ARG23242
anti-Estrogen Receptor alpha antibody [6F11]
anti-Estrogen Receptor alpha antibody [6F11] for IHC-Frozen sections,IHC-Formalin-fixed paraffin-embedded sections,Western blot and Human
Overview
| Product Description | Mouse Monoclonal antibody [6F11] recognizes Estrogen Receptor alpha Mouse anti Human estrogen alpha antibody, clone 6F11 recognizes the human estrogen receptor alpha chain (ERα), also known as the estradiol receptor or nuclear receptor subfamily 3 group A member 1. ERα is a ~65 kDa steroid hormone receptor containing an N-terminal (AF-1) ligand independent transactivation domain, a DNA binding domain and a C-terminal ligand binding domain which overlaps with an (AF-2) domain. ERα binds to DNA as a homodimer (Klinge 2001) and can also form heterodimers with Estrogen receptor beta. The detection of estrogen (ER) and progesterone (PR) receptors using immunohistochemical staining of formalin fixed, paraffin embedded (FFPE) tissue, has gradually replaced ligand binding assays, to become the most common method for the determination of the ER/PR status of breast tumors (Yaziji et al. 2008). Approximately 75% to 80% of breast tumors have estrogen and/or progesterone receptors, and the presence of these receptors helps determine both the patients prognosis and the effectiveness of hormonal therapy (Bhargava et al. 2012). Mouse anti human estrogen alpha antibody, clone 6F11 has been used successfully for identification of ERα on breast cancer cell lysates using Western blotting and for the immunohistochemical detection of ERα in breast cancer tissues (Ambroise et al. 2011). |
|---|---|
| Tested Reactivity | Hu |
| Tested Application | IHC-Fr, IHC-P, WB |
| Host | Mouse |
| Clonality | Monoclonal |
| Clone | 6F11 |
| Isotype | IgG1 |
| Target Name | Estrogen Receptor alpha |
| Antigen Species | Human |
| Immunogen | Recombinant Human estrogen receptor (alpha form). |
| Conjugation | Un-conjugated |
| Alternate Names | ESTRR; NR3A1; ESR; Estradiol receptor; Era; Estrogen receptor; ESRA; ER-alpha; Nuclear receptor subfamily 3 group A member 1; ER |
Application Instructions
| Application Suggestion |
|
||||||||
|---|---|---|---|---|---|---|---|---|---|
| Application Note | IHC-Fr: The use of Zamboni's fixative is recommended for best results. IHC-P: Antigen Retrieval: Boil tissue section in Sodium citrate buffer (pH 6.0). * The dilutions indicate recommended starting dilutions and the optimal dilutions or concentrations should be determined by the scientist. |
Properties
| Form | Liquid |
|---|---|
| Purification | Tissue Culture Supernatant |
| Buffer | Tissue Culture Supernatant and 0.09% Sodium azide. |
| Preservative | 0.09% Sodium azide |
| Storage Instruction | For continuous use, store undiluted antibody at 2-8°C for up to a week. For long-term storage, aliquot and store at -20°C or below. Storage in frost free freezers is not recommended. Avoid repeated freeze/thaw cycles. Suggest spin the vial prior to opening. The antibody solution should be gently mixed before use. |
| Note | For laboratory research only, not for drug, diagnostic or other use. |
Bioinformation
| Database Links | |
|---|---|
| Gene Symbol | ESR1 |
| Gene Full Name | estrogen receptor 1 |
| Background | This gene encodes an estrogen receptor, a ligand-activated transcription factor composed of several domains important for hormone binding, DNA binding, and activation of transcription. The protein localizes to the nucleus where it may form a homodimer or a heterodimer with estrogen receptor 2. Estrogen and its receptors are essential for sexual development and reproductive function, but also play a role in other tissues such as bone. Estrogen receptors are also involved in pathological processes including breast cancer, endometrial cancer, and osteoporosis. Alternative promoter usage and alternative splicing result in dozens of transcript variants, but the full-length nature of many of these variants has not been determined. [provided by RefSeq, Mar 2014] |
