ARG59643
anti-FOXF2 antibody
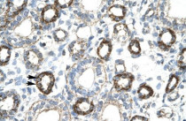
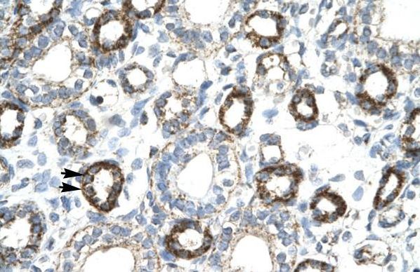
anti-FOXF2 antibody for IHC-Formalin-fixed paraffin-embedded sections,Western blot and Human
Overview
| Product Description | Rabbit Polyclonal antibody recognizes FOXF2 |
|---|---|
| Tested Reactivity | Hu |
| Predict Reactivity | Ms, Pig, Rb |
| Tested Application | IHC-P, WB |
| Host | Rabbit |
| Clonality | Polyclonal |
| Isotype | IgG |
| Target Name | FOXF2 |
| Antigen Species | Human |
| Immunogen | Synthetic peptide around the N-terminal region of Human FOXF2. (within the following region: SSASCASSSSSSNSASAPSAACKSAGGGGAGAGSGGAKKASSGLRRPEKP) |
| Conjugation | Un-conjugated |
| Alternate Names | Forkhead-related transcription factor 2; Forkhead box protein F2; FREAC2; Forkhead-related activator 2; FREAC-2; FKHL6; Forkhead-related protein FKHL6 |
Application Instructions
| Predict Reactivity Note | Predicted Homology Based On Immunogen Sequence: Mouse: 85%; Pig: 92%; Rabbit: 92% | ||||||
|---|---|---|---|---|---|---|---|
| Application Suggestion |
|
||||||
| Application Note | * The dilutions indicate recommended starting dilutions and the optimal dilutions or concentrations should be determined by the scientist. |
Properties
| Form | Liquid |
|---|---|
| Purification | Purification with Protein A. |
| Buffer | PBS, 0.09% (w/v) Sodium azide and 2% Sucrose. |
| Preservative | 0.09% (w/v) Sodium azide |
| Stabilizer | 2% Sucrose |
| Concentration | Batch dependent: 0.5 - 1 mg/ml |
| Storage Instruction | For continuous use, store undiluted antibody at 2-8°C for up to a week. For long-term storage, aliquot and store at -20°C or below. Storage in frost free freezers is not recommended. Avoid repeated freeze/thaw cycles. Suggest spin the vial prior to opening. The antibody solution should be gently mixed before use. |
| Note | For laboratory research only, not for drug, diagnostic or other use. |
Bioinformation
| Database Links | |
|---|---|
| Gene Symbol | FOXF2 |
| Gene Full Name | forkhead box F2 |
| Background | FOXF2 encodes forkhead box F2, one of many human homologues of the Drosophila melanogaster transcription factor forkhead. FOXF2 is expressed in lung and placenta, and has been shown to transcriptionally activate several lung-specific genes. [provided by RefSeq, Jul 2008] |
| Function | Probable transcription activator for a number of lung-specific genes. [UniProt] |
| Cellular Localization | Nucleus. [UniProt] |
| Calculated MW | 46 kDa |
Images (2) Click the Picture to Zoom In
