ARG66171
anti-FH / Fumarase antibody
anti-FH / Fumarase antibody for IHC-Formalin-fixed paraffin-embedded sections,Western blot and Human,Mouse,Rat
Overview
| Product Description | Mouse Monoclonal antibody recognizes FH / Fumarase |
|---|---|
| Tested Reactivity | Hu, Ms, Rat |
| Tested Application | IHC-P, WB |
| Specificity | The antibody detects endogenous FH proteins. |
| Host | Mouse |
| Clonality | Monoclonal |
| Isotype | IgG |
| Target Name | FH / Fumarase |
| Antigen Species | Human |
| Immunogen | Synthetic peptide of Human FH / Fumarase. |
| Conjugation | Un-conjugated |
| Alternate Names | MCUL1; MCL; LRCC; EC 4.2.1.2; Fumarate hydratase, mitochondrial; FMRD; Fumarase; HLRCC |
Application Instructions
| Application Suggestion |
|
||||||
|---|---|---|---|---|---|---|---|
| Application Note | IHC-P: Antigen Retrieval: Boil tissue section in Sodium citrate buffer (pH 6.0) for 20 min. * The dilutions indicate recommended starting dilutions and the optimal dilutions or concentrations should be determined by the scientist. |
Properties
| Form | Liquid |
|---|---|
| Purification | Affinity purification with immunogen. |
| Buffer | PBS (pH 7.4), 0.02% Sodium azide and 50% Glycerol. |
| Preservative | 0.02% Sodium azide |
| Stabilizer | 50% Glycerol |
| Concentration | 1 mg/ml |
| Storage Instruction | For continuous use, store undiluted antibody at 2-8°C for up to a week. For long-term storage, aliquot and store at -20°C. Storage in frost free freezers is not recommended. Avoid repeated freeze/thaw cycles. Suggest spin the vial prior to opening. The antibody solution should be gently mixed before use. |
| Note | For laboratory research only, not for drug, diagnostic or other use. |
Bioinformation
| Database Links | |
|---|---|
| Gene Symbol | FH |
| Gene Full Name | fumarate hydratase |
| Background | The protein encoded by this gene is an enzymatic component of the tricarboxylic acid (TCA) cycle, or Krebs cycle, and catalyzes the formation of L-malate from fumarate. It exists in both a cytosolic form and an N-terminal extended form, differing only in the translation start site used. The N-terminal extended form is targeted to the mitochondrion, where the removal of the extension generates the same form as in the cytoplasm. It is similar to some thermostable class II fumarases and functions as a homotetramer. Mutations in this gene can cause fumarase deficiency and lead to progressive encephalopathy. [provided by RefSeq, Jul 2008] |
| Function | Also acts as a tumor suppressor. [UniProt] |
| Highlight | Related products: Fumarase antibodies; Fumarase ELISA Kits; Anti-Mouse IgG secondary antibodies; Related news: TCA intermediate fumarate promotes mitobiogenesis |
| Calculated MW | 55 kDa |
Images (24) Click the Picture to Zoom In
-
ARG66171 anti-FH / Fumarase antibody IHC-P image
Immunohistochemistry: Paraffin-embedded Human uterus tissue stained with ARG66171 anti-FH / Fumarase antibody at 1:200 dilution (4°C, overnight). Antigen Retrieval: Boil tissue section in Sodium citrate buffer (pH 6.0) for 20 min.
Negative control was used by secondary antibody only.
-
ARG66171 anti-FH / Fumarase antibody WB image
Western blot: 1) 293T, 2) HepG2, and 3) HeLa cell lysates stained with ARG66171 anti-FH / Fumarase antibody at 1:3000 dilution.
-
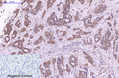
ARG66171 anti-FH / Fumarase antibody IHC-P image
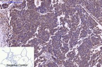
Immunohistochemistry: Paraffin-embedded Human uterus cancer tissue stained with ARG66171 anti-FH / Fumarase antibody at 1:200 dilution (4°C, overnight). Antigen Retrieval: Boil tissue section in Sodium citrate buffer (pH 6.0) for 20 min.
Negative control was used by secondary antibody only.
-
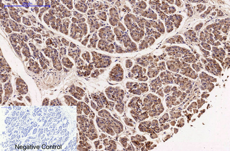
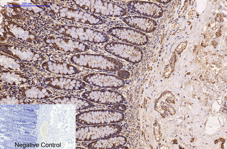
ARG66171 anti-FH / Fumarase antibody IHC-P image
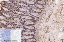
Immunohistochemistry: Paraffin-embedded Human colon cancer tissue stained with ARG66171 anti-FH / Fumarase antibody at 1:200 dilution (4°C, overnight). Antigen Retrieval: Boil tissue section in Sodium citrate buffer (pH 6.0) for 20 min.
