ARG66023
anti-FGF9 antibody
anti-FGF9 antibody for ELISA,Neutralizing,Western blot and Mouse
Overview
| Product Description | Rabbit Polyclonal antibody recognizes FGF9 |
|---|---|
| Tested Reactivity | Ms |
| Tested Application | ELISA, Neut, WB |
| Host | Rabbit |
| Clonality | Polyclonal |
| Isotype | IgG |
| Target Name | FGF9 |
| Antigen Species | Mouse |
| Immunogen | E. coli derived recombinant Mouse FGF9. (PLGEVGSYFG VQDAVPFGNV PVLPVDSPVL LNDHLGQSEA GGLPRGPAVT DLDHLKGILR RRQLYCRTGF HLEIFPNGTI QGTRKDHSRF GILEFISIAV GLVSIRGVDS GLYLGMNEKG ELYGSEKLTQ ECVFREQFEE NWYNTYSSNL YKHVDTGRRY YVALNKDGTP REGTRTKRHQ KFTHFLPRPV DPDKVPELYK DILSQS) |
| Conjugation | Un-conjugated |
| Alternate Names | Fibroblast growth factor 9; Glia-activating factor; FGF-9; HBFG-9; HBGF-9; GAF; Heparin-binding growth factor 9; SYNS3 |
Application Instructions
| Application Suggestion |
|
||||||||
|---|---|---|---|---|---|---|---|---|---|
| Application Note | * The dilutions indicate recommended starting dilutions and the optimal dilutions or concentrations should be determined by the scientist. |
Properties
| Form | Liquid |
|---|---|
| Purification | Affinity purification with immunogen. |
| Buffer | PBS (pH 7.2) |
| Concentration | 1 mg/ml |
| Storage Instruction | For continuous use, store undiluted antibody at 2-8°C for up to a week. For long-term storage, aliquot and store at -20°C or below. Storage in frost free freezers is not recommended. Avoid repeated freeze/thaw cycles. Suggest spin the vial prior to opening. The antibody solution should be gently mixed before use. |
| Note | For laboratory research only, not for drug, diagnostic or other use. |
Bioinformation
| Database Links | |
|---|---|
| Gene Symbol | Fgf9 |
| Gene Full Name | fibroblast growth factor 9 |
| Background | The protein encoded by this gene is a member of the fibroblast growth factor (FGF) family. FGF family members possess broad mitogenic and cell survival activities, and are involved in a variety of biological processes, including embryonic development, cell growth, morphogenesis, tissue repair, tumor growth and invasion. This protein was isolated as a secreted factor that exhibits a growth-stimulating effect on cultured glial cells. In nervous system, this protein is produced mainly by neurons and may be important for glial cell development. Expression of the mouse homolog of this gene was found to be dependent on Sonic hedgehog (Shh) signaling. Mice lacking the homolog gene displayed a male-to-female sex reversal phenotype, which suggested a role in testicular embryogenesis. [provided by RefSeq, Jul 2008] |
| Function | Plays an important role in the regulation of embryonic development, cell proliferation, cell differentiation and cell migration. May have a role in glial cell growth and differentiation during development, gliosis during repair and regeneration of brain tissue after damage, differentiation and survival of neuronal cells, and growth stimulation of glial tumors. [UniProt] |
| Calculated MW | 23 kDa |
| PTM | Three molecular species were found (30 kDa, 29 kDa and 25 kDa), cleaved at Leu-4, Val-13 and Ser-34 respectively. The smaller ones might be products of proteolytic digestion. Furthermore, there may be a functional signal sequence in the 30 kDa species which is uncleavable in the secretion step. N-glycosylated. |
Images (3) Click the Picture to Zoom In
-
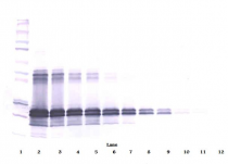
ARG66023 anti-FGF9 antibody WB image
Western blot: 250 - 0.24 ng of Mouse FGF-9 stained with ARG66023 anti-FGF9 antibody, under non-reducing conditions.
-
ARG66023 anti-FGF9 antibody standard curve image
Sandwich ELISA: ARG66023 anti-FGF9 antibody as a capture antibody at 0.5 - 2.0 µg/ml combined with ARG66024 anti-FGF9 antibody (Biotin) as a detection antibody. Results of a typical standard run with optical density reading at 405 - 650 nm.
-
ARG66023 anti-FGF9 antibody WB image
Western blot: 250 - 0.24 ng of Mouse FGF-9 stained with ARG66023 anti-FGF9 antibody, under reducing conditions.
