ARG11025
anti-F2RL1 antibody
anti-F2RL1 antibody for IHC-Formalin-fixed paraffin-embedded sections and Mouse,Rat
Overview
| Product Description | Rabbit Polyclonal antibody recognizes F2RL1 |
|---|---|
| Tested Reactivity | Ms, Rat |
| Predict Reactivity | Hu, Chimp, Mk |
| Tested Application | IHC-P |
| Host | Rabbit |
| Clonality | Polyclonal |
| Isotype | IgG |
| Target Name | F2RL1 |
| Antigen Species | Mouse |
| Immunogen | Synthetic peptide around aa. 300-370 of Mouse F2RL1. |
| Conjugation | Un-conjugated |
| Alternate Names | F2RL1, F2R Like Trypsin Receptor 1, PAR2, GPR1, Coagulation Factor II (Thrombin) ReceptorLike 1, ProteinaseActivated Receptor 2, G Protein Coupled Receptor 11, Thrombin Receptor Like 1, Coagulation Factor II ReceptorLike 1, ProteinaseActivated Receptor 2, ProteaseActivated Receptor 2 |
Application Instructions
| Application Suggestion |
|
||||
|---|---|---|---|---|---|
| Application Note | * The dilutions indicate recommended starting dilutions and the optimal dilutions or concentrations should be determined by the scientist. |
Properties
| Form | Liquid |
|---|---|
| Purification | Affinity purification with immunogen. |
| Buffer | Tris, HCl/glycine buffer (pH 7.4 - 7.8), cryo-protective agents, Hepes, 0.02% Sodium azide, 30% Glycerol and 0.5% BSA. |
| Preservative | 0.02% Sodium azide |
| Stabilizer | 30% Glycerol and 0.5% BSA |
| Concentration | 0.62 mg/ml |
| Storage Instruction | For continuous use, store undiluted antibody at 2-8°C for up to a week. For long-term storage, aliquot and store at -20°C. Storage in frost free freezers is not recommended. Avoid repeated freeze/thaw cycles. Suggest spin the vial prior to opening. The antibody solution should be gently mixed before use. |
| Note | For laboratory research only, not for drug, diagnostic or other use. |
Bioinformation
| Database Links | |
|---|---|
| Gene Symbol | F2RL1 |
| Gene Full Name | coagulation factor II (thrombin) receptor-like 1 |
| Background | Coagulation factor II (thrombin) receptor-like 1 (F2RL1) is a member of the large family of 7-transmembrane-region receptors that couple to guanosine-nucleotide-binding proteins. F2RL1 is also a member of the protease-activated receptor family. It is activated by trypsin, but not by thrombin. It is activated by proteolytic cleavage of its extracellular amino terminus. The new amino terminus functions as a tethered ligand and activates the receptor. The F2RL1 gene contains two exons and is widely expressed in human tissues. The predicted protein sequence is 83% identical to the mouse receptor sequence. [provided by RefSeq, Jul 2008] |
| Function | Receptor for trypsin and trypsin-like enzymes coupled to G proteins. Its function is mediated through the activation of several signaling pathways including phospholipase C (PLC), intracellular calcium, mitogen-activated protein kinase (MAPK), I-kappaB kinase/NF-kappaB and Rho. Can also be transactivated by cleaved F2R/PAR1. Involved in modulation of inflammatory responses and regulation of innate and adaptive immunity, and acts as a sensor for proteolytic enzymes generated during infection. Generally is promoting inflammation. Can signal synergistically with TLR4 and probably TLR2 in inflammatory responses and modulates TLR3 signaling. Has a protective role in establishing the endothelial barrier; the activity involves coagulation factor X. Proposed to have a bronchoprotective role in airway epithelium, but also shown to compromise the airway epithelial barrier by interrupting E-cadherin adhesion. Involved in the regulation of vascular tone; activation results in hypotension presumably mediated by vasodilation. Associates with a subset of G proteins alpha subunits such as G alpha-q, G alpha-11, G alpha-14, G alpha-12 and G alpha-13, but probably not with G(o) alpha, G(i) subunit