ARG51636
anti-FOXO1 / FKHR phospho (Ser319) antibody
anti-FOXO1 / FKHR phospho (Ser319) antibody for ICC/IF,IHC-Formalin-fixed paraffin-embedded sections,Western blot and Human,Mouse,Rat
Cancer antibody; Gene Regulation antibody; Metabolism antibody; Neuroscience antibody; Signaling Transduction antibody
Overview
| Product Description | Rabbit Polyclonal antibody recognizes FOXO1 / FKHR phospho (Ser319) |
|---|---|
| Tested Reactivity | Hu, Ms, Rat |
| Tested Application | ICC/IF, IHC-P, WB |
| Host | Rabbit |
| Clonality | Polyclonal |
| Isotype | IgG |
| Target Name | FOXO1 / FKHR |
| Antigen Species | Human |
| Immunogen | Peptide sequence around phosphorylation site of serine 319 (T-S-S(p)-N-A) derived from Human FKHR/FOXO1A. |
| Conjugation | Un-conjugated |
| Alternate Names | Forkhead in rhabdomyosarcoma; FOXO1A; Forkhead box protein O1; Forkhead box protein O1A; FKH1; FKHR |
Application Instructions
| Application Suggestion |
|
||||||||
|---|---|---|---|---|---|---|---|---|---|
| Application Note | * The dilutions indicate recommended starting dilutions and the optimal dilutions or concentrations should be determined by the scientist. |
Properties
| Form | Liquid |
|---|---|
| Purification | Antibodies were produced by immunizing rabbits with KLH-conjugated synthetic phosphopeptide. Antibodies were purified by affinity-chromatography using epitope-specific phosphopeptide. In addition, non-phospho specific antibodies were removed by chromatogramphy using non-phosphopeptide. |
| Buffer | PBS (without Mg2+ and Ca2+, pH 7.4), 150mM NaCl, 0.02% Sodium azide and 50% Glycerol. |
| Preservative | 0.02% Sodium azide |
| Stabilizer | 50% Glycerol |
| Concentration | 1 mg/ml |
| Storage Instruction | For continuous use, store undiluted antibody at 2-8°C for up to a week. For long-term storage, aliquot and store at -20°C. Storage in frost free freezers is not recommended. Avoid repeated freeze/thaw cycles. Suggest spin the vial prior to opening. The antibody solution should be gently mixed before use. |
| Note | For laboratory research only, not for drug, diagnostic or other use. |
Bioinformation
| Database Links | |
|---|---|
| Gene Symbol | FOXO1 |
| Gene Full Name | forkhead box O1 |
| Background | FKHR belongs to the forkhead family of transcription factors, which are characterized by a distinct forkhead domain. It may play a role in myogenic growth and differentiation. The mammalian DAF-16-like transcription factors, FKHR, FKHRL1, and AFX, function as key regulators of insulin signaling, cell cycle progression, and apoptosis downstream of phosphoinositide 3-kinase. Gene activation through binding to insulin response sequences has been essential for mediating these functions. D-type Cyclins (in Class III) is required for FKHR mediated inhibition of cell cycle progression and transformation. FKHR gene is mapped to chromosome 13q14 |
| Function | Transcription factor that is the main target of insulin signaling and regulates metabolic homeostasis in response to oxidative stress. Binds to the insulin response element (IRE) with consensus sequence 5'-TT[G/A]TTTTG-3' and the related Daf-16 family binding element (DBE) with consensus sequence 5'-TT[G/A]TTTAC-3'. Activity suppressed by insulin. Main regulator of redox balance and osteoblast numbers and controls bone mass. Orchestrates the endocrine function of the skeleton in regulating glucose metabolism. Acts synergistically with ATF4 to suppress osteocalcin/BGLAP activity, increasing glucose levels and triggering glucose intolerance and insulin insensitivity. Also suppresses the transcriptional activity of RUNX2, an upstream activator of osteocalcin/BGLAP. In hepatocytes, promotes gluconeogenesis by