ARG58577
anti-Emerin antibody [5A10]
anti-Emerin antibody [5A10] for Flow cytometry,IHC-Formalin-fixed paraffin-embedded sections,Western blot and Human
Overview
| Product Description | Mouse Monoclonal antibody [5A10] recognizes Emerin |
|---|---|
| Tested Reactivity | Hu |
| Tested Application | FACS, IHC-P, WB |
| Host | Mouse |
| Clonality | Monoclonal |
| Clone | 5A10 |
| Isotype | IgG1 |
| Target Name | Emerin |
| Antigen Species | Human |
| Immunogen | Synthetic peptide corresponding to aa. 1-48 of Human Emerin. (MDNYADLSDTELTTLLRRYNIPHGPVVGSTRRLYEKKIFEYETQRRRL) |
| Conjugation | Un-conjugated |
| Alternate Names | Emerin; LEMD5; EDMD; STA |
Application Instructions
| Application Suggestion |
|
||||||||
|---|---|---|---|---|---|---|---|---|---|
| Application Note | IHC-P: Antigen Retrieval: Heat mediation was performed in Citrate buffer (pH 6.0) for 20 min. * The dilutions indicate recommended starting dilutions and the optimal dilutions or concentrations should be determined by the scientist. |
Properties
| Form | Liquid |
|---|---|
| Purification | Purified. |
| Buffer | 0.9% NaCl, 0.2% Na2HPO4, 0.05% Sodium azide and 4% Trehalose. |
| Preservative | 0.05% Sodium azide |
| Stabilizer | 4% Trehalose |
| Concentration | 0.5 mg/ml |
| Storage Instruction | For continuous use, store undiluted antibody at 2-8°C for up to a week. For long-term storage, aliquot and store at -20°C or below. Storage in frost free freezers is not recommended. Avoid repeated freeze/thaw cycles. Suggest spin the vial prior to opening. The antibody solution should be gently mixed before use. |
| Note | For laboratory research only, not for drug, diagnostic or other use. |
Bioinformation
| Database Links | |
|---|---|
| Gene Symbol | EMD |
| Gene Full Name | emerin |
| Background | Emerin is a serine-rich nuclear membrane protein and a member of the nuclear lamina-associated protein family. It mediates membrane anchorage to the cytoskeleton. Dreifuss-Emery muscular dystrophy is an X-linked inherited degenerative myopathy resulting from mutation in the emerin gene. [provided by RefSeq, Jul 2008] |
| Function | Stabilizes and promotes the formation of a nuclear actin cortical network. Stimulates actin polymerization in vitro by binding and stabilizing the pointed end of growing filaments. Inhibits beta-catenin activity by preventing its accumulation in the nucleus. Acts by influencing the nuclear accumulation of beta-catenin through a CRM1-dependent export pathway. Links centrosomes to the nuclear envelope via a microtubule association. EMD and BAF are cooperative cofactors of HIV-1 infection. Association of EMD with the viral DNA requires the presence of BAF and viral integrase. The association of viral DNA with chromatin requires the presence of BAF and EMD. Required for proper localization of non-farnesylated prelamin-A/C. [UniProt] |
| Cellular Localization | Nucleus inner membrane. [UniProt] |
| Calculated MW | 29 kDa |
| PTM | Found in four different phosphorylated forms, three of which appear to be associated with the cell cycle. [UniProt] |
Images (4) Click the Picture to Zoom In
-
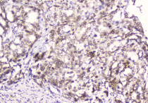
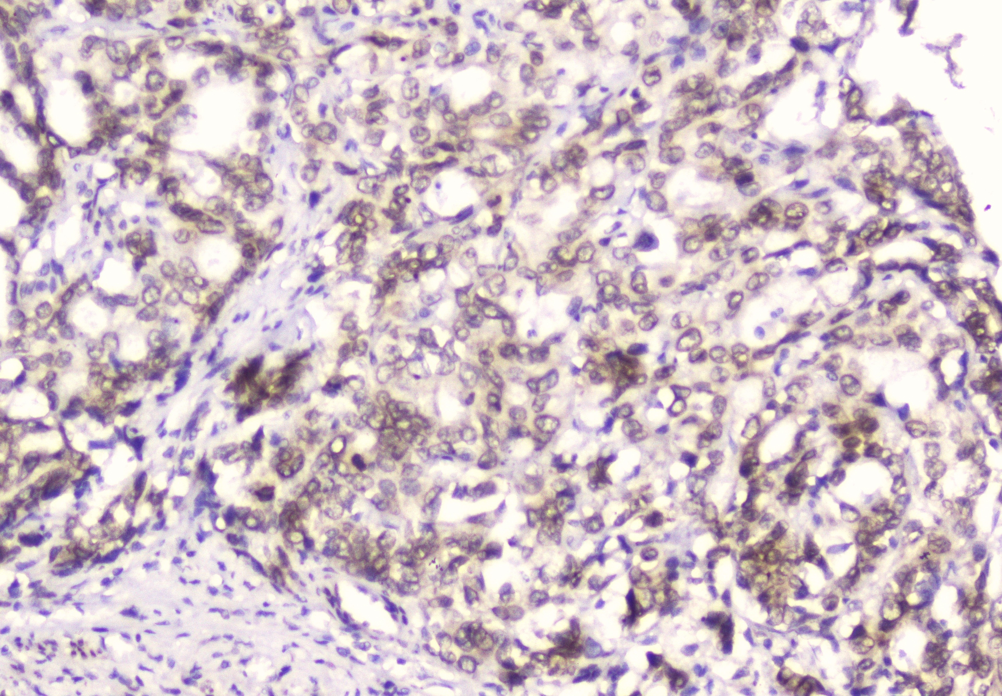
ARG58577 anti-Emerin antibody [5A10] IHC-P image
Immunohistochemistry: Paraffin-embedded Human gastric cancer tissue. Antigen Retrieval: Heat mediated was performed in Citrate buffer (pH 6.0) for 20 min. The tissue section was blocked with 10% goat serum. The section was stained with ARG58577 anti-Emerin antibody [5A10] at 2 µg/ml, overnight at 4°C.
