ARG45627
anti-FOXF1 antibody
anti-FOXF1 antibody for Flow cytometry,IHC-Formalin-fixed paraffin-embedded sections,Western blot and Human,Mouse,Rat
Overview
| Product Description | Rabbit Polyclonal antibody recognizes FOXF1 |
|---|---|
| Tested Reactivity | Hu, Ms, Rat |
| Tested Application | FACS, IHC-P, WB |
| Host | Rabbit |
| Clonality | Polyclonal |
| Isotype | IgG |
| Target Name | FOXF1 |
| Antigen Species | Human |
| Immunogen | Recombinant protein containing to human FOXF1. |
| Conjugation | Un-conjugated |
| Alternate Names | FOXF1; forkhead box F1; ACDMPV; FREAC1; Forkhead-related activator 1; FREAC-1; Forkhead box protein F1; Forkhead-related transcription factor 1; Forkhead-related protein FKHL5; FKHL5 |
Application Instructions
| Application Suggestion |
|
||||||||
|---|---|---|---|---|---|---|---|---|---|
| Application Note | * The dilutions indicate recommended starting dilutions and the optimal dilutions or concentrations should be determined by the scientist. | ||||||||
| Observed Size | 38 - 40 kDa |
Properties
| Form | Liquid |
|---|---|
| Purification | Affinity purified |
| Buffer | 0.2% Na2HPO4, 0.9% NaCl, 0.05% Sodium azide and 4% Trehalose. |
| Preservative | 0.05% Sodium azide |
| Stabilizer | 4% Trehalose |
| Concentration | 0.5 mg/ml |
| Storage Instruction | For continuous use, store undiluted antibody at 2-8°C for up to a week. For long-term storage, aliquot and store at -20°C or below. Storage in frost free freezers is not recommended. Avoid repeated freeze/thaw cycles. Suggest spin the vial prior to opening. The antibody solution should be gently mixed before use. |
| Note | For laboratory research only, not for drug, diagnostic or other use. |
Bioinformation
| Database Links | |
|---|---|
| Gene Symbol | FOXF1 |
| Gene Full Name | forkhead box F1 |
| Background | This gene belongs to the forkhead family of transcription factors which is characterized by a distinct forkhead domain. The specific function of this gene has not yet been determined; however, it may play a role in the regulation of pulmonary genes as well as embryonic development. [provided by RefSeq, Jul 2008] |
| Function | Probable transcription activator for a number of lung-specific genes. [UniProt] |
| Cellular Localization | Nucleus. [UniProt] |
| Calculated MW | 40 kDa |
Images (4) Click the Picture to Zoom In
-
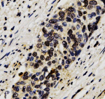
ARG45627 anti-FOXF1 antibody IHC-P image
Immunohistochemistry: Human oesophagus squama cancer stained with ARG45627 anti-FOXF1 antibody at 2 μg/ml dilution.
-
ARG45627 anti-FOXF1 antibody WB image
Western blot: Mouse liver stained with ARG45627 anti-FOXF1 antibody at 0.5 μg/ml dilution.
-
ARG45627 anti-FOXF1 antibody FACS image
Flow Cytometry: Jurkat stained with ARG45627 anti-FOXF1 antibody at 1 µg/10^6 cells dilution.
-
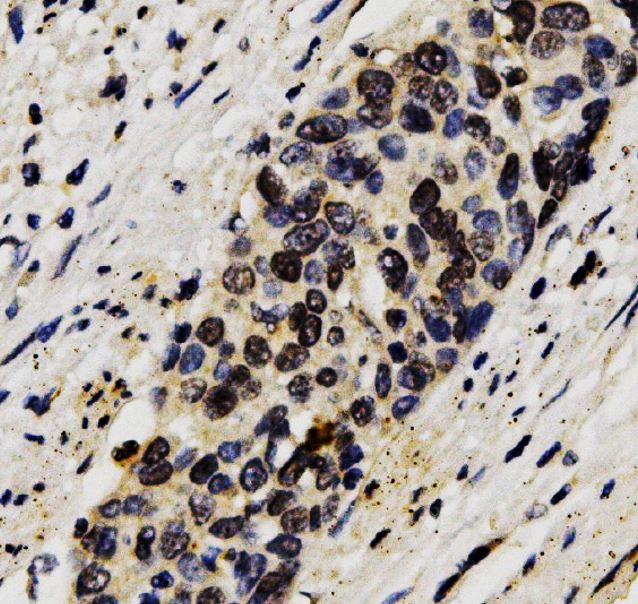
ARG45627 anti-FOXF1 antibody IHC-P image
Immunohistochemistry: Rat lung stained with ARG45627 anti-FOXF1 antibody at 2 μg/ml dilution.
