ARG44559
anti-FIS1 / TTC11 antibody
anti-FIS1 / TTC11 antibody for ICC/IF,IHC-Formalin-fixed paraffin-embedded sections,Western blot and Human,Rat
Overview
| Product Description | Rabbit Polyclonal antibody recognizes FIS1 / TTC11 |
|---|---|
| Tested Reactivity | Hu, Rat |
| Tested Application | ICC/IF, IHC-P, WB |
| Host | Rabbit |
| Clonality | Polyclonal |
| Isotype | IgG |
| Target Name | FIS1 / TTC11 |
| Antigen Species | Human |
| Immunogen | Recombinant Human FIS1 / TTC11 purified from E. coli. |
| Conjugation | Un-conjugated |
| Alternate Names | FIS1; Fission, Mitochondrial 1; H_NH0132A01.6; CGI-135; TTC11; Tetratricopeptide Repeat Protein 11; Tetratricopeptide Repeat Domain 11; Mitochondrial Fission 1 Protein; Mitochondrial Fission Molecule; TPR Repeat Protein 11; FIS1 Homolog; HFis1; Fission 1 (Mitochondrial Outer Membrane) Homolog (S. Cerevisiae); Fission 1 (Mitochondrial Outer Membrane) Homolog (Yeast); Fission 1 (Mitochondrial Outer Membrane) Homolog; CGI-135 Protein |
Application Instructions
| Application Suggestion |
|
||||||||
|---|---|---|---|---|---|---|---|---|---|
| Application Note | * The dilutions indicate recommended starting dilutions and the optimal dilutions or concentrations should be determined by the scientist. |
Properties
| Form | Liquid |
|---|---|
| Purification | Affinity purification with immunogen. |
| Buffer | 0.2% Na2HPO4, 0.9% NaCl and 4% Trehalose. |
| Stabilizer | 4% Trehalose |
| Concentration | 0.5 mg/ml |
| Storage Instruction | For continuous use, store undiluted antibody at 2-8°C for up to a week. For long-term storage, aliquot and store at -20°C or below. Storage in frost free freezers is not recommended. Avoid repeated freeze/thaw cycles. Suggest spin the vial prior to opening. The antibody solution should be gently mixed before use. |
| Note | For laboratory research only, not for drug, diagnostic or other use. |
Bioinformation
| Database Links | |
|---|---|
| Gene Symbol | FIS1 |
| Gene Full Name | Fission, Mitochondrial 1 |
| Background | Enables identical protein binding activity. Involved in several processes, including calcium-mediated signaling using intracellular calcium source; cellular calcium ion homeostasis; and mitochondrion organization. Acts upstream of or within mitochondrion morphogenesis. Located in mitochondrion and peroxisome. Is integral component of mitochondrial outer membrane and integral component of peroxisomal membrane. Part of protein-containing complex. Biomarker of Alzheimer's disease. [provided by Alliance of Genome Resources, Apr 2022] |
| Function | Involved in the fragmentation of the mitochondrial network and its perinuclear clustering. [UniProt] |
| Cellular Localization | Membrane, Mitochondrion, Mitochondrion outer membrane, Peroxisome. [UniProt] |
| Calculated MW | 17 kDa |
| PTM | Acetylation, Phosphoprotein, bl conjugation. [UniProt] |
Images (4) Click the Picture to Zoom In
-
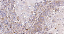
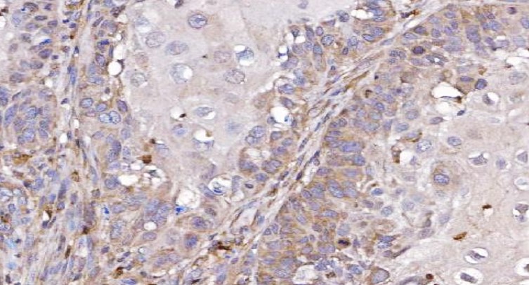
ARG44559 anti-FIS1 / TTC11 antibody IHC-P image
Immunohistochemistry: Human laryngeal squamous cell carcinomas stained with ARG44559 anti-FIS1 / TTC11 antibody at 2 μg/ml dilution.
-
ARG44559 anti-FIS1 / TTC11 antibody ICC/IF image
Immunofluorescence: MCF-7 stained with ARG44559 anti-FIS1 / TTC11 antibody at 5 μg/mL dilution.
-
ARG44559 anti-FIS1 / TTC11 antibody WB image
Western blot: HeLa and U87 stained with ARG44559 anti-FIS1 / TTC11 antibody at 0.5 μg/ml dilution.
-
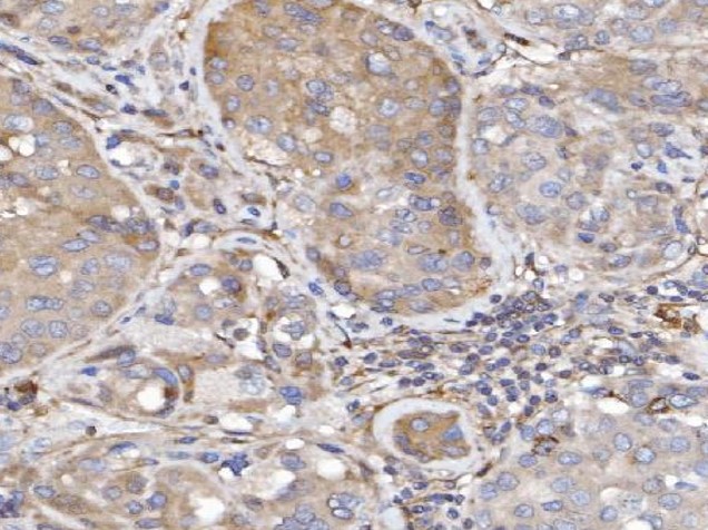
ARG44559 anti-FIS1 / TTC11 antibody IHC-P image
Immunohistochemistry: Human liver cancer stained with ARG44559 anti-FIS1 / TTC11 antibody at 2 μg/ml dilution.
