ARG66496
anti-FLI1 antibody
anti-FLI1 antibody for IHC-Formalin-fixed paraffin-embedded sections,Western blot and Human
Overview
| Product Description | Mouse Monoclonal antibody recognizes FLI1 |
|---|---|
| Tested Reactivity | Hu |
| Tested Application | IHC-P, WB |
| Host | Mouse |
| Clonality | Monoclonal |
| Isotype | IgG1, kappa |
| Target Name | FLI1 |
| Antigen Species | Human |
| Immunogen | Synthetic peptide derived from Human FLI1. |
| Conjugation | Un-conjugated |
| Alternate Names | SIC-1; Friend leukemia integration 1 transcription factor; Proto-oncogene Fli-1; EWSR2; Transcription factor ERGB |
Application Instructions
| Application Suggestion |
|
||||||
|---|---|---|---|---|---|---|---|
| Application Note | IHC-P: Antigen Retrieval: Tris/EDTA buffer (pH 8.0) was used. * The dilutions indicate recommended starting dilutions and the optimal dilutions or concentrations should be determined by the scientist. |
||||||
| Observed Size | ~ 52 kDa |
Properties
| Form | Liquid |
|---|---|
| Purification | Affinity purification with immunogen. |
| Buffer | PBS, 0.02% Sodium azide, 50% Glycerol and 0.5% BSA. |
| Preservative | 0.02% Sodium azide |
| Stabilizer | 50% Glycerol and 0.5% BSA |
| Concentration | 1 mg/ml |
| Storage Instruction | For continuous use, store undiluted antibody at 2-8°C for up to a week. For long-term storage, aliquot and store at -20°C. Storage in frost free freezers is not recommended. Avoid repeated freeze/thaw cycles. Suggest spin the vial prior to opening. The antibody solution should be gently mixed before use. |
| Note | For laboratory research only, not for drug, diagnostic or other use. |
Bioinformation
| Database Links |
Swiss-port # Q01543 Human Friend leukemia integration 1 transcription factor |
|---|---|
| Gene Symbol | FLI1 |
| Gene Full Name | Fli-1 proto-oncogene, ETS transcription factor |
| Background | This gene encodes a transcription factor containing an ETS DNA-binding domain. The gene can undergo a t(11;22)(q24;q12) translocation with the Ewing sarcoma gene on chromosome 22, which results in a fusion gene that is present in the majority of Ewing sarcoma cases. An acute lymphoblastic leukemia-associated t(4;11)(q21;q23) translocation involving this gene has also been identified. Alternative splicing results in multiple transcript variants. [provided by RefSeq, Aug 2012] |
| Function | Sequence-specific transcriptional activator. Recognizes the DNA sequence 5'-C[CA]GGAAGT-3'. [UniProt] |
| Cellular Localization | Nucleus. [UniProt] |
| Calculated MW | 51 kDa |
Images (3) Click the Picture to Zoom In
-
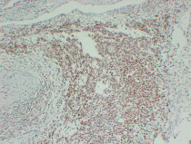
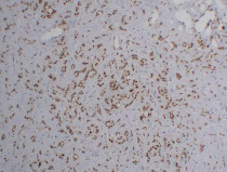
ARG66496 anti-FLI1 antibody IHC-P image
Immunohistochemistry: Paraffin-embedded Human hemangioendothelioma stained with ARG66496 anti-FLI1 antibody at 1:200 (4°C, overnight). Antigen Retrieval: Tris/EDTA buffer (pH 8.0) was used.
-
ARG66496 anti-FLI1 antibody WB image
Western blot: 30 µg of Jurkat whole cell lysate stained with ARG66496 anti-FLI1 antibody at 1:1000 dilution.
-
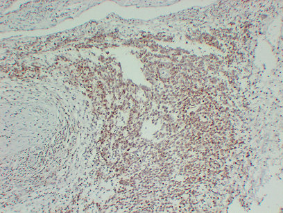
ARG66496 anti-FLI1 antibody IHC-P image
Immunohistochemistry: Paraffin-embedded Human primitive neuroectodermal tumor (PNET) stained with ARG66496 anti-FLI1 antibody at 1:200 (4°C, overnight). Antigen Retrieval: Tris/EDTA buffer (pH 8.0) was used.
