ARG59438
anti-FMN1 antibody
anti-FMN1 antibody for IHC-Formalin-fixed paraffin-embedded sections,Western blot and Mouse,Rat
Overview
| Product Description | Rabbit Polyclonal antibody recognizes FMN1 |
|---|---|
| Tested Reactivity | Ms, Rat |
| Predict Reactivity | Hu |
| Tested Application | IHC-P, WB |
| Host | Rabbit |
| Clonality | Polyclonal |
| Isotype | IgG |
| Target Name | FMN1 |
| Antigen Species | Human |
| Immunogen | Recombinant protein corresponding to N1195-N1419 of Human FMN1. |
| Conjugation | Un-conjugated |
| Alternate Names | FMN; Limb deformity protein homolog; LD; Formin-1 |
Application Instructions
| Application Suggestion |
|
||||||
|---|---|---|---|---|---|---|---|
| Application Note | IHC-P: Antigen Retrieval: Heat mediated was performed in Citrate buffer (pH 6.0) for 20 min. * The dilutions indicate recommended starting dilutions and the optimal dilutions or concentrations should be determined by the scientist. |
Properties
| Form | Liquid |
|---|---|
| Purification | Affinity purification with immunogen. |
| Buffer | 0.9% NaCl, 0.2% Na2HPO4, 0.05% Sodium azide and 5% BSA. |
| Preservative | 0.05% Sodium azide |
| Stabilizer | 5% BSA |
| Concentration | 0.5 mg/ml |
| Storage Instruction | For continuous use, store undiluted antibody at 2-8°C for up to a week. For long-term storage, aliquot and store at -20°C or below. Storage in frost free freezers is not recommended. Avoid repeated freeze/thaw cycles. Suggest spin the vial prior to opening. The antibody solution should be gently mixed before use. |
| Note | For laboratory research only, not for drug, diagnostic or other use. |
Bioinformation
| Database Links | |
|---|---|
| Gene Symbol | FMN1 |
| Gene Full Name | formin 1 |