-
ARG58577 anti-Emerin antibody [5A10] WB image
Western blot: 50 µg of HeLa, Human placenta, Caco-2, HepG2, Rabbit IgG, Marker 1113, Jurkat, MDA-MB-453, SK-OV-3 and SW620 lysates stained with ARG58577 anti-Emerin antibody [5A10] at 0.5 µg/ml, overnight at 4°C, under reducing conditions.
-
ARG58577 anti-Emerin antibody [5A10] FACS image
Flow Cytometry: A431 cells were blocked with 10% normal goat serum and then stained with ARG58577 anti-Emerin antibody [5A10] (blue) at 1 µg/10^6 cells for 30 min at 20°C, followed by incubation with DyLight®488 labelled secondary antibody. Isotype control antibody (green) was mouse IgG (1 µg/10^6 cells) used under the same conditions. Unlabelled sample (red) was also used as a control.
-
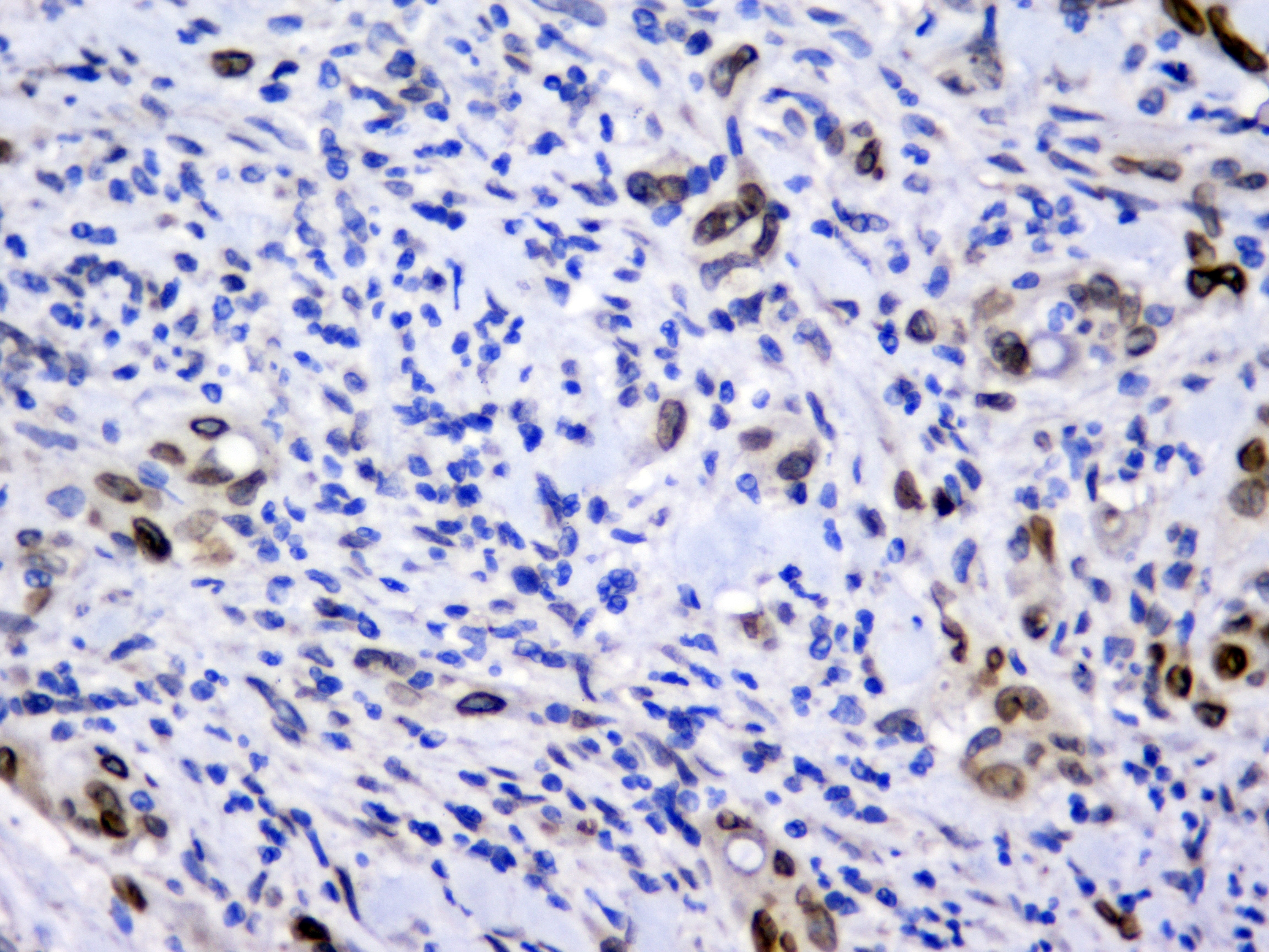
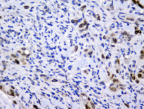
ARG58577 anti-Emerin antibody [5A10] IHC-P image
Immunohistochemistry: Paraffin-embedded Human rectal cancer tissue. Antigen Retrieval: Heat mediated was performed in Citrate buffer (pH 6.0) for 20 min. The tissue section was blocked with 10% goat serum. The tissue section was then stained with 2 µg/ml ARG58577 anti-Emerin antibody [5A10] overnight at 4°C.