acting together with PPARGC1A and CEBPA to activate the expression of genes such as IGFBP1, G6PC and PCK1. Important regulator of cell death acting downstream of CDK1, PKB/AKT1 and SKT4/MST1. Promotes neural cell death. Mediates insulin action on adipose tissue. Regulates the expression of adipogenic genes such as PPARG during preadipocyte differentiation and, adipocyte size and adipose tissue-specific gene expression in response to excessive calorie intake. Regulates the transcriptional activity of GADD45A and repair of nitric oxide-damaged DNA in beta-cells. Required for the autophagic cell death induction in response to starvation or oxidative stress in a transcription-independent manner. [UniProt] |
| Research Area | Cancer antibody; Gene Regulation antibody; Metabolism antibody; Neuroscience antibody; Signaling Transduction antibody |
| Calculated MW | 70 kDa |
| PTM | Phosphorylation by NLK promotes nuclear export and inhibits the transcriptional activity. In response to growth factors, phosphorylation on Thr-24, Ser-256 and Ser-322 by PKB/AKT1 promotes nuclear export and inactivation of transactivational activity. Phosphorylation on Thr-24 is required for binding 14-3-3 proteins. Phosphorylation of Ser-256 decreases DNA-binding activity and promotes the phosphorylation of Thr-24 and Ser-319, permitting phosphorylation of Ser-322 and Ser-325, probably by CDK1, leading to nuclear exclusion and loss of function. Stress signals, such as response to oxygen or nitric oxide, attenuate the PKB/AKT1-mediated phosphorylation leading to nuclear retention. Phosphorylation of Ser-329 is independent of IGF1 and leads to reduced function. Dephosphorylated on Thr-24 and Ser-256 by PP2A in beta-cells under oxidative stress leading to nuclear retention (By similarity). Phosphorylation of Ser-249 by CDK1 disrupts binding of 14-3-3 proteins leading to nuclear accumulation and has no effect on DNA-binding nor transcriptional activity. Phosphorylation by STK4/MST1 on Ser-212, upon oxidative stress, inhibits binding to 14-3-3 proteins and nuclear export. Acetylated. Acetylation at Lys-262, Lys-265 and Lys-274 are necessary for autophagic cell death induction. Deacetylated by SIRT2 in response to oxidative stress or serum deprivation, thereby negatively regulating FOXO1-mediated autophagic cell death. Ubiquitinated by SRT2. Ubiquitination leads to proteasomal degradation. Methylation inhibits AKT1-mediated phosphorylation at Ser-256 and is increased by oxidative stress. Once in the nucleus, acetylated by CREBBP/EP300. Acetylation diminishes the interaction with target DNA and attenuates the transcriptional activity. It increases the phosphorylation at Ser-256. Deacetylation by SIRT1 results in reactivation of the transcriptional activity. Oxidative stress by hydrogen peroxide treatment appears to promote deacetylation and uncoupling of insulin-induced phosphorylation. By contrast, resveratrol acts independently of acetylation. |
Images (3) Click the Picture to Zoom In
-
ARG51636 anti-FOXO1 / FKHR phospho (Ser319) antibody WB image
Western blot: Extracts from 3T3 cells untreated or treated with serum starvation stained with ARG51636 anti-FOXO1 / FKHR phospho (Ser319) antibody.
-
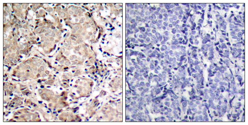
ARG51636 anti-FOXO1 / FKHR phospho (Ser319) antibody IHC-P image
Immunohistochemistry: Paraffin-embedded Human breast carcinoma tissue stained with ARG51636 anti-FOXO1 / FKHR phospho (Ser319) antibody (left) or the same antibody preincubated with blocking peptide (right).
-
ARG51636 anti-FOXO1 / FKHR phospho (Ser319) antibody ICC/IF image
Immunofluorescence: methanol-fixed HeLa cells stained with ARG51636 anti-FOXO1 / FKHR phospho (Ser319) antibody.
