ARG45482
anti-FAM40B antibody
anti-FAM40B antibody for Flow cytometry,IHC-Formalin-fixed paraffin-embedded sections,Western blot and Human,Mouse,Rat
Overview
| Product Description | Rabbit Polyclonal antibody recognizes FAM40B |
|---|---|
| Tested Reactivity | Hu, Ms, Rat |
| Tested Application | FACS, IHC-P, WB |
| Host | Rabbit |
| Clonality | Polyclonal |
| Isotype | IgG |
| Target Name | FAM40B |
| Antigen Species | Human |
| Immunogen | Recombinant protein containing to human FAM40B. |
| Conjugation | Un-conjugated |
| Alternate Names | STRIP2; Striatin Interacting Protein 2; KIAA1170; FAR11B; FAM40B; Family With Sequence Similarity 40, Member B; Striatin-Interacting Protein 2; Protein FAM40B; FAR11 Factor Arrest 11 Homolog B (Yeast); FAR11 Factor Arrest 11 Homolog B; Homolog Of Yeast FAR11 Protein 2 |
Application Instructions
| Application Suggestion |
|
||||||||
|---|---|---|---|---|---|---|---|---|---|
| Application Note | * The dilutions indicate recommended starting dilutions and the optimal dilutions or concentrations should be determined by the scientist. | ||||||||
| Observed Size | 100 kDa |
Properties
| Form | Liquid |
|---|---|
| Purification | Affinity purified |
| Buffer | 0.2% Na2HPO4, 0.9% NaCl and 4% Trehalose. |
| Stabilizer | 4% Trehalose |
| Concentration | 0.5 mg/ml |
| Storage Instruction | For continuous use, store undiluted antibody at 2-8°C for up to a week. For long-term storage, aliquot and store at -20°C or below. Storage in frost free freezers is not recommended. Avoid repeated freeze/thaw cycles. Suggest spin the vial prior to opening. The antibody solution should be gently mixed before use. |
| Note | For laboratory research only, not for drug, diagnostic or other use. |
Bioinformation
| Database Links | |
|---|---|
| Gene Symbol | STRIP2 |
| Gene Full Name | Striatin Interacting Protein 2 |
| Background | Involved in cell migration; cytoskeleton organization; and regulation of cell shape. Located in cytosol. Part of FAR/SIN/STRIPAK complex. [provided by Alliance of Genome Resources, Feb 2025] |
| Function | Plays a role in the regulation of cell morphology and cytoskeletal organization. Required in the control of cell shape [UniProt] |
| Cellular Localization | Cytoplasm. [UniProt] |
| Calculated MW | 95 kDa |
| PTM | Phosphoprotein. [UniProt] |
Images (6) Click the Picture to Zoom In
-
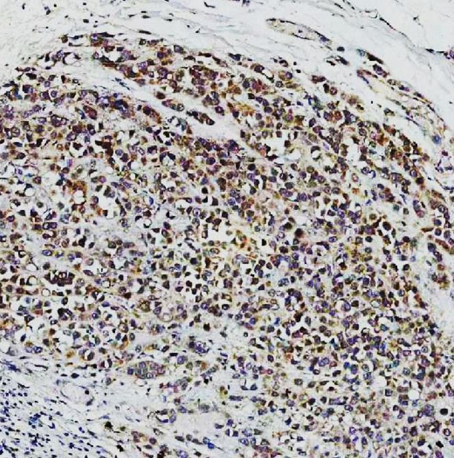
ARG45482 anti-FAM40B antibody IHC-P image
Immunohistochemistry: Human breast cancer stained with ARG45482 anti-FAM40B antibody at 2 μg/ml dilution.
-
ARG45482 anti-FAM40B antibody WB image
Western blot: K562 stained with ARG45482 anti-FAM40B antibody at 0.5 μg/ml dilution.
-
ARG45482 anti-FAM40B antibody FACS image
Flow Cytometry: U87 stained with ARG45482 anti-FAM40B antibody at 1 µg/10^6 cells dilution.
-
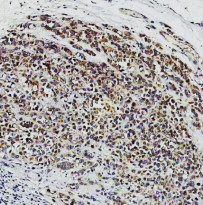
ARG45482 anti-FAM40B antibody IHC-P image
Immunohistochemistry: Rat cerebellum stained with ARG45482 anti-FAM40B antibody at 2 μg/ml dilution.
-
ARG45482 anti-FAM40B antibody WB image
Western blot: Rat testis stained with ARG45482 anti-FAM40B antibody at 0.5 μg/ml dilution.
-
ARG45482 anti-FAM40B antibody IHC-P image
Immunohistochemistry: Mouse cerebellum stained with ARG45482 anti-FAM40B antibody at 2 μg/ml dilution.
