ARG63864
anti-FZD8 / Frizzled 8 antibody
anti-FZD8 / Frizzled 8 antibody for ICC/IF,IHC-Formalin-fixed paraffin-embedded sections,Western blot and Human
Cancer antibody; Developmental Biology antibody; Signaling Transduction antibody
Overview
| Product Description | Goat Polyclonal antibody recognizes FZD8 / Frizzled 8 |
|---|---|
| Tested Reactivity | Hu |
| Predict Reactivity | Ms, Rat, Cow, Dog |
| Tested Application | ICC/IF, IHC-P, WB |
| Host | Goat |
| Clonality | Polyclonal |
| Isotype | IgG |
| Target Name | FZD8 / Frizzled 8 |
| Antigen Species | Human |
| Immunogen | C-SYPKQMPLSQV |
| Conjugation | Un-conjugated |
| Alternate Names | Fz-8; Frizzled-8; FZ-8; hFZ8; hFz8 |
Application Instructions
| Application Suggestion |
|
||||||||
|---|---|---|---|---|---|---|---|---|---|
| Application Note | IHC-P: Antigen Retrieval: Microwaved tissue section in Tris/EDTA buffer (pH 9.0). WB: Recommend incubate at RT for 1h. * The dilutions indicate recommended starting dilutions and the optimal dilutions or concentrations should be determined by the scientist. |
Properties
| Form | Liquid |
|---|---|
| Purification | Purified from goat serum by antigen affinity chromatography. |
| Buffer | Tris saline (pH 7.3), 0.02% Sodium azide and 0.5% BSA. |
| Preservative | 0.02% Sodium azide |
| Stabilizer | 0.5% BSA |
| Concentration | 0.5 mg/ml |
| Storage Instruction | For continuous use, store undiluted antibody at 2-8°C for up to a week. For long-term storage, aliquot and store at -20°C or below. Storage in frost free freezers is not recommended. Avoid repeated freeze/thaw cycles. Suggest spin the vial prior to opening. The antibody solution should be gently mixed before use. |
| Note | For laboratory research only, not for drug, diagnostic or other use. |
Bioinformation
| Database Links | |
|---|---|
| Background | This intronless gene is a member of the frizzled gene family. Members of this family encode seven-transmembrane domain proteins that are receptors for the Wingless type MMTV integration site family of signaling proteins. Most frizzled receptors are coupled to the beta-catenin canonical signaling pathway. This gene is highly expressed in two human cancer cell lines, indicating that it may play a role in several types of cancer. The crystal structure of the extracellular cysteine-rich domain of a similar mouse protein has been determined. [provided by RefSeq, Jul 2008] |
| Research Area | Cancer antibody; Developmental Biology antibody; Signaling Transduction antibody |
| Calculated MW | 73 kDa |
| PTM | Ubiquitinated by ZNRF3, leading to its degradation by the proteasome. |
Images (2) Click the Picture to Zoom In
-
ARG63864 anti-FZD8 / Frizzled 8 antibody WB image
Western blot: Human pancreas lysate (35 µg protein in RIPA buffer) stained with ARG63864 anti-FZD8 / Frizzled 8 antibody at 1 µg/ml dilution.
-
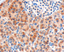
ARG63864 anti-FZD8 / Frizzled 8 antibody IHC-P image
Immunohistochemistry: Paraffin embedded Human Pancreas. (Microwaved antigen retrieval with Tris/EDTA buffer pH9) stained with ARG63864 anti-FZD8 / Frizzled 8 antibody at 3 µg/ml dilution followed by HRP-staining.
