ARG58698
anti-FLT4 / VEGFR3 antibody
anti-FLT4 / VEGFR3 antibody for Flow cytometry,ICC/IF,IHC-Frozen sections,IHC-Formalin-fixed paraffin-embedded sections,Western blot and Human,Mouse,Rat
Overview
| Product Description | Rabbit Polyclonal antibody recognizes FLT4 / VEGFR3 |
|---|---|
| Tested Reactivity | Hu, Ms, Rat |
| Tested Application | FACS, ICC/IF, IHC-Fr, IHC-P, WB |
| Host | Rabbit |
| Clonality | Polyclonal |
| Isotype | IgG |
| Target Name | FLT4 / VEGFR3 |
| Antigen Species | Human |
| Immunogen | Recombinant protein corresponding to Y25-N259 of Human FLT-4 / VEGFR3. |
| Conjugation | Un-conjugated |
| Alternate Names | FLT-4; FLT41; Vascular endothelial growth factor receptor 3; VEGFR3; VEGFR-3; PCL; Tyrosine-protein kinase receptor FLT4; LMPH1A; EC 2.7.10.1; Fms-like tyrosine kinase 4 |
Application Instructions
| Application Suggestion |
|
||||||||||||
|---|---|---|---|---|---|---|---|---|---|---|---|---|---|
| Application Note | IHC-P: Antigen Retrieval: Heat mediation was performed in Citrate buffer (pH 6.0) for 20 min. * The dilutions indicate recommended starting dilutions and the optimal dilutions or concentrations should be determined by the scientist. |
Properties
| Form | Liquid |
|---|---|
| Buffer | 0.9% NaCl, 0.2% Na2HPO4, 0.05% Sodium azide and 4% Trehalose. |
| Preservative | 0.05% Sodium azide |
| Stabilizer | 4% Trehalose |
| Concentration | 0.5 mg/ml |
| Storage Instruction | For continuous use, store undiluted antibody at 2-8°C for up to a week. For long-term storage, aliquot and store at -20°C or below. Storage in frost free freezers is not recommended. Avoid repeated freeze/thaw cycles. Suggest spin the vial prior to opening. The antibody solution should be gently mixed before use. |
| Note | For laboratory research only, not for drug, diagnostic or other use. |
Bioinformation
| Database Links | |
|---|---|
| Gene Symbol | FLT4 |
| Gene Full Name | fms-related tyrosine kinase 4 |
| Background | This gene encodes a tyrosine kinase receptor for vascular endothelial growth factors C and D. The protein is thought to be involved in lymphangiogenesis and maintenance of the lymphatic endothelium. Mutations in this gene cause hereditary lymphedema type IA. [provided by RefSeq, Jul 2008] |
| Function | Tyrosine-protein kinase that acts as a cell-surface receptor for VEGFC and VEGFD, and plays an essential role in adult lymphangiogenesis and in the development of the vascular network and the cardiovascular system during embryonic development. Promotes proliferation, survival and migration of endothelial cells, and regulates angiogenic sprouting. Signaling by activated FLT4 leads to enhanced production of VEGFC, and to a lesser degree VEGFA, thereby creating a positive feedback loop that enhances FLT4 signaling. Modulates KDR signaling by forming heterodimers. The secreted isoform 3 may function as a decoy receptor for VEGFC and/or VEGFD and play an important role as a negative regulator of VEGFC-mediated lymphangiogenesis and angiogenesis. Binding of vascular growth factors to isoform 1 or isoform 2 leads to the activation of several signaling cascades; isoform 2 seems to be less efficient in signal transduction, because it has a truncated C-terminus and therefore lacks several phosphorylation sites. Mediates activation of the MAPK1/ERK2, MAPK3/ERK1 signaling pathway, of MAPK8 and the JUN signaling pathway, and of the AKT1 signaling pathway. Phosphorylates SHC1. Mediates phosphorylation of PIK3R1, the regulatory subunit of phosphatidylinositol 3-kinase. Promotes phosphorylation of MAPK8 at 'Thr-183' and 'Tyr-185', and of AKT1 at 'Ser-473'. [UniProt] |
| Cellular Localization | Cell membrane; Ligand-mediated autophosphorylation leads to rapid internalization. [UniProt] |
| Calculated MW | 153 kDa |
| PTM | Autophosphorylated on tyrosine residues upon ligand binding. Autophosphorylation occurs in trans, i.e. one subunit of the dimeric receptor phosphorylates tyrosine residues on the other subunit. Phosphorylation in response to H(2)O(2) is mediated by a process that requires SRC and PRKCD activity. Phosphorylation at Tyr-1068 is required for autophosphorylation at additional tyrosine residues. Phosphorylation at Tyr-1063 and Tyr-1337 is important for interaction with CRK and subsequent activation of MAPK8. Phosphorylation at Tyr-1230, Tyr-1231 and Tyr-1337 is important for interaction with GRB2 and subsequent activation of the AKT1 and MAPK1/ERK2 and/or MAPK3/ERK1 signaling pathways. In response to endothelial cell adhesion onto collagen, can also be phosphorylated in the absence of FLT4 kinase activity by SRC at Tyr-830, Tyr-833, Tyr-853, Tyr-1063, Tyr-1333, and Tyr-1337. [UniProt] |
Images (11) Click the Picture to Zoom In
-
ARG58698 anti-FLT4 / VEGFR3 antibody ICC/IF image
Immunofluorescence: A431 cells were blocked with 10% goat serum and then stained with ARG58698 anti-FLT4 / VEGFR3 antibody (green) at 2 µg/ml dilution, overnight at 4°C. DAPI (blue) for nuclear staining.