Negative control was used by secondary antibody only.
-
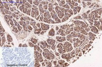
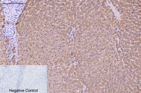
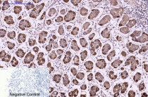
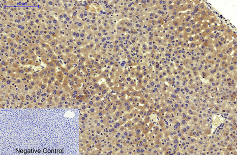
ARG66171 anti-FH / Fumarase antibody IHC-P image
Immunohistochemistry: Paraffin-embedded Human liver tissue stained with ARG66171 anti-FH / Fumarase antibody at 1:200 dilution (4°C, overnight). Antigen Retrieval: Boil tissue section in Sodium citrate buffer (pH 6.0) for 20 min.
Negative control was used by secondary antibody only.
-
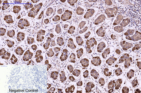
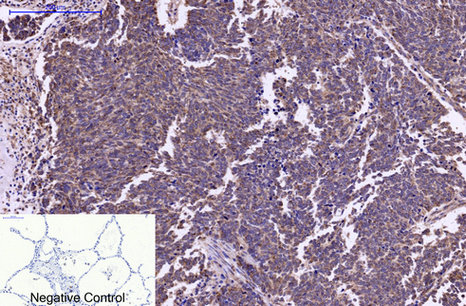
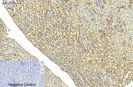
ARG66171 anti-FH / Fumarase antibody IHC-P image
Immunohistochemistry: Paraffin-embedded Human liver cancer tissue stained with ARG66171 anti-FH / Fumarase antibody at 1:200 dilution (4°C, overnight). Antigen Retrieval: Boil tissue section in Sodium citrate buffer (pH 6.0) for 20 min.
Negative control was used by secondary antibody only.
-
ARG66171 anti-FH / Fumarase antibody IHC-P image
Immunohistochemistry: Paraffin-embedded Human lung tissue stained with ARG66171 anti-FH / Fumarase antibody at 1:200 dilution (4°C, overnight). Antigen Retrieval: Boil tissue section in Sodium citrate buffer (pH 6.0) for 20 min.
Negative control was used by secondary antibody only.
-
ARG66171 anti-FH / Fumarase antibody IHC-P image
Immunohistochemistry: Paraffin-embedded Human stomach tissue stained with ARG66171 anti-FH / Fumarase antibody at 1:200 dilution (4°C, overnight). Antigen Retrieval: Boil tissue section in Sodium citrate buffer (pH 6.0) for 20 min.
Negative control was used by secondary antibody only.
-
ARG66171 anti-FH / Fumarase antibody IHC-P image
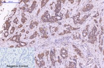
Immunohistochemistry: Paraffin-embedded Human stomach cancer tissue stained with ARG66171 anti-FH / Fumarase antibody at 1:200 dilution (4°C, overnight). Antigen Retrieval: Boil tissue section in Sodium citrate buffer (pH 6.0) for 20 min.
Negative control was used by secondary antibody only.
-
ARG66171 anti-FH / Fumarase antibody IHC-P image
Immunohistochemistry: Paraffin-embedded Rat heart tissue stained with ARG66171 anti-FH / Fumarase antibody at 1:200 dilution (4°C, overnight). Antigen Retrieval: Boil tissue section in Sodium citrate buffer (pH 6.0) for 20 min.
Negative control was used by secondary antibody only.
-
ARG66171 anti-FH / Fumarase antibody IHC-P image
Immunohistochemistry: Paraffin-embedded Rat lung tissue stained with ARG66171 anti-FH / Fumarase antibody at 1:200 dilution (4°C, overnight). Antigen Retrieval: Boil tissue section in Sodium citrate buffer (pH 6.0) for 20 min.
Negative control was used by secondary antibody only.
-
ARG66171 anti-FH / Fumarase antibody IHC-P image
Immunohistochemistry: Paraffin-embedded Rat kidney tissue stained with ARG66171 anti-FH / Fumarase antibody at 1:200 dilution (4°C, overnight). Antigen Retrieval: Boil tissue section in Sodium citrate buffer (pH 6.0) for 20 min.
Negative control was used by secondary antibody only.
-
ARG66171 anti-FH / Fumarase antibody IHC-P image
Immunohistochemistry: Paraffin-embedded Rat spleen tissue stained with ARG66171 anti-FH / Fumarase antibody at 1:200 dilution (4°C, overnight). Antigen Retrieval: Boil tissue section in Sodium citrate buffer (pH 6.0) for 20 min.
