ARG46155
anti-FAM59B antibody
anti-FAM59B antibody for Western blot,IHC-Formalin-fixed paraffin-embedded sections and Human,Mouse,Rat
Overview
| Product Description | Rabbit Polyclonal antibody recognizes FAM59B |
|---|---|
| Tested Reactivity | Hu, Ms, Rat |
| Tested Application | IHC-P, WB |
| Host | Rabbit |
| Clonality | Polyclonal |
| Isotype | IgG |
| Target Name | FAM59B |
| Antigen Species | Human |
| Immunogen | A 19 amino acid synthetic peptide within aa. 600 - 650 of human FAM59B. |
| Conjugation | Un-conjugated |
| Alternate Names | family with sequence similarity 59, member B; FAM59B; FAM59B; FAM59B; KIAA2038; HRIHFB2063; GRB2-associated and regulator of MAPK protein-like; GRB2-associated and regulator of MAPK1-like |
Application Instructions
| Application Suggestion |
|
||||||
|---|---|---|---|---|---|---|---|
| Application Note | * The dilutions indicate recommended starting dilutions and the optimal dilutions or concentrations should be determined by the scientist. |
Properties
| Form | Liquid |
|---|---|
| Purification | Affinity chromatography purified |
| Buffer | PBS and 0.02% Sodium azide. |
| Preservative | 0.02% Sodium azide |
| Concentration | 1 mg/ml |
| Storage Instruction | For continuous use, store undiluted antibody at 2-8°C for up to a week. For long-term storage, aliquot and store at -205°C or below. Storage in frost free freezers is not recommended. Avoid repeated freeze/thaw cycles. Suggest spin the vial prior to opening. The antibody solution should be gently mixed before use. |
| Note | For laboratory research only, not for drug, diagnostic or other use. |
Bioinformation
| Database Links |
Swiss-port # Q6PAJ3 Mouse GRB2-associated and regulator of MAPK protein-like Swiss-port # Q75VX8 Human GRB2-associated and regulator of MAPK protein-like |
|---|---|
| Gene Symbol | FAM59B |
| Gene Full Name | family with sequence similarity 59, member B |
| Background | Predicted to act upstream of or within several processes, including cognition; neuron projection extension; and social behavior. [provided by Alliance of Genome Resources, Jul 2025] |
| Function | Probable adapter protein that may provide a link between cell surface epidermal growth factor receptor and the MAPK/ERK signaling pathway. [UniProt] |
| Calculated MW | 93 kDa |
| PTM | Phosphoprotein. [UniProt] |
Images (3) Click the Picture to Zoom In
-
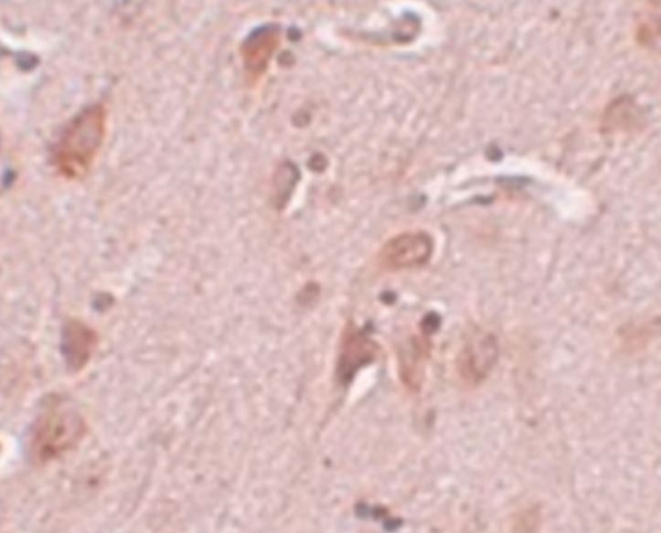
ARG46155 anti-FAM59B antibody IHC-P image
Immunohistochemistry: Human brain stained with ARG46155 anti-FAM59B antibody.
-
ARG46155 anti-FAM59B antibody ICC/IF image
Immunofluorescence: Human Brain stained with ARG46155 anti-FAM59B antibody.
-
ARG46155 anti-FAM59B antibody WB image
Western blot: SK-N-SH stained with ARG46155 anti-FAM59B antibody.
