ARG58136
anti-F2R / PAR1 antibody
anti-F2R / PAR1 antibody for IHC-Formalin-fixed paraffin-embedded sections,Western blot and Human
Overview
| Product Description | Rabbit Polyclonal antibody recognizes F2R / PAR1 |
|---|---|
| Tested Reactivity | Hu |
| Tested Application | IHC-P, WB |
| Host | Rabbit |
| Clonality | Polyclonal |
| Isotype | IgG |
| Target Name | F2R / PAR1 |
| Antigen Species | Human |
| Immunogen | Synthetic peptide of Human F2R / PAR1. (RNPNDKYEPFWEDEEKNESGLTEYRLVSINKSSPLQK) |
| Conjugation | Un-conjugated |
| Alternate Names | CF2R; TR; Thrombin receptor; Proteinase-activated receptor 1; PAR1; Coagulation factor II receptor; PAR-1; HTR |
Application Instructions
| Application Suggestion |
|
||||||
|---|---|---|---|---|---|---|---|
| Application Note | IHC-P: Antigen Retrieval: Boil tissue section in 10mM Citrate buffer (pH 6.0) for 20 min followed by cooling at RT. * The dilutions indicate recommended starting dilutions and the optimal dilutions or concentrations should be determined by the scientist. |
Properties
| Form | Liquid |
|---|---|
| Purification | Affinity purification with immunogen. |
| Buffer | PBS, 0.025% Sodium azide and 2.5% BSA. |
| Preservative | 0.025% Sodium azide |
| Stabilizer | 2.5% BSA |
| Concentration | 0.5 mg/ml |
| Storage Instruction | For continuous use, store undiluted antibody at 2-8°C for up to a week. For long-term storage, aliquot and store at -20°C or below. Storage in frost free freezers is not recommended. Avoid repeated freeze/thaw cycles. Suggest spin the vial prior to opening. The antibody solution should be gently mixed before use. |
| Note | For laboratory research only, not for drug, diagnostic or other use. |
Bioinformation
| Database Links | |
|---|---|
| Gene Symbol | F2R |
| Gene Full Name | coagulation factor II (thrombin) receptor |
| Background | Coagulation factor II receptor is a 7-transmembrane receptor involved in the regulation of thrombotic response. Proteolytic cleavage leads to the activation of the receptor. F2R is a G-protein coupled receptor family member. Alternative splicing results in multiple transcript variants. [provided by RefSeq, Aug 2015] |
| Function | High affinity receptor for activated thrombin coupled to G proteins that stimulate phosphoinositide hydrolysis. May play a role in platelets activation and in vascular development. [UniProt] |
| Cellular Localization | Cytoplasmic. [UniProt] |
| Calculated MW | 47 kDa |
| PTM | A proteolytic cleavage generates a new N-terminus that functions as a tethered ligand. Phosphorylated in the C-terminal tail; probably mediating desensitization prior to the uncoupling and internalization of the receptor. [UniProt] |
Images (2) Click the Picture to Zoom In
-
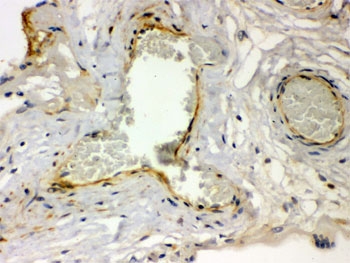
ARG58136 anti-F2R / PAR1 antibody IHC-P image
Immunohistochemistry: Formalin-fixed and paraffin-embedded Human placenta stained with ARG58136 anti-F2R / PAR1 antibody. Antigen Retrieval: Boil tissue section in 10mM Citrate buffer (pH 6.0) for 20 min followed by cooling at RT.
-
ARG58136 anti-F2R / PAR1 antibody WB image
Western blot: MCF7, HeLa, 22RV1 and SW620 cell lysates stained with ARG58136 anti-F2R / PAR1 antibody.
