ARG43194
anti-Eg 5 antibody
anti-Eg 5 antibody for Flow cytometry,IHC-Formalin-fixed paraffin-embedded sections,Western blot and Human,Hamster
Overview
| Product Description | Rabbit Polyclonal antibody recognizes Eg 5 |
|---|---|
| Tested Reactivity | Hu, Hm |
| Tested Application | FACS, IHC-P, WB |
| Host | Rabbit |
| Clonality | Polyclonal |
| Isotype | IgG |
| Target Name | Eg 5 |
| Antigen Species | Human |
| Immunogen | KLH-conjugated synthetic peptide between aa. 103-130 of Human Eg 5. |
| Conjugation | Un-conjugated |
| Alternate Names | TRIP-5; Kinesin-related motor protein Eg5; KNSL1; TR-interacting protein 5; HKSP; Kinesin-like spindle protein HKSP; EG5; MCLMR; Kinesin-like protein 1; Kinesin-like protein KIF11; TRIP5; Thyroid receptor-interacting protein 5 |
Application Instructions
| Application Suggestion |
|
||||||||
|---|---|---|---|---|---|---|---|---|---|
| Application Note | * The dilutions indicate recommended starting dilutions and the optimal dilutions or concentrations should be determined by the scientist. | ||||||||
| Positive Control | A431 and CHO | ||||||||
| Observed Size | ~ 120 kDa |
Properties
| Form | Liquid |
|---|---|
| Purification | Purification with Protein A and immunogen peptide. |
| Buffer | PBS and 0.09% (W/V) Sodium azide. |
| Preservative | 0.09% (W/V) Sodium azide |
| Storage Instruction | For continuous use, store undiluted antibody at 2-8°C for up to a week. For long-term storage, aliquot and store at -20°C or below. Storage in frost free freezers is not recommended. Avoid repeated freeze/thaw cycles. Suggest spin the vial prior to opening. The antibody solution should be gently mixed before use. |
| Note | For laboratory research only, not for drug, diagnostic or other use. |
Bioinformation
| Database Links | |
|---|---|
| Gene Symbol | KIF11 |
| Gene Full Name | kinesin family member 11 |
| Background | This gene encodes a motor protein that belongs to the kinesin-like protein family. Members of this protein family are known to be involved in various kinds of spindle dynamics. The function of this gene product includes chromosome positioning, centrosome separation and establishing a bipolar spindle during cell mitosis. [provided by RefSeq, Jul 2008] |
| Function | Motor protein required for establishing a bipolar spindle during mitosis (PubMed:19001501). Required in non-mitotic cells for transport of secretory proteins from the Golgi complex to the cell surface (PubMed:23857769). [UniProt] |
| Cellular Localization | Cytoplasm. Cytoplasm, cytoskeleton, spindle pole. [UniProt] |
| Calculated MW | 119 kDa |
| PTM | Phosphorylated exclusively on serine during S phase, but on both serine and Thr-926 during mitosis, so controlling the association of KIF11 with the spindle apparatus (probably during early prophase). A subset of this protein primarily localized at the spindle pole is phosphorylated by NEK6 during mitosis; phosphorylation is required for mitotic function. [UniProt] |
Images (4) Click the Picture to Zoom In
-
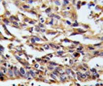
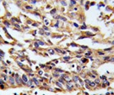
ARG43194 anti-Eg 5 antibody IHC-P image
Immunohistochemistry: Formalin-fixed and paraffin-embedded Human lung carcinoma tissue stained with ARG43194 anti-Eg 5 antibody.
-
ARG43194 anti-Eg 5 antibody WB image
Western blot: 20 µg of A431 whole cell lysate stained with ARG43194 anti-Eg 5 antibody at 1:1000 dilution.
-
ARG43194 anti-Eg 5 antibody FACS image
Flow Cytometry: HeLa cells stained with ARG43194 anti-Eg 5 antibody (bottom histogram) or without primary antibody as control (top histogram), followed by incubation with FITC labelled secondary antibody.
-
ARG43194 anti-Eg 5 antibody WB image
Western blot: 35 µg of CHO cell lysate stained with ARG43194 anti-Eg 5 antibody.