-
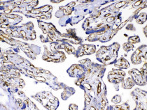
ARG58698 anti-FLT4 / VEGFR3 antibody IHC-Fr image
Immunohistochemistry: Frozen section of Human placenta tissue. The tissue section was blocked with 10% goat serum. The tissue section was then stained with ARG58698 anti-FLT4 / VEGFR3 antibody at 1 µg/ml dilution, overnight at 4°C.
-
ARG58698 anti-FLT4 / VEGFR3 antibody IHC-P image
Immunohistochemistry: Paraffin-embedded Human lung cancer tissue. Antigen Retrieval: Heat mediated was performed in Citrate buffer (pH 6.0) for 20 min. The tissue section was blocked with 10% Goat serum. The tissue section was then stained with ARG58698 anti-FLT4 / VEGFR3 antibody at 1 µg/ml, overnight at 4°C.
-
ARG58698 anti-FLT4 / VEGFR3 antibody WB image
Western blot: 50 µg of Rat liver tissue lysate stained with ARG58698 anti-FLT4 / VEGFR3 antibody at 0.5 µg/ml overnight at 4°C, under reducing conditions.
-
ARG58698 anti-FLT4 / VEGFR3 antibody FACS image
Flow Cytometry: U2OS cells were blocked with 10% normal goat serum and then stained with ARG58698 anti-FLT4 / VEGFR3 antibody (blue) at 1 µg/10^6 cells for 30 min at 20°C, followed by incubation with DyLight®488 labelled secondary antibody. Isotype control antibody (green) was rabbit IgG (1 µg/10^6 cells) used under the same conditions. Unlabelled sample (red) was also used as a control.
-
ARG58698 anti-FLT4 / VEGFR3 antibody ICC/IF image
Immunofluorescence: A431 cells were blocked with 10% goat serum and then stained with ARG58698 anti-FLT4 / VEGFR3 antibody (green) at 2 µg/ml dilution, overnight at 4°C. DAPI (blue) for nuclear staining.
-
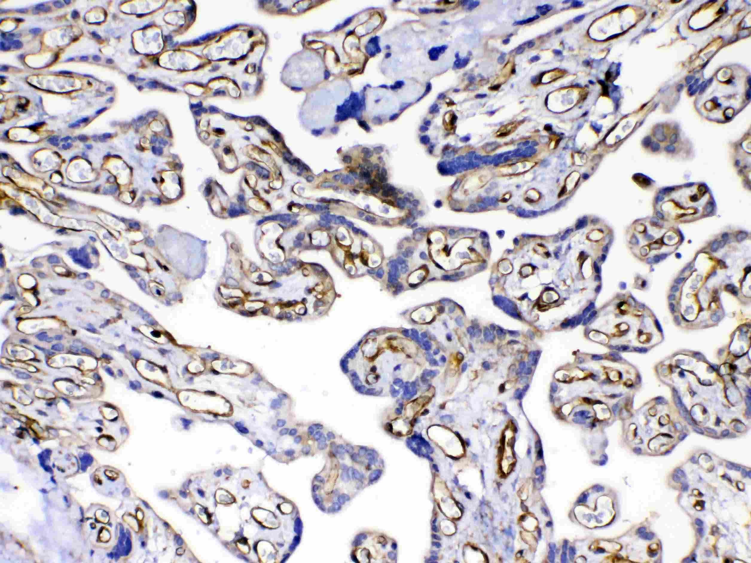
ARG58698 anti-FLT4 / VEGFR3 antibody IHC-P image
Immunohistochemistry: Paraffin-embedded Human placenta tissue. Antigen Retrieval: Heat mediated was performed in Citrate buffer (pH 6.0) for 20 min. The tissue section was blocked with 10% Goat serum. The tissue section was then stained with ARG58698 anti-FLT4 / VEGFR3 antibody at 1 µg/ml, overnight at 4°C.