Negative control was used by secondary antibody only.
-
ARG66171 anti-FH / Fumarase antibody IHC-P image
Immunohistochemistry: Paraffin-embedded Mouse heart tissue stained with ARG66171 anti-FH / Fumarase antibody at 1:200 dilution (4°C, overnight). Antigen Retrieval: Boil tissue section in Sodium citrate buffer (pH 6.0) for 20 min.
Negative control was used by secondary antibody only.
-
ARG66171 anti-FH / Fumarase antibody IHC-P image
Immunohistochemistry: Paraffin-embedded Mouse liver tissue stained with ARG66171 anti-FH / Fumarase antibody at 1:200 dilution (4°C, overnight). Antigen Retrieval: Boil tissue section in Sodium citrate buffer (pH 6.0) for 20 min.
Negative control was used by secondary antibody only.
-
ARG66171 anti-FH / Fumarase antibody IHC-P image
Immunohistochemistry: Paraffin-embedded Mouse kidney tissue stained with ARG66171 anti-FH / Fumarase antibody at 1:200 dilution (4°C, overnight). Antigen Retrieval: Boil tissue section in Sodium citrate buffer (pH 6.0) for 20 min.
Negative control was used by secondary antibody only.
-
ARG66171 anti-FH / Fumarase antibody IHC-P image
Immunohistochemistry: Paraffin-embedded Mouse spleen tissue stained with ARG66171 anti-FH / Fumarase antibody at 1:200 dilution (4°C, overnight). Antigen Retrieval: Boil tissue section in Sodium citrate buffer (pH 6.0) for 20 min.
Negative control was used by secondary antibody only.
-
ARG66171 anti-FH / Fumarase antibody IHC-P image
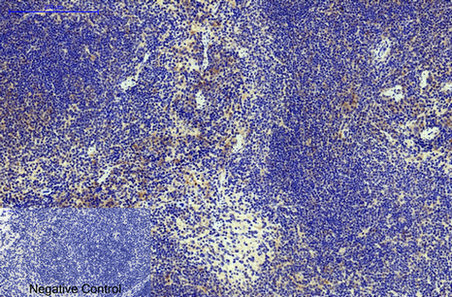
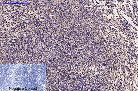
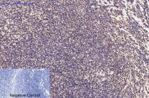
Immunohistochemistry: Paraffin-embedded Human Tonsil tissue stained with ARG66171 anti-FH / Fumarase antibody at 1:200 dilution (4°C, overnight). Antigen Retrieval: Boil tissue section in Sodium citrate buffer (pH 6.0) for 20 min.
Negative control was used by secondary antibody only.
-
ARG66171 anti-FH / Fumarase antibody IHC image
Immunohistochemistry: Human liver cancer tissue stained with ARG66171 anti-FH / Fumarase antibody (red) at 1:200 dilution (4°C, overnight).
Picture A: Target. Picture B: DAPI. Picture C: merge of A+B.
-
ARG66171 anti-FH / Fumarase antibody IHC image
Immunohistochemistry: Human liver cancer tissue stained with ARG66171 anti-FH / Fumarase antibody (red) at 1:200 dilution (4°C, overnight).
Picture A: Target. Picture B: DAPI. Picture C: merge of A+B.
-
ARG66171 anti-FH / Fumarase antibody IHC image
Immunohistochemistry: Human lung cancer tissue stained with ARG66171 anti-FH / Fumarase antibody (red) at 1:200 dilution (4°C, overnight).
Picture A: Target. Picture B: DAPI. Picture C: merge of A+B.
-
ARG66171 anti-FH / Fumarase antibody IHC image
Immunohistochemistry: Human lung cancer tissue stained with ARG66171 anti-FH / Fumarase antibody (red) at 1:200 dilution (4°C, overnight).
Picture A: Target. Picture B: DAPI. Picture C: merge of A+B.
-
ARG66171 anti-FH / Fumarase antibody IHC image
Immunohistochemistry: Mouse testis tissue stained with ARG66171 anti-FH / Fumarase antibody (red) at 1:200 dilution (4°C, overnight).
Picture A: Target. Picture B: DAPI. Picture C: merge of A+B.
-
ARG66171 anti-FH / Fumarase antibody IHC image
Immunohistochemistry: Mouse testis tissue stained with ARG66171 anti-FH / Fumarase antibody (red) at 1:200 dilution (4°C, overnight).
Picture A: Target. Picture B: DAPI. Picture C: merge of A+B.
