ARG23195
anti-Estrogen Receptor beta b (beta 5 isoform) antibody [5/25]
anti-Estrogen Receptor beta b (beta 5 isoform) antibody [5/25] for IHC-Formalin-fixed paraffin-embedded sections,Western blot and Human
Overview
| Product Description | Mouse Monoclonal antibody [5/25] recognizes Estrogen Receptor beta b (beta 5 isoform) |
|---|---|
| Tested Reactivity | Hu |
| Tested Application | IHC-P, WB |
| Host | Mouse |
| Clonality | Monoclonal |
| Clone | 5/25 |
| Isotype | IgG1 |
| Target Name | Estrogen Receptor beta b (beta 5 isoform) |
| Antigen Species | Human |
| Immunogen | Tuberculin-conjugated synthetic peptide around the C-terminus of Human ERB5. (LLSHVRHARYAP) |
| Conjugation | Un-conjugated |
| Alternate Names | ER-BETA; NR3A2; ESTRB; Estrogen receptor beta; ER-beta; ESRB; Erb; Nuclear receptor subfamily 3 group A member 2; ESR-BETA |
Application Instructions
| Application Suggestion |
|
||||||
|---|---|---|---|---|---|---|---|
| Application Note | IHC-P: Antigen Retrieval: Boil tissue section in Sodium citrate buffer (pH 6.0). * The dilutions indicate recommended starting dilutions and the optimal dilutions or concentrations should be determined by the scientist. |
Properties
| Form | Liquid |
|---|---|
| Purification | Purification with Protein G. |
| Buffer | PBS and 0.1% Sodium azide. |
| Preservative | 0.1% Sodium azide |
| Concentration | 1 mg/ml |
| Storage Instruction | For continuous use, store undiluted antibody at 2-8°C for up to a week. For long-term storage, aliquot and store at -20°C or below. Storage in frost free freezers is not recommended. Avoid repeated freeze/thaw cycles. Suggest spin the vial prior to opening. The antibody solution should be gently mixed before use. |
| Note | For laboratory research only, not for drug, diagnostic or other use. |
Bioinformation
| Database Links | |
|---|---|
| Gene Symbol | ESR2 |
| Gene Full Name | estrogen receptor 2 (ER beta) |
| Background | This gene encodes a member of the family of estrogen receptors and superfamily of nuclear receptor transcription factors. The gene product contains an N-terminal DNA binding domain and C-terminal ligand binding domain and is localized to the nucleus, cytoplasm, and mitochondria. Upon binding to 17beta-estradiol or related ligands, the encoded protein forms homo- or hetero-dimers that interact with specific DNA sequences to activate transcription. Some isoforms dominantly inhibit the activity of other estrogen receptor family members. Several alternatively spliced transcript variants of this gene have been described, but the full-length nature of some of these variants has not been fully characterized. [provided by RefSeq, Jul 2008] |
| Function | Nuclear hormone receptor. Binds estrogens with an affinity similar to that of ESR1, and activates expression of reporter genes containing estrogen response elements (ERE) in an estrogen-dependent manner. Isoform beta-cx lacks ligand binding ability and has no or only very low ere binding activity resulting in the loss of ligand-dependent transactivation ability. DNA-binding by ESR1 and ESR2 is rapidly lost at 37 degrees Celsius in the absence of ligand while in the presence of 17 beta-estradiol and 4-hydroxy-tamoxifen loss in DNA-binding at elevated temperature is more gradual. [UniProt] |
| Calculated MW | 59 kDa |
| PTM | Phosphorylation at Ser-87 and Ser-105 recruits NCOA1. [UniProt] |
Images (3) Click the Picture to Zoom In
-
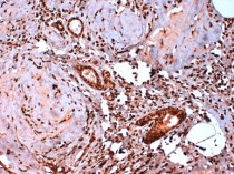
ARG23195 anti-Estrogen Receptor beta b (beta 5 isoform) antibody [5/25] IHC-P image
Immunohistochemistry: Formalin fixed, Paraffin-embedded Human breast cancer biopsy stained with ARG23195 anti-Estrogen Receptor beta b (beta 5 isoform) antibody [5/25]. Antigen Retrieval: Boil tissue section in Citrate buffer (pH 6.2). (low power).
-
ARG23195 anti-Estrogen Receptor beta b (beta 5 isoform) antibody [5/25] WB image
Western blot: Human breast cancer tissue lysate stained with ARG23195 anti-Estrogen Receptor beta b (beta 5 isoform) antibody [5/25].
-
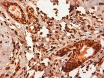
ARG23195 anti-Estrogen Receptor beta b (beta 5 isoform) antibody [5/25] IHC-P image
Immunohistochemistry: Formalin fixed, Paraffin-embedded Human breast cancer biopsy stained with ARG23195 anti-Estrogen Receptor beta b (beta 5 isoform) antibody [5/25]. Antigen Retrieval: Boil tissue section in Citrate buffer (pH 6.2). (high power).