| Background | This gene belongs to the formin homology family and encodes a protein that has a role in the formation of adherens junction and the polymerization of linear actin cables. The homologous gene in mouse is associated with limb deformity. Alternatively spliced transcript variants have been found for this gene. [provided by RefSeq, Sep 2015] |
| Function | Plays a role in the formation of adherens junction and the polymerization of linear actin cables. [UniProt] |
| Cellular Localization | Nucleus. Cytoplasm. Cell junction, adherens junction. Cell membrane; Peripheral membrane protein; Cytoplasmic side. Note=Localization to the adherens junctions is alpha-catenin-dependent. Also localizes to F-actin bundles originating from adherens junctions and to microtubules (By similarity). [UniProt] |
| Calculated MW | 158 kDa |
| PTM | Phosphorylated on serine and possibly threonine residues. [UniProt] |
Images (3) Click the Picture to Zoom In
-
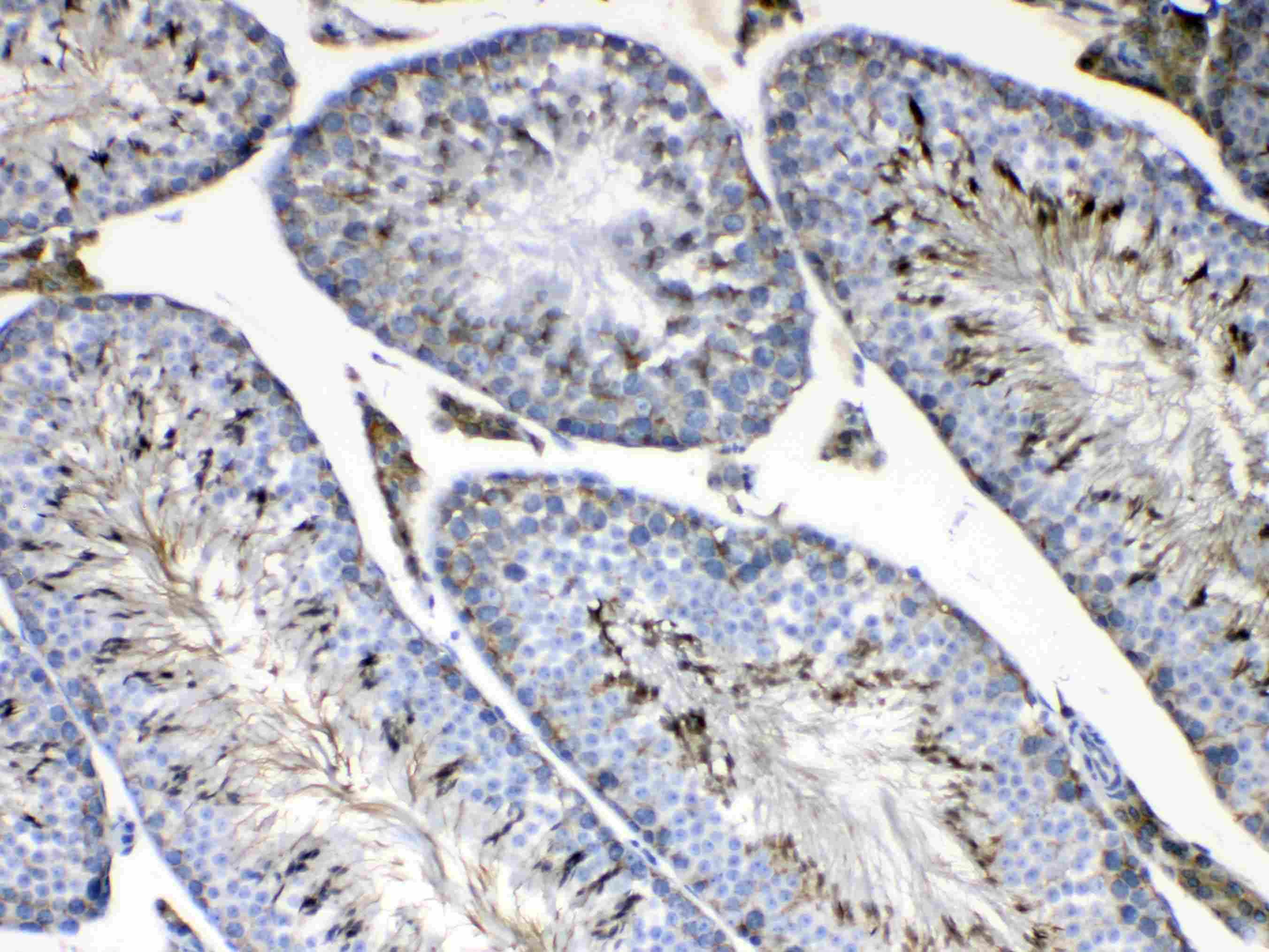
ARG59438 anti-FMN1 antibody IHC-P image
Immunohistochemistry: Paraffin-embedded Mouse testis tissue. Antigen Retrieval: Heat mediated was performed in Citrate buffer (pH 6.0, epitope retrieval solution) for 20 min. The tissue section was blocked with 10% goat serum. The tissue section was then stained with ARG59438 anti-FMN1 antibody at 1 µg/ml, overnight at 4°C.
-
ARG59438 anti-FMN1 antibody WB image
Western blot: 50 µg of samples under reducing conditions. Rat brain and Mouse brain lysates stained with ARG59438 anti-FMN1 antibody at 0.5 µg/ml, overnight at 4°C.
-
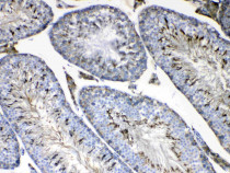
ARG59438 anti-FMN1 antibody IHC-P image
Immunohistochemistry: Paraffin-embedded Rat testis tissue. Antigen Retrieval: Heat mediated was performed in Citrate buffer (pH 6.0, epitope retrieval solution) for 20 min. The tissue section was blocked with 10% goat serum. The tissue section was then stained with ARG59438 anti-FMN1 antibody at 1 µg/ml, overnight at 4°C.
