ARG67128
anti-FOXL1 antibody
anti-FOXL1 antibody for IHC-Formalin-fixed paraffin-embedded sections,Western blot and Human,Monkey
Overview
| Product Description | Rabbit Polyclonal antibody recognizes FOXL1 |
|---|---|
| Tested Reactivity | Hu, Mk |
| Tested Application | IHC-P, WB |
| Host | Rabbit |
| Clonality | Polyclonal |
| Isotype | IgG |
| Target Name | FOXL1 |
| Antigen Species | Human |
| Immunogen | Synthetic peptide of Human CXCR7 / CD187 (a.a. 1326-1375). |
| Conjugation | Un-conjugated |
| Alternate Names | FOXL1; Forkhead Box L1; FREAC7; FKHL11; FKH6; Forkhead-Related Transcription Factor 7; Forkhead-Related Protein FKHL11; Forkhead Box Protein L1 ; Forkhead-Like 11; FREAC-7; OTSC11 |
Application Instructions
| Application Suggestion |
|
||||||
|---|---|---|---|---|---|---|---|
| Application Note | * The dilutions indicate recommended starting dilutions and the optimal dilutions or concentrations should be determined by the scientist. |
Properties
| Form | Liquid |
|---|---|
| Purification | Affinity chromatography using epitope-specific immunogen. |
| Buffer | PBS with 0.02% Sodium azide, 0.5% BSA and 50% Glycerol. |
| Preservative | 0.02% Sodium azide |
| Stabilizer | 5% BSA and 50% Glycerol |
| Storage Instruction | For continuous use, store undiluted antibody at 2-8°C for up to a week. For long-term storage, aliquot and store at -20°C or below. Storage in frost free freezers is not recommended. Avoid repeated freeze/thaw cycles. Suggest spin the vial prior to opening. The antibody solution should be gently mixed before use. |
| Note | For laboratory research only, not for drug, diagnostic or other use. |
Bioinformation
| Database Links | |
|---|---|
| Gene Symbol | FOXL1 |
| Gene Full Name | forkhead box L1 |
| Background | This gene encodes a member of the forkhead/winged helix-box (FOX) family of transcription factors. FOX transcription factors are characterized by a distinct DNA-binding forkhead domain and play critical roles in the regulation of multiple processes including metabolism, cell proliferation and gene expression during ontogenesis. [provided by RefSeq, Nov 2012] |
| Function | Transcription factor required for proper proliferation and differentiation in the gastrointestinal epithelium. Target gene of the hedgehog (Hh) signaling pathway via GLI2 and GLI3 transcription factors (By similarity). [UniProt] |
| Cellular Localization | Nucleus. [UniProt] |
| Calculated MW | 36 kDa |
Images (3) Click the Picture to Zoom In
-
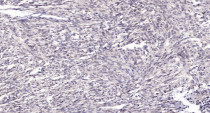
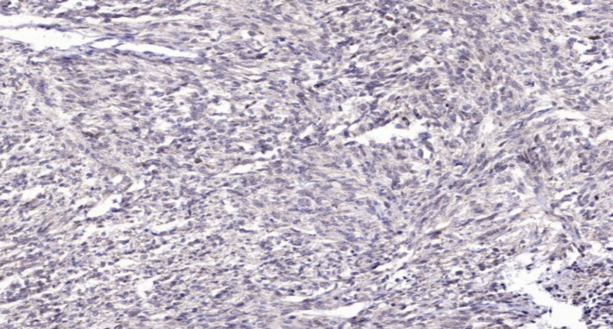
ARG67128 anti-FOXL1 antibody IHC-P image
Immunohistochemistry: Human Small intestinal stromal tumor stained with ARG67128 anti-FOXL1 antibody.
-
ARG67128 anti-FOXL1 antibody WB image
Western blot: A549 stained with ARG67128 anti-FOXL1 antibody at dilution.
-
ARG67128 anti-FOXL1 antibody WB image
Western blot: COS7 stained with ARG67128 anti-FOXL1 antibody.