| Function | Nuclear hormone receptor. The steroid hormones and their receptors are involved in the regulation of eukaryotic gene expression and affect cellular proliferation and differentiation in target tissues. Ligand-dependent nuclear transactivation involves either direct homodimer binding to a palindromic estrogen response element (ERE) sequence or association with other DNA-binding transcription factors, such as AP-1/c-Jun, c-Fos, ATF-2, Sp1 and Sp3, to mediate ERE-independent signaling. Ligand binding induces a conformational change allowing subsequent or combinatorial association with multiprotein coactivator complexes through LXXLL motifs of their respective components. Mutual transrepression occurs between the estrogen receptor (ER) and NF-kappa-B in a cell-type specific manner. Decreases NF-kappa-B DNA-binding activity and inhibits NF-kappa-B-mediated transcription from the IL6 promoter and displace RELA/p65 and associated coregulators from the promoter. Recruited to the NF-kappa-B response element of the CCL2 and IL8 promoters and can displace CREBBP. Present with NF-kappa-B components RELA/p65 and NFKB1/p50 on ERE sequences. Can also act synergistically with NF-kappa-B to activate transcription involving respective recruitment adjacent response elements; the function involves CREBBP. Can activate the transcriptional activity of TFF1. Also mediates membrane-initiated estrogen signaling involving various kinase cascades. Isoform 3 is involved in activation of NOS3 and endothelial nitric oxide production. Isoforms lacking one or several functional domains are thought to modulate transcriptional activity by competitive ligand or DNA binding and/or heterodimerization with the full length receptor. Essential for MTA1-mediated transcriptional regulation of BRCA1 and BCAS3. Isoform 3 can bind to ERE and inhibit isoform 1. [UniProt] |
| Calculated MW | 66 kDa |
| PTM | Phosphorylated by cyclin A/CDK2 and CK1. Phosphorylation probably enhances transcriptional activity. Self-association induces phosphorylation. Dephosphorylation at Ser-118 by PPP5C inhibits its transactivation activity. Phosphorylated by LMTK3 in vitro. Glycosylated; contains N-acetylglucosamine, probably O-linked. Ubiquitinated; regulated by LATS1 via DCAF1 it leads to ESR1 proteasomal degradation (PubMed:21602804, PubMed:28068668). Deubiquitinated by OTUB1 (PubMed:19383985). Dimethylated by PRMT1 at Arg-260. The methylation may favor cytoplasmic localization. Palmitoylated (isoform 3). Not biotinylated (isoform 3). Palmitoylated by ZDHHC7 and ZDHHC21. Palmitoylation is required for plasma membrane targeting and for rapid intracellular signaling via ERK and AKT kinases and cAMP generation, but not for signaling mediated by the nuclear hormone receptor. [UniProt] |
Images (3) Click the Picture to Zoom In
-
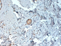
ARG23242 anti-Estrogen Receptor alpha antibody [6F11] IHC-P image
Immunohistochemistry: Formalin fixed, paraffin-embedded Human breast cancer biopsy stained with ARG23242 anti-Estrogen Receptor alpha antibody [6F11]. Antigen Retrieval: Boil tissue section in Citrate buffer (pH 6.2). (low power).
-
ARG23242 anti-Estrogen Receptor alpha antibody [6F11] WB image
Western blot: MCF-7 Human breast adenocarcinoma whole cell lysate stained with ARG23242 anti-Estrogen Receptor alpha antibody [6F11].
-
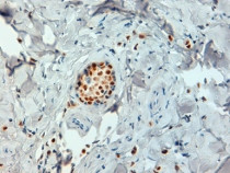
ARG23242 anti-Estrogen Receptor alpha antibody [6F11] IHC-P image
Immunohistochemistry: Formalin fixed, paraffin-embedded Human breast cancer biopsy stained with ARG23242 anti-Estrogen Receptor alpha antibody [6F11]. Antigen Retrieval: Boil tissue section in Citrate buffer (pH 6.2). (high power).
