ARG59221
anti-FZD1 / Frizzled 1 antibody
anti-FZD1 / Frizzled 1 antibody for IHC-Formalin-fixed paraffin-embedded sections,Western blot and Human
Overview
| Product Description | Rabbit Polyclonal antibody recognizes FZD1 / Frizzled 1 |
|---|---|
| Tested Reactivity | Hu |
| Predict Reactivity | Hm |
| Tested Application | IHC-P, WB |
| Host | Rabbit |
| Clonality | Polyclonal |
| Isotype | IgG |
| Target Name | FZD1 / Frizzled 1 |
| Antigen Species | Human |
| Immunogen | Synthetic peptide corresponding to aa. 369-400 of Human FZD1 / Frizzled 1. (YIAGFLLEDRVVCNDKFAEDGARTVAQGTKKE) |
| Conjugation | Un-conjugated |
| Alternate Names | Frizzled-1; Fz-1; hFz1; FzE1 |
Application Instructions
| Application Suggestion |
|
||||||
|---|---|---|---|---|---|---|---|
| Application Note | IHC-P: Antigen Retrieval: By heat mediation. * The dilutions indicate recommended starting dilutions and the optimal dilutions or concentrations should be determined by the scientist. |
Properties
| Form | Liquid |
|---|---|
| Purification | Affinity purification with immunogen. |
| Buffer | 0.9% NaCl, 0.2% Na2HPO4, 0.05% Sodium azide and 5% BSA. |
| Preservative | 0.05% Sodium azide |
| Stabilizer | 5% BSA |
| Concentration | 0.5 mg/ml |
| Storage Instruction | For continuous use, store undiluted antibody at 2-8°C for up to a week. For long-term storage, aliquot and store at -20°C or below. Storage in frost free freezers is not recommended. Avoid repeated freeze/thaw cycles. Suggest spin the vial prior to opening. The antibody solution should be gently mixed before use. |
| Note | For laboratory research only, not for drug, diagnostic or other use. |
Bioinformation
| Database Links | |
|---|---|
| Gene Symbol | FZD1 |
| Gene Full Name | frizzled class receptor 1 |
