ARG44665
anti-FTCD / 58K Golgi protein antibody
anti-FTCD / 58K Golgi protein antibody for ELISA,IHC-Formalin-fixed paraffin-embedded sections,Immunoprecipitation,Western blot and Human,Rat
Overview
| Product Description | Mouse Monoclonal antibody recognizes FTCD / 58K Golgi protein |
|---|---|
| Tested Reactivity | Hu, Rat |
| Tested Application | ELISA, IHC-P, IP, WB |
| Host | Mouse |
| Clonality | Monoclonal |
| Isotype | IgG1 |
| Target Name | FTCD / 58K Golgi protein |
| Antigen Species | Human |
| Conjugation | Un-conjugated |
| Alternate Names | FTCD; Formimidoyltransferase Cyclodeaminase; Formimidoyltransferase-Cyclodeaminase; Formiminotransferase-Cyclodeaminase; LCHC1; Formiminotransferase Cyclodeaminase |
Application Instructions
| Application Suggestion |
|
||||||||||
|---|---|---|---|---|---|---|---|---|---|---|---|
| Application Note | * The dilutions indicate recommended starting dilutions and the optimal dilutions or concentrations should be determined by the scientist. |
Properties
| Form | Liquid |
|---|---|
| Purification | Protein A purification |
| Buffer | PBS with 0.09% sodium azide |
| Storage Instruction | For continuous use, store undiluted antibody at 2-8°C for up to a week. For long-term storage, aliquot and store at -20°C or below. Storage in frost free freezers is not recommended. Avoid repeated freeze/thaw cycles. Suggest spin the vial prior to opening. The antibody solution should be gently mixed before use. |
| Note | For laboratory research only, not for drug, diagnostic or other use. |
Bioinformation
| Database Links |
Swiss-port # O88618 Rat Formimidoyltransferase-cyclodeaminase Swiss-port # O95954 Human Formimidoyltransferase-cyclodeaminase |
|---|---|
| Gene Symbol | FTCD |
| Gene Full Name | Formimidoyltransferase Cyclodeaminase |
| Background | The protein encoded by this gene is a bifunctional enzyme that channels 1-carbon units from formiminoglutamate, a metabolite of the histidine degradation pathway, to the folate pool. Mutations in this gene are associated with glutamate formiminotransferase deficiency. Alternatively spliced transcript variants have been found for this gene.[provided by RefSeq, Dec 2009] |
| Function | Folate-dependent enzyme, that displays both transferase and deaminase activity. Serves to channel one-carbon units from formiminoglutamate to the folate pool. Binds and promotes bundling of vimentin filaments originating from the Golgi. [UniProt] |
| Cellular Localization | Cytoplasm, Cytoskeleton, Golgi apparatus. [UniProt] |
| Calculated MW | 59 kDa |
| PTM | Phosphoprotein. [UniProt] |
Images (2) Click the Picture to Zoom In
-
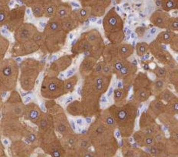
ARG44665 anti-FTCD / 58K Golgi protein antibody IHC-P image
Immunohistochemistry: Human Liver stained with ARG44665 anti-FTCD / 58K Golgi protein antibody at 2 µg/mL dilution.
-
ARG44665 anti-FTCD / 58K Golgi protein antibody WB image
Western blot: Rat Liver stained with ARG44665 anti-FTCD / 58K Golgi protein antibody at 1 µg/mL dilution.
