ARG66566
anti-FZD6 / Frizzled 6 antibody
anti-FZD6 / Frizzled 6 antibody for ICC/IF,IHC-Formalin-fixed paraffin-embedded sections,Western blot and Human
Overview
| Product Description | Rabbit Polyclonal antibody recognizes FZD6 / Frizzled 6 |
|---|---|
| Tested Reactivity | Hu |
| Tested Application | ICC/IF, IHC-P, WB |
| Host | Rabbit |
| Clonality | Polyclonal |
| Isotype | IgG |
| Target Name | FZD6 / Frizzled 6 |
| Antigen Species | Human |
| Immunogen | Synthetic peptide corresponding to aa. 90-170 of Human FZD6. |
| Conjugation | Un-conjugated |
| Alternate Names | NDNC10; FZ-6; hFz6; Fz-6; Frizzled-6; HFZ6; FZ6 |
Application Instructions
| Application Suggestion |
|
||||||||
|---|---|---|---|---|---|---|---|---|---|
| Application Note | * The dilutions indicate recommended starting dilutions and the optimal dilutions or concentrations should be determined by the scientist. | ||||||||
| Observed Size | ~ 80 kDa |
Properties
| Form | Liquid |
|---|---|
| Purification | Affinity purification with immunogen. |
| Buffer | PBS, 0.02% Sodium azide, 50% Glycerol and 0.5% BSA. |
| Preservative | 0.02% Sodium azide |
| Stabilizer | 50% Glycerol and 0.5% BSA |
| Concentration | 1 mg/ml |
| Storage Instruction | For continuous use, store undiluted antibody at 2-8°C for up to a week. For long-term storage, aliquot and store at -20°C. Storage in frost free freezers is not recommended. Avoid repeated freeze/thaw cycles. Suggest spin the vial prior to opening. The antibody solution should be gently mixed before use. |
| Note | For laboratory research only, not for drug, diagnostic or other use. |
Bioinformation
| Database Links | |
|---|---|
| Gene Symbol | FZD6 |
| Gene Full Name | frizzled class receptor 6 |
| Background | This gene represents a member of the 'frizzled' gene family, which encode 7-transmembrane domain proteins that are receptors for Wnt signaling proteins. The protein encoded by this family member contains a signal peptide, a cysteine-rich domain in the N-terminal extracellular region, and seven transmembrane domains, but unlike other family members, this protein does not contain a C-terminal PDZ domain-binding motif. This protein functions as a negative regulator of the canonical Wnt/beta-catenin signaling cascade, thereby inhibiting the processes that trigger oncogenic transformation, cell proliferation, and inhibition of apoptosis. Alternative splicing results in multiple transcript variants, some of which do not encode a protein with a predicted signal peptide.[provided by RefSeq, Aug 2011] |
| Function | Receptor for Wnt proteins. Most of frizzled receptors are coupled to the beta-catenin canonical signaling pathway, which leads to the activation of disheveled proteins, inhibition of GSK-3 kinase, nuclear accumulation of beta-catenin and activation of Wnt target genes. A second signaling pathway involving PKC and calcium fluxes has been seen for some family members, but it is not yet clear if it represents a distinct pathway or if it can be integrated in the canonical pathway, as PKC seems to be required for Wnt-mediated inactivation of GSK-3 kinase. Both pathways seem to involve interactions with G-proteins. May be involved in transduction and intercellular transmission of polarity information during tissue morphogenesis and/or in differentiated tissues. Together with FZD3, is involved in the neural tube closure and plays a role in the regulation of the establishment of planar cell polarity (PCP), particularly in the orientation of asymmetric bundles of stereocilia on the apical faces of a subset of auditory and vestibular sensory cells located in the inner ear (By similarity). [UniProt] |
| Cellular Localization | Membrane; Multi-pass membrane protein. Cell membrane; Multi-pass membrane protein. Cell surface. Apical cell membrane; Multi-pass membrane protein. Cytoplasmic vesicle membrane; Multi-pass membrane protein. Note=Colocalizes with FZD3 at the apical face of cells (By similarity). [UniProt] |
| Calculated MW | 79 kDa |
| PTM | Ubiquitinated by ZNRF3, leading to its degradation by the proteasome. [UniProt] |
Images (3) Click the Picture to Zoom In
-
ARG66566 anti-FZD6 / Frizzled 6 antibody ICC/IF image
Immunofluorescence: MCF7 cells stained with ARG66566 anti-FZD6 / Frizzled 6 antibody. The picture on the right is blocked with the synthetic peptide.
-
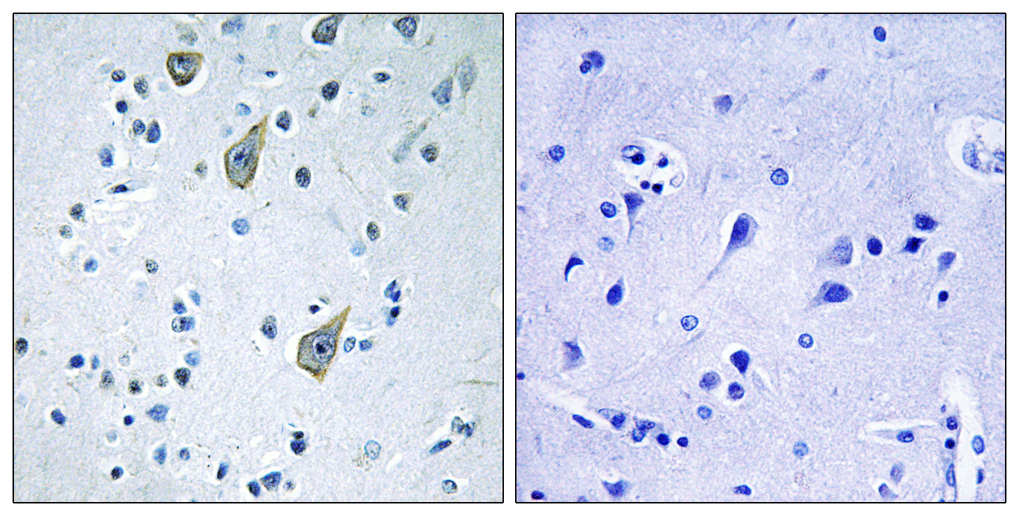
ARG66566 anti-FZD6 / Frizzled 6 antibody IHC-P image
Immunohistochemistry: Paraffin-embedded Human brain tissue stained with ARG66566 anti-FZD6 / Frizzled 6 antibody. The picture on the right is blocked with the synthetic peptide.
-
ARG66566 anti-FZD6 / Frizzled 6 antibody WB image
Western blot: 293 cell lysate stained with ARG66566 anti-FZD6 / Frizzled 6 antibody.