| Background | Members of the 'frizzled' gene family encode 7-transmembrane domain proteins that are receptors for Wnt signaling proteins. The FZD1 protein contains a signal peptide, a cysteine-rich domain in the N-terminal extracellular region, 7 transmembrane domains, and a C-terminal PDZ domain-binding motif. The FZD1 transcript is expressed in various tissues. [provided by RefSeq, Jul 2008] |
| Function | Receptor for Wnt proteins. Most of frizzled receptors are coupled to the beta-catenin canonical signaling pathway, which leads to the activation of disheveled proteins, inhibition of GSK-3 kinase, nuclear accumulation of beta-catenin and activation of Wnt target genes. A second signaling pathway involving PKC and calcium fluxes has been seen for some family members, but it is not yet clear if it represents a distinct pathway or if it can be integrated in the canonical pathway, as PKC seems to be required for Wnt-mediated inactivation of GSK-3 kinase. Both pathways seem to involve interactions with G-proteins. May be involved in transduction and intercellular transmission of polarity information during tissue morphogenesis and/or in differentiated tissues. Activated by Wnt3A, Wnt3, Wnt1 and to a lesser extent Wnt2, but not by Wnt4, Wnt5A, Wnt5B, Wnt6, Wnt7A or Wnt7B. [UniProt] |
| Cellular Localization | Cell membrane; Multi-pass membrane protein. [UniProt] |
| Calculated MW | 71 kDa |
| PTM | Ubiquitinated by ZNRF3, leading to its degradation by the proteasome. [UniProt] |
Images (2) Click the Picture to Zoom In
-
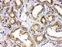
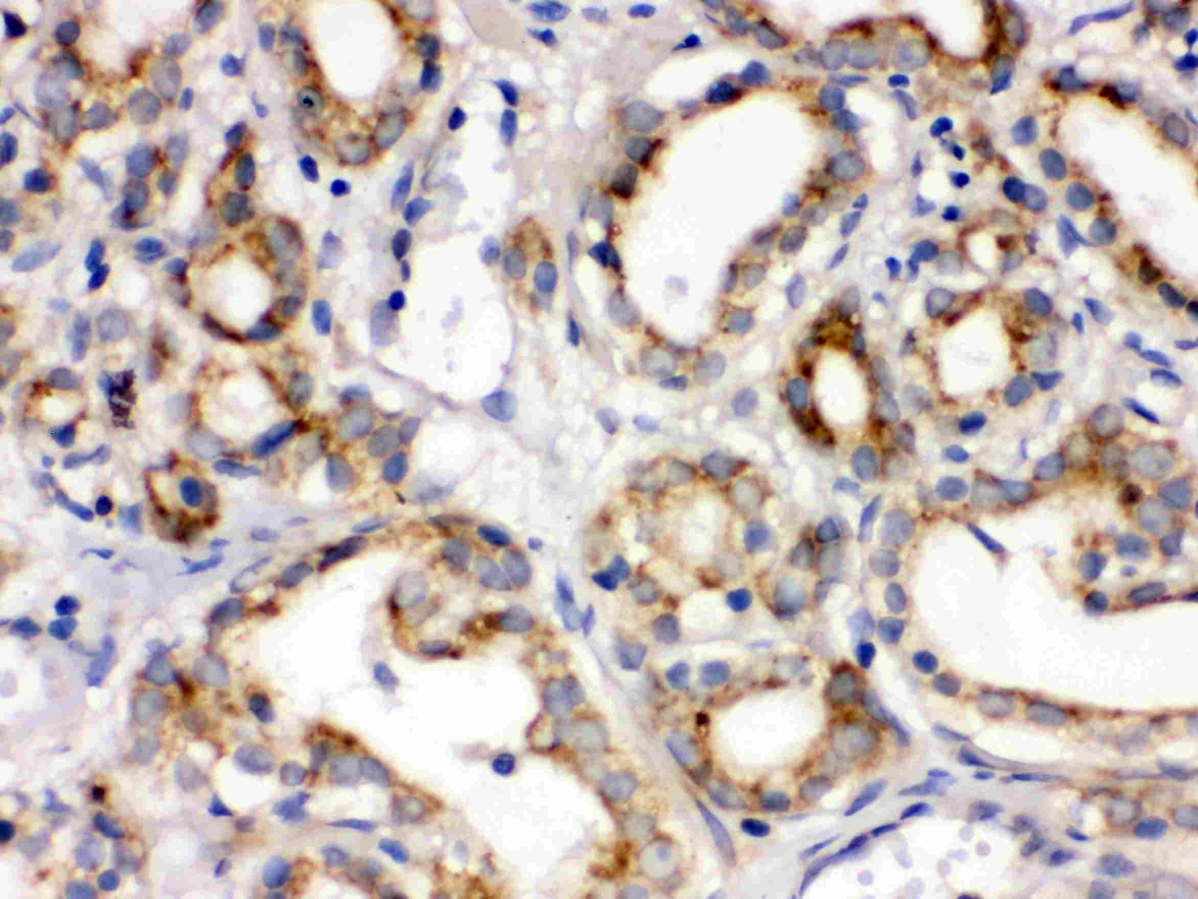
ARG59221 anti-FZD1 / Frizzled 1 antibody IHC-P image
Immunohistochemistry: Paraffin-embedded Human prostatic cancer stained with ARG59221 anti-FZD1 / Frizzled 1 antibody.
-
ARG59221 anti-FZD1 / Frizzled 1 antibody WB image
Western blot: 40 µg of 22RV1 and 293T whole cell lysates stained with ARG59221 anti-FZD1 / Frizzled 1 antibody at 0.5 µg/ml dilution.
