ARG59211
anti-FGF19 antibody
anti-FGF19 antibody for IHC-Formalin-fixed paraffin-embedded sections,Western blot and Human
Overview
| Product Description | Rabbit Polyclonal antibody recognizes FGF19 |
|---|---|
| Tested Reactivity | Hu |
| Predict Reactivity | Mk |
| Tested Application | IHC-P, WB |
| Host | Rabbit |
| Clonality | Polyclonal |
| Isotype | IgG |
| Target Name | FGF19 |
| Antigen Species | Human |
| Immunogen | Synthetic peptide corresponding to aa. 124-140 of Human FGF19. (EEIRPDGYNVYRSEKHR) |
| Conjugation | Un-conjugated |
| Alternate Names | Fibroblast growth factor 19; FGF-19 |
Application Instructions
| Application Suggestion |
|
||||||
|---|---|---|---|---|---|---|---|
| Application Note | IHC-P: Antigen Retrieval: By heat mediation. * The dilutions indicate recommended starting dilutions and the optimal dilutions or concentrations should be determined by the scientist. |
Properties
| Form | Liquid |
|---|---|
| Purification | Affinity purification with immunogen. |
| Buffer | 0.9% NaCl, 0.2% Na2HPO4, 0.05% Thimerosal, 0.05% Sodium azide and 5% BSA. |
| Preservative | 0.05% Thimerosal and 0.05% Sodium azide |
| Stabilizer | 5% BSA |
| Concentration | 0.5 mg/ml |
| Storage Instruction | For continuous use, store undiluted antibody at 2-8°C for up to a week. For long-term storage, aliquot and store at -20°C or below. Storage in frost free freezers is not recommended. Avoid repeated freeze/thaw cycles. Suggest spin the vial prior to opening. The antibody solution should be gently mixed before use. |
| Note | For laboratory research only, not for drug, diagnostic or other use. |
Bioinformation
| Database Links | |
|---|---|
| Gene Symbol | FGF19 |
| Gene Full Name | fibroblast growth factor 19 |
| Background | The protein encoded by this gene is a member of the fibroblast growth factor (FGF) family. FGF family members possess broad mitogenic and cell survival activities, and are involved in a variety of biological processes including embryonic development cell growth, morphogenesis, tissue repair, tumor growth and invasion. This growth factor is a high affinity, heparin dependent ligand for FGFR4. Expression of this gene was detected only in fetal but not adult brain tissue. Synergistic interaction of the chick homolog and Wnt-8c has been shown to be required for initiation of inner ear development. [provided by RefSeq, Jul 2008] |
| Function | Involved in the suppression of bile acid biosynthesis through down-regulation of CYP7A1 expression, following positive regulation of the JNK and ERK1/2 cascades. Stimulates glucose uptake in adipocytes. Activity requires the presence of KLB and FGFR4. [UniProt] |
| Cellular Localization | Secreted. [UniProt] |
| Calculated MW | 24 kDa |
Images (2) Click the Picture to Zoom In
-
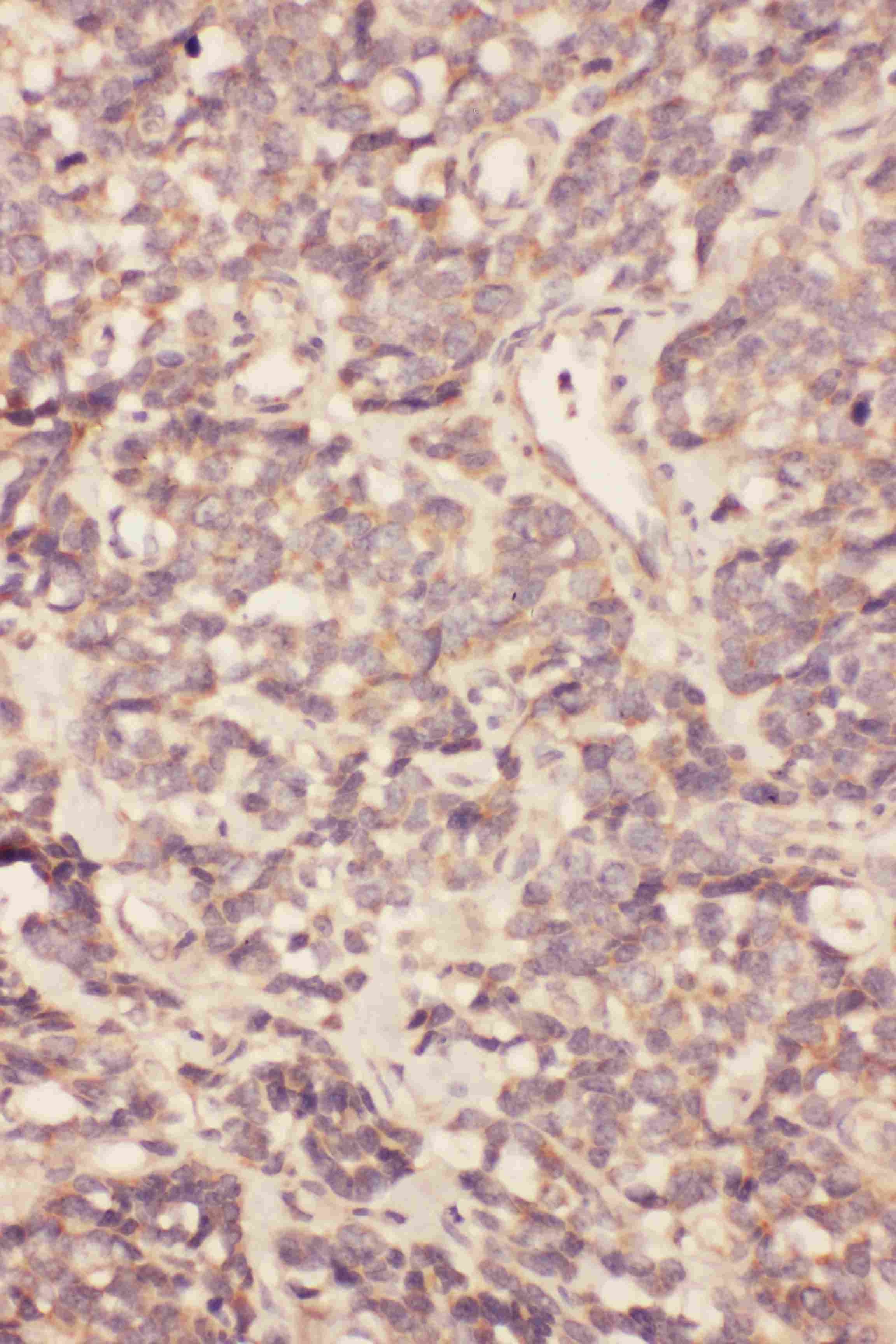
ARG59211 anti-FGF19 antibody IHC-P image
Immunohistochemistry: Paraffin-embedded Human gallbladder cancer stained with ARG59211 anti-FGF19 antibody.
-
ARG59211 anti-FGF19 antibody WB image
Western blot: 40 µg of U87 and SMMC-7721 whole cell lysates stained with ARG59211 anti-FGF19 antibody at 0.5 µg/ml dilution.
