ARG58755
anti-FMO5 antibody
anti-FMO5 antibody for IHC-Formalin-fixed paraffin-embedded sections,Western blot and Human
Overview
| Product Description | Rabbit Polyclonal antibody recognizes FMO5 |
|---|---|
| Tested Reactivity | Hu |
| Predict Reactivity | Ms, Rat, Cow, Dog, Gpig, Hrs, Rb |
| Tested Application | IHC-P, WB |
| Host | Rabbit |
| Clonality | Polyclonal |
| Isotype | IgG |
| Target Name | FMO5 |
| Antigen Species | Human |
| Immunogen | Synthetic peptide around the middle region of Human FMO5. (within the following sequence: NKYLEKKINQRFDHEMFGLKPKHRALSQHPTLNDDLPNRIISGLVKVKGN) |
| Conjugation | Un-conjugated |
| Alternate Names | Dimethylaniline monooxygenase [N-oxide-forming] 5; FMO 5; Hepatic flavin-containing monooxygenase 5; EC 1.14.13.8; Dimethylaniline oxidase 5 |
Application Instructions
| Predict Reactivity Note | Predicted homology based on immunogen sequence: Cow: 100%; Dog: 100%; Guinea Pig: 93%; Horse: 100%; Mouse: 100%; Rabbit: 100%; Rat: 100% | ||||||
|---|---|---|---|---|---|---|---|
| Application Suggestion |
|
||||||
| Application Note | * The dilutions indicate recommended starting dilutions and the optimal dilutions or concentrations should be determined by the scientist. | ||||||
| Positive Control | HeLa |
Properties
| Form | Liquid |
|---|---|
| Purification | Affinity purified. |
| Buffer | PBS, 0.09% (w/v) Sodium azide and 2% Sucrose. |
| Preservative | 0.09% (w/v) Sodium azide |
| Stabilizer | 2% Sucrose |
| Concentration | Batch dependent: 0.5 - 1 mg/ml |
| Storage Instruction | For continuous use, store undiluted antibody at 2-8°C for up to a week. For long-term storage, aliquot and store at -20°C or below. Storage in frost free freezers is not recommended. Avoid repeated freeze/thaw cycles. Suggest spin the vial prior to opening. The antibody solution should be gently mixed before use. |
| Note | For laboratory research only, not for drug, diagnostic or other use. |
Bioinformation
| Database Links |
Swiss-port # P49326 Human Dimethylaniline monooxygenase [N-oxide-forming] 5 |
|---|---|
| Gene Symbol | FMO5 |
| Gene Full Name | flavin containing monooxygenase 5 |
| Background | Metabolic N-oxidation of the diet-derived amino-trimethylamine (TMA) is mediated by flavin-containing monooxygenase and is subject to an inherited FMO3 polymorphism in man resulting in a small subpopulation with reduced TMA N-oxidation capacity resulting in fish odor syndrome Trimethylaminuria. Three forms of the enzyme, FMO1 found in fetal liver, FMO2 found in adult liver, and FMO3 are encoded by genes clustered in the 1q23-q25 region. Flavin-containing monooxygenases are NADPH-dependent flavoenzymes that catalyzes the oxidation of soft nucleophilic heteroatom centers in drugs, pesticides, and xenobiotics. Alternative splicing results in multiple transcript variants. [provided by RefSeq, Jan 2009] |
| Function | In contrast with other forms of FMO it does not seem to be a drug-metabolizing enzyme. [UniProt] |
| Calculated MW | 60 kDa |
Images (2) Click the Picture to Zoom In
-
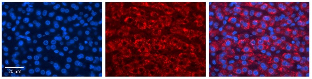
ARG58755 anti-FMO5 antibody IHC-P image
Immunohistochemistry: Formalin-fixed and paraffin-embedded Human liver stained with ARG58755 anti-FMO5 antibody at 1:600 dilution. Magnification: 20X.
-
ARG58755 anti-FMO5 antibody WB image
Western blot: HeLa cell lysate stained with ARG58755 anti-FMO5 antibody at 0.2 - 1 µg/ml dilution.
