ARG66791
anti-Epsin 3 antibody
anti-Epsin 3 antibody for IHC-Formalin-fixed paraffin-embedded sections,Western blot and Human
Overview
| Product Description | Rabbit Polyclonal antibody recognizes Epsin 3 |
|---|---|
| Tested Reactivity | Hu |
| Tested Application | IHC-P, WB |
| Host | Rabbit |
| Clonality | Polyclonal |
| Isotype | IgG |
| Target Name | Epsin 3 |
| Antigen Species | Human |
| Immunogen | Synthetic peptide between aa. 401-450 of Human Epsin 3. |
| Conjugation | Un-conjugated |
| Alternate Names | Epsin-3; EPS-15-interacting protein 3 |
Application Instructions
| Application Suggestion |
|
||||||
|---|---|---|---|---|---|---|---|
| Application Note | * The dilutions indicate recommended starting dilutions and the optimal dilutions or concentrations should be determined by the scientist. | ||||||
| Positive Control | COLO205 | ||||||
| Observed Size | ~ 68 kDa |
Properties
| Form | Liquid |
|---|---|
| Purification | Affinity purification with immunogen. |
| Buffer | PBS, 0.02% Sodium azide, 50% Glycerol and 0.5% BSA. |
| Preservative | 0.02% Sodium azide |
| Stabilizer | 50% Glycerol and 0.5% BSA |
| Concentration | 1 mg/ml |
| Storage Instruction | For continuous use, store undiluted antibody at 2-8°C for up to a week. For long-term storage, aliquot and store at -20°C. Storage in frost free freezers is not recommended. Avoid repeated freeze/thaw cycles. Suggest spin the vial prior to opening. The antibody solution should be gently mixed before use. |
| Note | For laboratory research only, not for drug, diagnostic or other use. |
Bioinformation
| Database Links | |
|---|---|
| Gene Symbol | EPN3 |
| Gene Full Name | epsin 3 |
| Cellular Localization | Cytoplasm. Cytoplasm, perinuclear region. Cytoplasmic vesicle, clathrin-coated vesicle. Nucleus. Note=Concentrated in the perinuclear region and associated with clathrin-coated vesicles close to the cell periphery. May shuttle to the nucleus. [UniProt] |
| Calculated MW | 68 kDa |
Images (2) Click the Picture to Zoom In
-
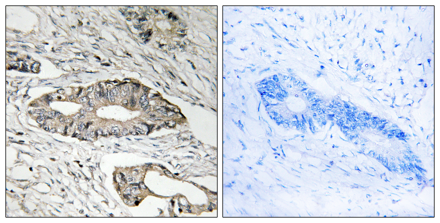
ARG66791 anti-Epsin 3 antibody IHC-P image
Immunohistochemistry: Paraffin-embedded Human colon carcinoma tissue stained with ARG66791 anti-Epsin 3 antibody. The picture on the right is blocked with the synthetic peptide.
-
ARG66791 anti-Epsin 3 antibody WB image
Western blot: COLO205 cell lysate stained with ARG66791 anti-Epsin 3 antibody.
