anti-EXOSC8 antibody WB image
Western blot: HEK293 stained with ARG45609 anti-EXOSC8 antibody at 0.5 μg/ml dilution.
-
ARG45609 anti-EXOSC8 antibody FACS image
Flow Cytometry: THP-1 stained with ARG45609 anti-EXOSC8 antibody at 1 µg/10^6 cells dilution.
