ARG54382
anti-F1A alpha antibody
anti-F1A alpha antibody for IHC-Formalin-fixed paraffin-embedded sections,Western blot and Human,Mouse,Rat
Cell Biology and Cellular Response antibody; Cell Death antibody
Overview
| Product Description | Rabbit Polyclonal antibody recognizes F1A alpha |
|---|---|
| Tested Reactivity | Hu, Ms, Rat |
| Tested Application | IHC-P, WB |
| Specificity | This antibody recognizes human, mouse, and rat F1A (70kDa). |
| Host | Rabbit |
| Clonality | Polyclonal |
| Isotype | IgG |
| Target Name | F1A alpha |
| Antigen Species | Human |
| Immunogen | Peptide corresponding to aa 609-622 of human F1A (accession no. AAF05314). This sequence is identical to that of mouse. |
| Conjugation | Un-conjugated |
| Alternate Names | Fem-1-like death receptor-binding protein alpha; F1A-alpha; Protein fem-1 homolog B; F1A-ALPHA; Fem-1-like in apoptotic pathway protein alpha; FEM1-beta; FEM1b; F1AA |
Application Instructions
| Application Suggestion |
|
||||||
|---|---|---|---|---|---|---|---|
| Application Note | * The dilutions indicate recommended starting dilutions and the optimal dilutions or concentrations should be determined by the scientist. | ||||||
| Positive Control | Mouse and Rat liver |
Properties
| Form | Liquid |
|---|---|
| Purification | Immunoaffinity chroma-tography |
| Buffer | PBS (pH 7.4) and 0.02% Sodium azide |
| Preservative | 0.02% Sodium azide |
| Storage Instruction | For continuous use, store undiluted antibody at 2-8°C for up to a week. For long-term storage, aliquot and store at -20°C or below. Storage in frost free freezers is not recommended. Avoid repeated freeze/thaw cycles. Suggest spin the vial prior to opening. The antibody solution should be gently mixed before use. |
| Note | For laboratory research only, not for drug, diagnostic or other use. |
Bioinformation
| Database Links | |
|---|---|
| Gene Symbol | FEM1B |
| Gene Full Name | fem-1 homolog b (C. elegans) |
| Background | Fas and tumor necrosis factor receptor 1 (TNFR1) are two members of the family of death receptors. A novel protein that associates with the intracellular domains of Fas and TNFR1 has been designated F1A (or FEM1 ). F1A is cleaved by CED-3 and caspase, and it associates with CED-4 and its mammalian homologue Apaf-1. Overexpression of F1A induces apoptosis. F1A is expressed in a variety of human and mouse tissues. |
| Function | Component of an E3 ubiquitin-protein ligase complex, in which it may act as a substrate recognition subunit. Involved in apoptosis by acting as a death receptor-associated protein that mediates apoptosis. Also involved in glucose homeostasis in pancreatic islet. Functions as an adapter/mediator in replication stress-induced signaling that leads to the activation of CHEK1. [UniProt] |
| Research Area | Cell Biology and Cellular Response antibody; Cell Death antibody |
| Calculated MW | 70 kDa |
Images (3) Click the Picture to Zoom In
-
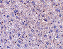
ARG54382 anti-F1A alpha antibody IHC-P image
Immunohistochemistry: mouse liver stained with ARG54382 anti-F1A alpha antibody at 20 μg/ml dilution.
-
ARG54382 anti-F1A alpha antibody WB image
Western Blot: A:mouse liver ; B: rat liver stained with ARG54382 anti-F1A alpha antibody at 1 μg/ml dilution.
-
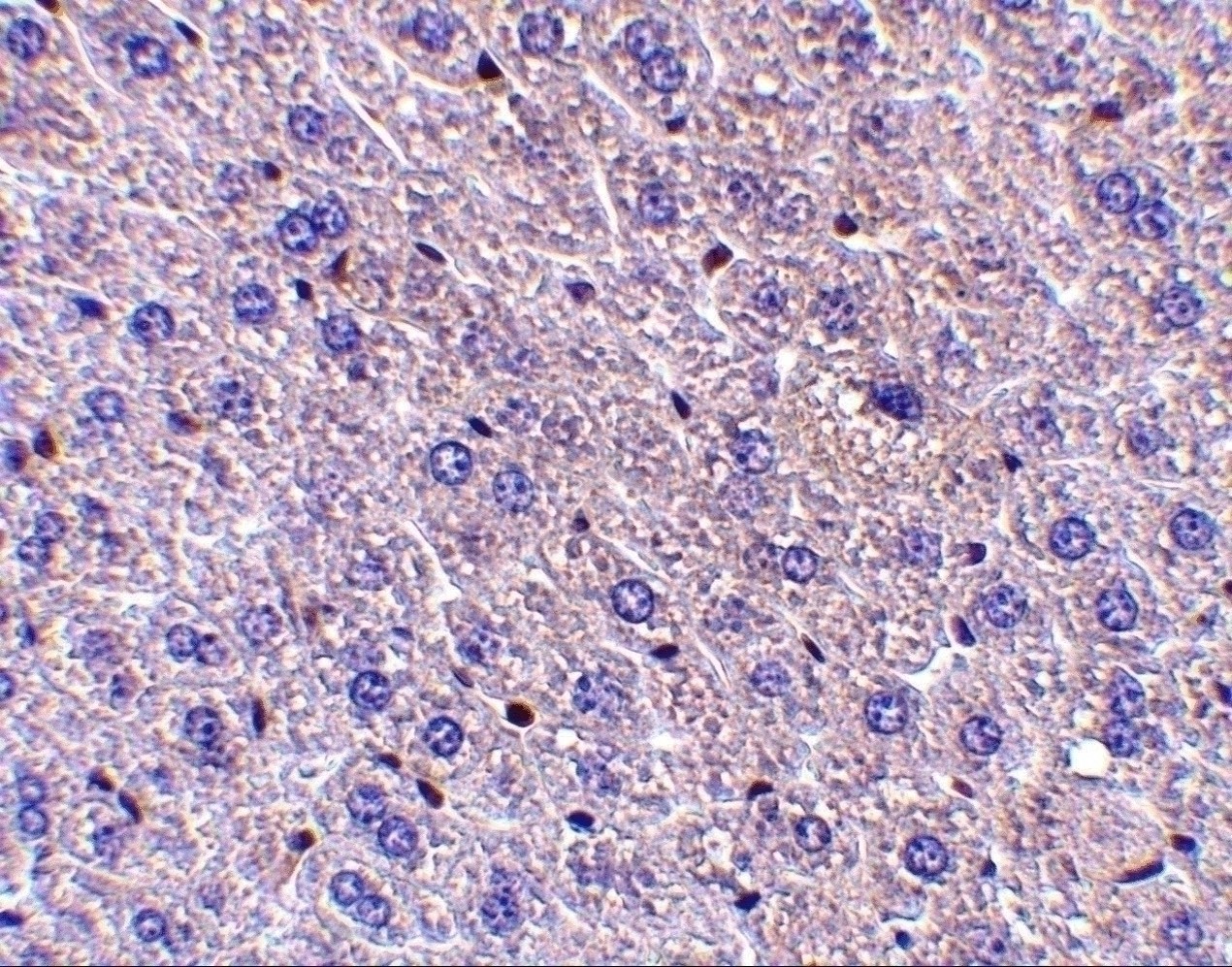
ARG54382 anti-F1A alpha antibody IHC-P image
Immunohistochemistry: mouse liver stained with ARG54382 anti-F1A alpha antibody at 5 μg/ml dilution.