alpha-1 and G(i) subunit alpha-2. However, can signal through G(i) subunit alpha. Believed to be a class B receptor which internalizes as a complex with arrestin and traffic with it to endosomal vesicles, presumably as desensitized receptor, for extended periods of time. Mediates inhibition of TNF-alpha stimulated JNK phosphorylation via coupling to G alpha-q/11; the function involves dissociation of RIPK1 and TRADD from TNFR1. Mediates phosphorylation of nuclear factor NF-kappa-B RELA subunit at 'Ser-536'; the function involves IKBKB and is predominantly independent of G proteins. Involved in cellular migration. Involved in cytoskeletal rearrangement and chemotaxis through beta-arrestin-promoted scaffolds; the function is independent of G alpha-q/11 and involves promotion of cofilin dephosphoryltaion and actin filament severing. Induces redistribution of COPS5 from the plasma membrane to the cytosol and activation of the JNK cascade is mediated by COPS5. Involved in the recruitment of leukocytes to the sites of inflammation and is the major PAR receptor capable of modulating eosinophil function such as proinflammatory cytokine secretion, superoxide production and degranulation. During inflammation promotes dendritic cell maturation, trafficking to the lymph nodes and subsequent T-cell activation. Involved in antimicrobial response of innate immnune cells; activation enhances phagocytosis of Gram-positive and killing of Gram-negative bacteria. Acts synergistically with interferon-gamma in enhancing antiviral responses. Implicated in a number of acute and chronic inflammatory diseases such as of the joints, lungs, brain, gastrointestinal tract, periodontium, skin, and vascular systems, and in autoimmune disorders. [UniProt] |
| Calculated MW | 44 kDa |
| PTM | A proteolytic cleavage generates a new N-terminus that functions as a tethered ligand. Activating serine proteases include trypsin, mast cell tryptase, coagulation factors VII and Xa, myeloblastin/PRTN3 and membrane-type serine protease 1/ST14. Proposed subsequent cleaveage by serine proteases is leading to receptor deactivation and include neutrophil elastase and cathepsin G. At least in part, implicated proteases are also shown to activate the receptor; the glycosylation status of the receptor is thought to contribute to the difference. In addition to conventional trypsin-like proteases is proposed to be activated by other proteases and glycosidases derived from bacteria, fungi and insects: serine protease allergens such as dust mite Der p3 and Der p9 and mold Pen c13, Porphyromonas gingivalis arginine-specific (trypsin-like) cysteine proteinases called gingipains, Streptomyces griseus exogenous chitinase, and an Alternaria alternata aspartate protease. Cleavage by the Alternaria alternata aspartate protease generates non-conventional processed forms. N-glycosylated and sialylated. Multiple phosphorylated on serine and threonine residues in the cytoplasmic region upon receptor activation; required for receptor desensitization and recruitment of beta-arrestin. Monoubiquitinated by CBL at the plasma membrane and in early endosomes; not required for receptor endocytosis but for translocation to late endosomes or lysosomes. Deubiquitination involves STAMBP and USP8; required for lysosomal trafficking and receptor degradation. [UniProt] |
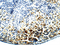
Images (2) Click the Picture to Zoom In
-
ARG11025 anti-F2RL1 antibody IHC-P image
Immunohistochemistry: Formalin-fixed and paraffin-embedded Rat spleen tissue stained with ARG11025 anti-F2RL1 antibody at 1:100 dilution. (5X magnification)
-
ARG11025 anti-F2RL1 antibody IHC-P image
Immunohistochemistry: Formalin-fixed and paraffin-embedded Rat spleen tissue stained with ARG11025 anti-F2RL1 antibody at 1:100 dilution. (40X magnification)