-
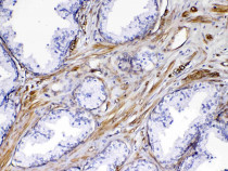
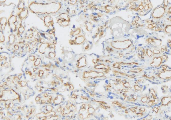
ARG58698 anti-FLT4 / VEGFR3 antibody IHC-P image
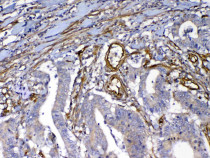
Immunohistochemistry: Paraffin-embedded Human prostatic cancer tissue. Antigen Retrieval: Heat mediated was performed in Citrate buffer (pH 6.0) for 20 min. The tissue section was blocked with 10% Goat serum. The tissue section was then stained with ARG58698 anti-FLT4 / VEGFR3 antibody at 1 µg/ml, overnight at 4°C.
-
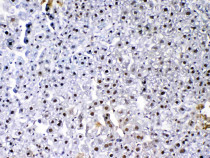
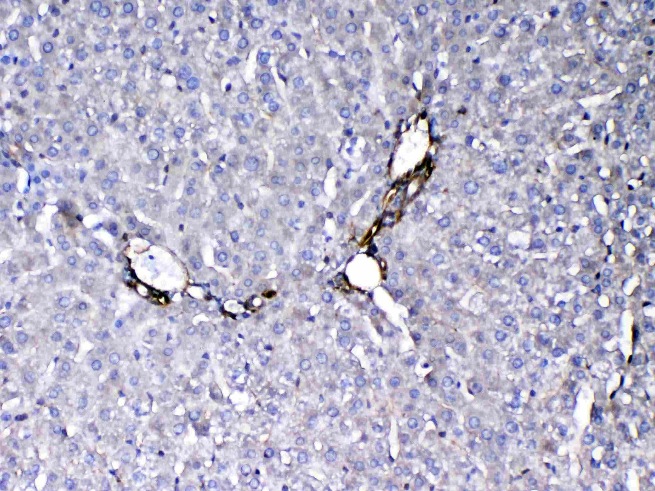
ARG58698 anti-FLT4 / VEGFR3 antibody IHC-P image
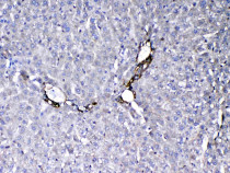
Immunohistochemistry: Paraffin-embedded Rat liver tissue. Antigen Retrieval: Heat mediated was performed in Citrate buffer (pH 6.0) for 20 min. The tissue section was blocked with 10% Goat serum. The tissue section was then stained with ARG58698 anti-FLT4 / VEGFR3 antibody at 1 µg/ml, overnight at 4°C.
-
ARG58698 anti-FLT4 / VEGFR3 antibody IHC-P image
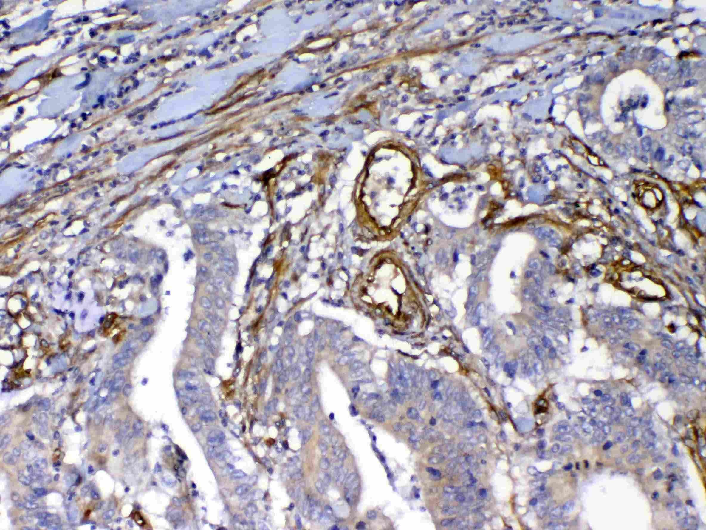
Immunohistochemistry: Paraffin-embedded Human rectal cancer tissue. Antigen Retrieval: Heat mediated was performed in Citrate buffer (pH 6.0) for 20 min. The tissue section was blocked with 10% Goat serum. The tissue section was then stained with ARG58698 anti-FLT4 / VEGFR3 antibody at 1 µg/ml, overnight at 4°C.
