ARG24000
anti-Elastin antibody
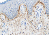
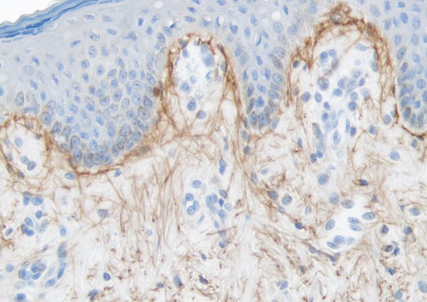
anti-Elastin antibody for ELISA,ICC/IF,IHC-Formalin-fixed paraffin-embedded sections and Human
Overview
| Product Description | Guinea pig Polyclonal antibody recognizes Elastin |
|---|---|
| Tested Reactivity | Hu |
| Tested Application | ELISA, ICC/IF, IHC-P |
| Host | Guinea pig |
| Clonality | Polyclonal |
| Isotype | IgG |
| Target Name | Elastin |
| Antigen Species | Human |
| Immunogen | Elastin extracted from Human skin. |
| Conjugation | Un-conjugated |
| Alternate Names | Elastin; SVAS; WS; WBS; Tropoelastin |
Application Instructions
| Application Suggestion |
|
||||||||
|---|---|---|---|---|---|---|---|---|---|
| Application Note | * The dilutions indicate recommended starting dilutions and the optimal dilutions or concentrations should be determined by the scientist. |
Properties
| Form | Liquid |
|---|---|
| Purification | Purified. |
| Storage Instruction | For continuous use, store undiluted antibody at 2-8°C for up to a week. For long-term storage, aliquot and store at -20°C. Storage in frost free freezers is not recommended. Avoid repeated freeze/thaw cycles. Suggest spin the vial prior to opening. The antibody solution should be gently mixed before use. |
| Note | For laboratory research only, not for drug, diagnostic or other use. |
Bioinformation
| Database Links | |
|---|---|
| Gene Symbol | ELN |
| Gene Full Name | elastin |
| Background | This gene encodes a protein that is one of the two components of elastic fibers. Elastic fibers comprise part of the extracellular matrix and confer elasticity to organs and tissues including the heart, skin, lungs, ligaments, and blood vessels. The encoded protein is rich in hydrophobic amino acids such as glycine and proline, which form mobile hydrophobic regions bounded by crosslinks between lysine residues. Degradation products of the encoded protein, known as elastin-derived peptides or elastokines, bind the elastin receptor complex and other receptors and stimulate migration and proliferation of monocytes and skin fibroblasts. Elastokines can also contribute to cancer progression. Deletions and mutations in this gene are associated with supravalvular aortic stenosis (SVAS) and autosomal dominant cutis laxa. [provided by RefSeq, Aug 2017] |
| Function | Major structural protein of tissues such as aorta and nuchal ligament, which must expand rapidly and recover completely. Molecular determinant of the late arterial morphogenesis, stabilizing arterial structure by regulating proliferation and organization of vascular smooth muscle (By similarity). [UniProt] |
| Cellular Localization | Secreted, extracellular space, extracellular matrix. Note=Extracellular matrix of elastic fibers. [UniProt] |
| Calculated MW | 68 kDa |
| PTM | Elastin is formed through the cross-linking of its soluble precursor tropoelastin. Cross-linking is initiated through the action of lysyl oxidase on exposed lysines to form allysine. Subsequent spontaneous condensation reactions with other allysine or unmodified lysine residues result in various bi-, tri-, and tetrafunctional cross-links. The most abundant cross-links in mature elastin fibers are lysinonorleucine, allysine aldol, desmosine, and isodesmosine. Hydroxylation on proline residues within the sequence motif, GXPG, is most likely 4-hydroxy as this fits the requirement for 4-hydroxylation in vertebrates. [UniProt] |
Images (1) Click the Picture to Zoom In
