ARG45274
anti-FATP3 antibody
anti-FATP3 antibody for IHC-Formalin-fixed paraffin-embedded sections,Western blot and Human,Mouse
Overview
| Product Description | Polyclonal antibody recognizes FATP3 |
|---|---|
| Tested Reactivity | Hu, Ms |
| Tested Application | IHC-P, WB |
| Host | Rabbit |
| Clonality | Polyclonal |
| Isotype | IgG |
| Target Name | FATP3 |
| Antigen Species | Human |
| Immunogen | Recombinant protein containing to human FATP3. |
| Conjugation | Un-conjugated |
| Alternate Names | SLC27A3; Solute Carrier Family 27 Member 3; ACSVL3; FATP3; Solute Carrier Family 27 (Fatty Acid Transporter), Member 3; Very Long-Chain Acyl-CoA Synthetase Homolog 3; Long-Chain Fatty Acid Transport Protein 3; Long-Chain-Fatty-Acid--CoA Ligase; Arachidonate--CoA Ligase; MGC4365; VLCS-3; Fatty Acid Transport Protein 3; EC 6.2.1.15; EC 6.2.1.3; EC 6.2.1.-; EC 6.2.1.7 47; EC 6.2.1 47; FATP-3 |
Application Instructions
| Application Suggestion |
|
||||||
|---|---|---|---|---|---|---|---|
| Application Note | * The dilutions indicate recommended starting dilutions and the optimal dilutions or concentrations should be determined by the scientist. | ||||||
| Observed Size | 70-79 kDa |
Properties
| Form | Liquid |
|---|---|
| Purification | Affinity purification with immunogen. |
| Buffer | 0.2% Na2HPO4, 0.9% NaCl and 4% Trehalose. |
| Stabilizer | 4% Trehalose |
| Concentration | 0.5 mg/ml |
| Storage Instruction | For continuous use, store undiluted antibody at 2-8°C for up to a week. For long-term storage, aliquot and store at -20°C or below. Storage in frost free freezers is not recommended. Avoid repeated freeze/thaw cycles. Suggest spin the vial prior to opening. The antibody solution should be gently mixed before use. |
| Note | For laboratory research only, not for drug, diagnostic or other use. |
Bioinformation
| Database Links |
Swiss-port # O88561 Mouse Long-chain fatty acid transport protein 3 Swiss-port # Q5K4L6 Human Long-chain fatty acid transport protein 3 |
|---|---|
| Gene Symbol | SLC27A3 |
| Gene Full Name | Solute Carrier Family 27 Member 3 |
| Background | This gene belongs to a family of integral membrane proteins and encodes a protein that is involved in lipid metabolism. The increased expression of this gene in human neural stem cells derived from induced pluripotent stem cells suggests that it plays an important role in early brain development. Naturally occurring mutations in this gene are associated with autism spectrum disorders. Alternative splicing results in multiple transcript variants. [provided by RefSeq, Feb 2017] |
| Function | Mainly functions as an acyl-CoA ligase catalyzing the ATP-dependent formation of fatty acyl-CoA using LCFA and very-long-chain fatty acids (VLCFA) as substrates. [UniProt] |
| Cellular Localization | Mitochondrion inner membrane [UniProt] |
| Calculated MW | 74 kDa |
Images (3) Click the Picture to Zoom In
-
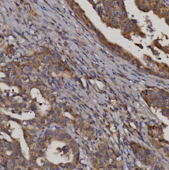
ARG45274 anti-FATP3 antibody IHC-P image
Immunohistochemistry: Human colorectal adenocarcinoma stained with ARG45274 anti-FATP3 antibody at 2 μg/ml dilution.
-
ARG45274 anti-FATP3 antibody WB image
Western blot: MCF-7 and Hacat stained with ARG45274 anti-FATP3 antibody at 0.5 μg/ml dilution.
-
ARG45274 anti-FATP3 antibody WB image
Western blot: NIH/3T3 stained with ARG45274 anti-FATP3 antibody at 0.5 μg/ml dilution.
