ARG67002
anti-Enterovirus 71 antibody
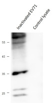
anti-Enterovirus 71 antibody for ICC/IF,Western blot and Virus
Overview
| Product Description | Rabbit Polyclonal antibody recognizes Enterovirus 71. |
|---|---|
| Tested Reactivity | Virus |
| Tested Application | ICC/IF, WB |
| Host | Rabbit |
| Clonality | Polyclonal |
| Isotype | IgG |
| Target Name | Enterovirus 71 |
| Antigen Species | Virus |
| Immunogen | Inactivated Enterovirus 71 virus particle. |
| Conjugation | Un-conjugated |
| Alternate Names | Enterovirus 71; Enterovirus A71; EV71; EV-A71; EV71 virus |
Application Instructions
| Application Suggestion |
|
||||||
|---|---|---|---|---|---|---|---|
| Application Note | * The dilutions indicate recommended starting dilutions and the optimal dilutions or concentrations should be determined by the scientist. |
Properties
| Form | Liquid |
|---|---|
| Purification | Affinity purification. |
| Buffer | 100 mM Tris Glycine (pH 7.0), 0.025% Proclin 300 and 20% Glycerol. |
| Preservative | 0.025% Proclin 300 |
| Stabilizer | 20% Glycerol |
| Storage Instruction | For continuous use, store undiluted antibody at 2-8°C for up to a week. For long-term storage, aliquot and store at -20°C or below. Storage in frost free freezers is not recommended. Avoid repeated freeze/thaw cycles. Suggest spin the vial prior to opening. The antibody solution should be gently mixed before use. |
| Note | For laboratory research only, not for drug, diagnostic or other use. |
Bioinformation
| Gene Full Name | Enterovirus 71 |
|---|---|
| Background | Enterovirus 71 (EV71), also known as Enterovirus A71 (EV-A71), is a virus of the genus Enterovirus in the Picornaviridae family, notable for its role in causing epidemics of severe neurological disease and hand, foot, and mouth disease in children. It was first isolated and characterized from cases of neurological disease in California in 1969. Enterovirus 71 infrequently causes polio-like syndrome permanent paralysis. [wikipedia: Enterovirus 71] |
Images (1) Click the Picture to Zoom In
