ARG41686
anti-FOXA1 / HNF3A antibody [FHBA1-1]
anti-FOXA1 / HNF3A antibody [FHBA1-1] for Flow cytometry,ICC/IF,IHC-Formalin-fixed paraffin-embedded sections,Western blot and Human
Overview
| Product Description | Mouse Monoclonal antibody [FHBA1-1] recognizes FOXA1 / HNF3A |
|---|---|
| Tested Reactivity | Hu |
| Tested Application | FACS, ICC/IF, IHC-P, WB |
| Host | Mouse |
| Clonality | Monoclonal |
| Clone | FHBA1-1 |
| Isotype | IgG2b, kappa |
| Target Name | FOXA1 / HNF3A |
| Antigen Species | Human |
| Immunogen | Partial recombinant protein corresponding to aa. 372-472 of Human FOXA1 / HNF3A. |
| Conjugation | Un-conjugated |
| Alternate Names | TCF3A; Forkhead box protein A1; Hepatocyte nuclear factor 3-alpha; TCF-3A; HNF-3A; HNF-3-alpha; HNF3A; Transcription factor 3A |
Application Instructions
| Application Suggestion |
|
||||||||||
|---|---|---|---|---|---|---|---|---|---|---|---|
| Application Note | IHC-P: Antigen Retrieval: Boil tissue section in 10 mM Tris with 1 mM EDTA (pH 9.0) for 10-20 min, followed by cooling at RT for 20 min. * The dilutions indicate recommended starting dilutions and the optimal dilutions or concentrations should be determined by the scientist. |
||||||||||
| Positive Control | HeLa | ||||||||||
| Observed Size | ~ 50 kDa |
Properties
| Form | Liquid |
|---|---|
| Purification | Purification with Protein G. |
| Buffer | PBS (pH 7.4), 0.05% Sodium azide and 0.1 mg/ml BSA. |
| Preservative | 0.05% Sodium azide |
| Stabilizer | 0.1 mg/ml BSA |
| Concentration | 0.2 mg/ml |
| Storage Instruction | For continuous use, store undiluted antibody at 2-8°C for up to a week. For long-term storage, aliquot and store at -20°C or below. Storage in frost free freezers is not recommended. Avoid repeated freeze/thaw cycles. Suggest spin the vial prior to opening. The antibody solution should be gently mixed before use. |
| Note | For laboratory research only, not for drug, diagnostic or other use. |
Bioinformation
| Database Links | |
|---|---|
| Gene Symbol | FOXA1 |
| Gene Full Name | forkhead box A1 |
| Background | This gene encodes a member of the forkhead class of DNA-binding proteins. These hepatocyte nuclear factors are transcriptional activators for liver-specific transcripts such as albumin and transthyretin, and they also interact with chromatin. Similar family members in mice have roles in the regulation of metabolism and in the differentiation of the pancreas and liver. [provided by RefSeq, Jul 2008] |
| Function | Transcription factor that is involved in embryonic development, establishment of tissue-specific gene expression and regulation of gene expression in differentiated tissues. Is thought to act as a 'pioneer' factor opening the compacted chromatin for other proteins through interactions with nucleosomal core histones and thereby replacing linker histones at target enhancer and/or promoter sites. Binds DNA with the consensus sequence 5'-[AC]A[AT]T[AG]TT[GT][AG][CT]T[CT]-3' (By similarity). Proposed to play a role in translating the epigenetic signatures into cell type-specific enhancer-driven transcriptional programs. Its differential recruitment to chromatin is dependent on distribution of histone H3 methylated at 'Lys-5' (H3K4me2) in estrogen-regulated genes. Involved in the development of multiple endoderm-derived organ systems such as liver, pancreas, lung and prostate; FOXA1 and FOXA2 seem to have at least in part redundant roles (By similarity). Modulates the transcriptional activity of nuclear hormone receptors. Is involved in ESR1-mediated transcription; required for ESR1 binding to the NKX2-1 promoter in breast cancer cells; binds to the RPRM promter and is required for the estrogen-induced repression of RPRM. Involved in regulation of apoptosis by inhibiting the expression of BCL2. Involved in cell cycle regulation by activating expression of CDKN1B, alone or in conjunction with BRCA1. Originally described as a transcription activator for a number of liver genes such as AFP, albumin, tyrosine aminotransferase, PEPCK, etc. Interacts with the cis-acting regulatory regions of these genes. Involved in glucose homeostasis. [UniProt] |
| Cellular Localization | Nucleus. [UniProt] |
| Calculated MW | 49 kDa |
Images (5) Click the Picture to Zoom In
-
ARG41686 anti-FOXA1 / HNF3A antibody [FHBA1-1] ICC/IF image
Immunofluorescence: PFA-fixed MCF7 cells stained with ARG41686 anti-FOXA1 / HNF3A antibody [FHBA1-1] (green) and Phalloiden (red).
-
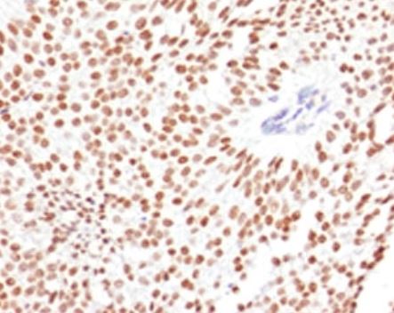
ARG41686 anti-FOXA1 / HNF3A antibody [FHBA1-1] IHC-P image
Immunohistochemistry: Formalin-fixed and paraffin-embedded Human bladder carcinoma tissue stained with ARG41686 anti-FOXA1 / HNF3A antibody [FHBA1-1]. Antigen Retrieval: Boil tissue section in 10 mM Tris with 1 mM EDTA (pH 9.0), for 10-20 min, followed by cooling at RT for 20 min.
-
ARG41686 anti-FOXA1 / HNF3A antibody [FHBA1-1] WB image
Western blot: HeLa cell lysate stained with ARG41686 anti-FOXA1 / HNF3A antibody [FHBA1-1].
-
ARG41686 anti-FOXA1 / HNF3A antibody [FHBA1-1] FACS image
Flow Cytometry: PFA-fixed MCF7 cells stained with ARG41686 anti-FOXA1 / HNF3A antibody [FHBA1-1] (blue); Isotype control (red).
-
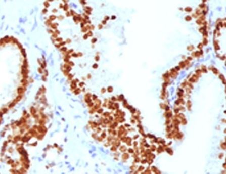
ARG41686 anti-FOXA1 / HNF3A antibody [FHBA1-1] IHC-P image
Immunohistochemistry: Formalin-fixed and paraffin-embedded Human prostate carcinoma tissue stained with ARG41686 anti-FOXA1 / HNF3A antibody [FHBA1-1]. Antigen Retrieval: Boil tissue section in 10 mM Tris with 1 mM EDTA (pH 9.0), for 10-20 min, followed by cooling at RT for 20 min.