-
ARG58698 anti-FLT4 / VEGFR3 antibody IHC-P image
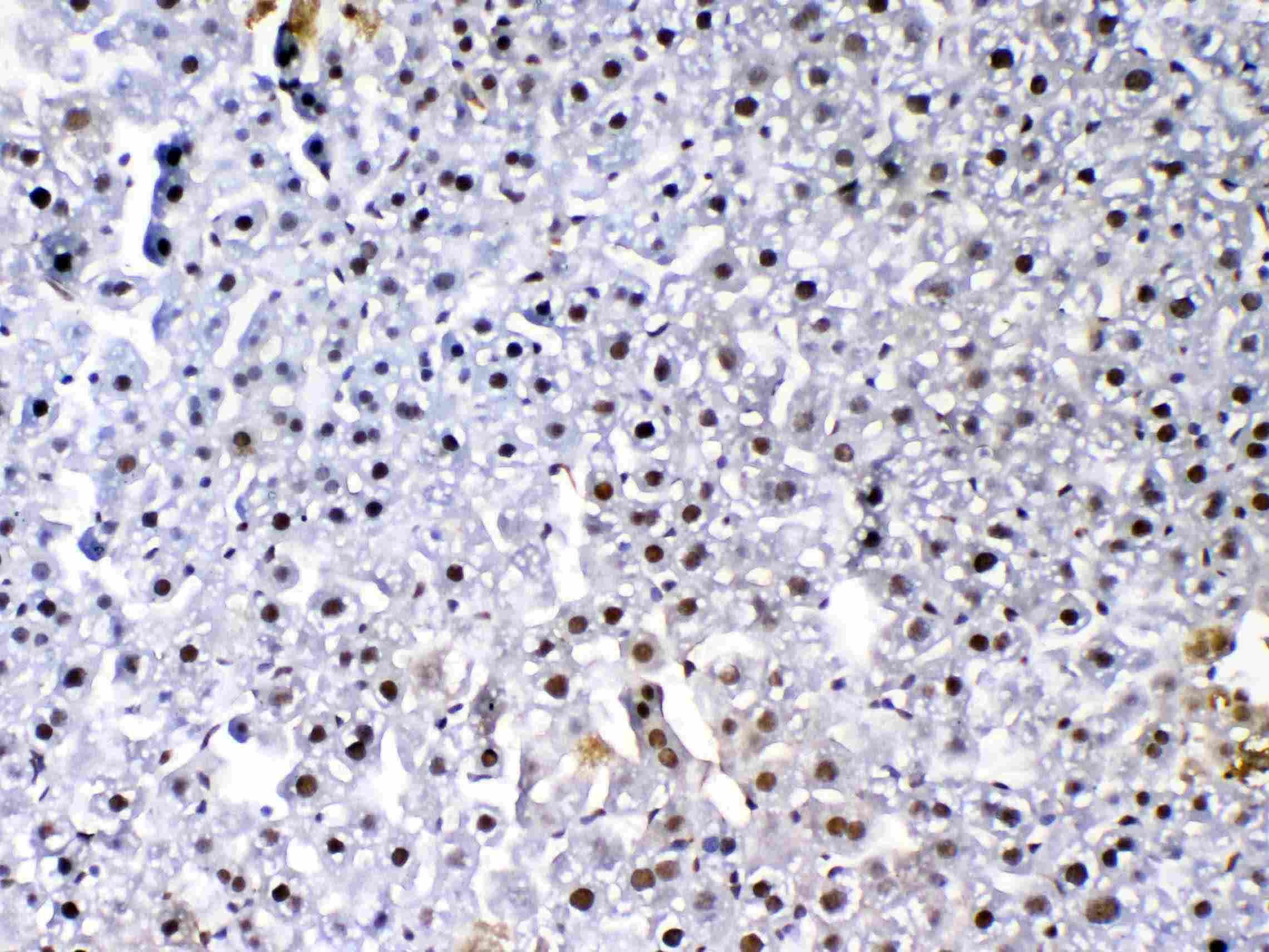
Immunohistochemistry: Paraffin-embedded Mouse liver tissue. Antigen Retrieval: Heat mediated was performed in Citrate buffer (pH 6.0) for 20 min. The tissue section was blocked with 10% Goat serum. The tissue section was then stained with ARG58698 anti-FLT4 / VEGFR3 antibody at 1 µg/ml, overnight at 4°C.
