ARG63576
anti-FBL2 / FBXL2 antibody
anti-FBL2 / FBXL2 antibody for IHC-Formalin-fixed paraffin-embedded sections,Western blot and Human,Rat
Gene Regulation antibody
Overview
| Product Description | Goat Polyclonal antibody recognizes FBL2 / FBXL2 |
|---|---|
| Tested Reactivity | Hu, Rat |
| Predict Reactivity | Cow, Dog |
| Tested Application | IHC-P, WB |
| Host | Goat |
| Clonality | Polyclonal |
| Isotype | IgG |
| Target Name | FBL2 / FBXL2 |
| Antigen Species | Human |
| Immunogen | VFSNNDEGLINKK-C |
| Conjugation | Un-conjugated |
| Alternate Names | F-box and leucine-rich repeat protein 2; FBL2; FBL3; F-box/LRR-repeat protein 2; F-box protein FBL2/FBL3 |
Application Instructions
| Application Suggestion |
|
||||||
|---|---|---|---|---|---|---|---|
| Application Note | IHC-P: Antigen Retrieval: Steam tissue section in Citrate buffer (pH 6.0). WB: Recommend incubate at RT for 1h. * The dilutions indicate recommended starting dilutions and the optimal dilutions or concentrations should be determined by the scientist. |
Properties
| Form | Liquid |
|---|---|
| Purification | Purified from goat serum by antigen affinity chromatography. |
| Buffer | Tris saline (pH 7.3), 0.02% Sodium azide and 0.5% BSA. |
| Preservative | 0.02% Sodium azide |
| Stabilizer | 0.5% BSA |
| Concentration | 0.5 mg/ml |
| Storage Instruction | For continuous use, store undiluted antibody at 2-8°C for up to a week. For long-term storage, aliquot and store at -20°C or below. Storage in frost free freezers is not recommended. Avoid repeated freeze/thaw cycles. Suggest spin the vial prior to opening. The antibody solution should be gently mixed before use. |
| Note | For laboratory research only, not for drug, diagnostic or other use. |
Bioinformation
| Database Links | |
|---|---|
| Background | This gene encodes a member of the F-box protein family which is characterized by an approximately 40 amino acid motif, the F-box. The F-box proteins constitute one of the four subunits of ubiquitin protein ligase complex called SCFs (SKP1-cullin-F-box), which function in phosphorylation-dependent ubiquitination. The F-box proteins are divided into 3 classes: Fbws containing WD-40 domains, Fbls containing leucine-rich repeats, and Fbxs containing either different protein-protein interaction modules or no recognizable motifs. The protein encoded by this gene belongs to the Fbls class and, in addition to an F-box, contains 12 tandem leucine-rich repeats. Alternatively spliced transcript variants encoding different isoforms have been found for this gene. [provided by RefSeq, Jan 2010] |
| Research Area | Gene Regulation antibody |
| Calculated MW | 47 kDa |
Images (3) Click the Picture to Zoom In
-
ARG63576 anti-FBL2 / FBXL2 antibody WB image
Western Blot: Human Brain lysates (RIPA buffer, 35 µg total protein per lane) stained with ARG63576 anti-FBL2 / FBXL2 antibody at 0.3 µg/ml dilution.
-
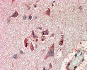
ARG63576 anti-FBL2 / FBXL2 antibody IHC-P image
Immunohistochemistry: paraffin embedded Human Cerebral Cortex. (Steamed antigen retrieval with citrate buffer pH 6) stained with ARG63576 anti-FBL2 / FBXL2 antibody at 10 µg/ml dilution followed by AP-staining.
-
ARG63576 anti-FBL2 / FBXL2 antibody WB image
Western blot: 35 µg of Human frontal cortex (A) and Rat brain (B) lysates (in RIPA buffer) stained with ARG63576 anti-FBL2 / FBXL2 antibody at 0.3 µg/ml dilution and incubated at RT for 1 hour.
