ARG42853
anti-Factor VII antibody
anti-Factor VII antibody for IHC-Formalin-fixed paraffin-embedded sections,Western blot and Human,Mouse
Overview
| Product Description | Rabbit Polyclonal antibody recognizes Factor VII |
|---|---|
| Tested Reactivity | Hu, Ms |
| Tested Application | IHC-P, WB |
| Host | Rabbit |
| Clonality | Polyclonal |
| Isotype | IgG |
| Target Name | Factor VII |
| Antigen Species | Human |
| Immunogen | Fusion protein of Human Factor VII. |
| Conjugation | Un-conjugated |
| Alternate Names | Eptacog alfa; Coagulation factor VII; SPCA; Serum prothrombin conversion accelerator; EC 3.4.21.21; Proconvertin |
Application Instructions
| Application Suggestion |
|
||||||
|---|---|---|---|---|---|---|---|
| Application Note | * The dilutions indicate recommended starting dilutions and the optimal dilutions or concentrations should be determined by the scientist. | ||||||
| Positive Control | WB: NIH/3T3, 293T and Jurkat IHC-P: Human lung cancer and Human thyroid cancer |
||||||
| Observed Size | ~ 50 kDa |
Properties
| Form | Liquid |
|---|---|
| Purification | Affinity purification with immunogen. |
| Buffer | PBS (pH 7.4), 0.05% Sodium azide and 40% Glycerol. |
| Preservative | 0.05% Sodium azide |
| Stabilizer | 40% Glycerol |
| Concentration | 0.4 mg/ml |
| Storage Instruction | For continuous use, store undiluted antibody at 2-8°C for up to a week. For long-term storage, aliquot and store at -20°C. Storage in frost free freezers is not recommended. Avoid repeated freeze/thaw cycles. Suggest spin the vial prior to opening. The antibody solution should be gently mixed before use. |
| Note | For laboratory research only, not for drug, diagnostic or other use. |
Bioinformation
| Database Links | |
|---|---|
| Gene Symbol | F7 |
| Gene Full Name | coagulation factor VII (serum prothrombin conversion accelerator) |
| Background | This gene encodes coagulation factor VII which is a vitamin K-dependent factor essential for hemostasis. This factor circulates in the blood in a zymogen form, and is converted to an active form by either factor IXa, factor Xa, factor XIIa, or thrombin by minor proteolysis. Upon activation of the factor VII, a heavy chain containing a catalytic domain and a light chain containing 2 EGF-like domains are generated, and two chains are held together by a disulfide bond. In the presence of factor III and calcium ions, the activated factor then further activates the coagulation cascade by converting factor IX to factor IXa and/or factor X to factor Xa. Defects in this gene can cause coagulopathy. Alternative splicing results in multiple transcript variants encoding different isoforms that may undergo similar proteolytic processing to generate mature polypeptides. [provided by RefSeq, Aug 2015] |
| Function | Initiates the extrinsic pathway of blood coagulation. Serine protease that circulates in the blood in a zymogen form. Factor VII is converted to factor VIIa by factor Xa, factor XIIa, factor IXa, or thrombin by minor proteolysis. In the presence of tissue factor and calcium ions, factor VIIa then converts factor X to factor Xa by limited proteolysis. Factor VIIa will also convert factor IX to factor IXa in the presence of tissue factor and calcium. [UniProt] |
| Cellular Localization | Secreted. [UniProt] |
| Calculated MW | 52 kDa |
| PTM | The vitamin K-dependent, enzymatic carboxylation of some glutamate residues allows the modified protein to bind calcium. The iron and 2-oxoglutarate dependent 3-hydroxylation of aspartate and asparagine is (R) stereospecific within EGF domains. O- and N-glycosylated. N-glycosylation at Asn-205 occurs cotranslationally and is mediated by STT3A-containing complexes, while glycosylation at Asn-382 is post-translational and is mediated STT3B-containing complexes before folding. O-fucosylated by POFUT1 on a conserved serine or threonine residue found in the consensus sequence C2-X(4,5)-[S/T]-C3 of EGF domains, where C2 and C3 are the second and third conserved cysteines. Can be either O-glucosylated or O-xylosylated at Ser-112 by POGLUT1 in vitro. [UniProt] |
Images (3) Click the Picture to Zoom In
-
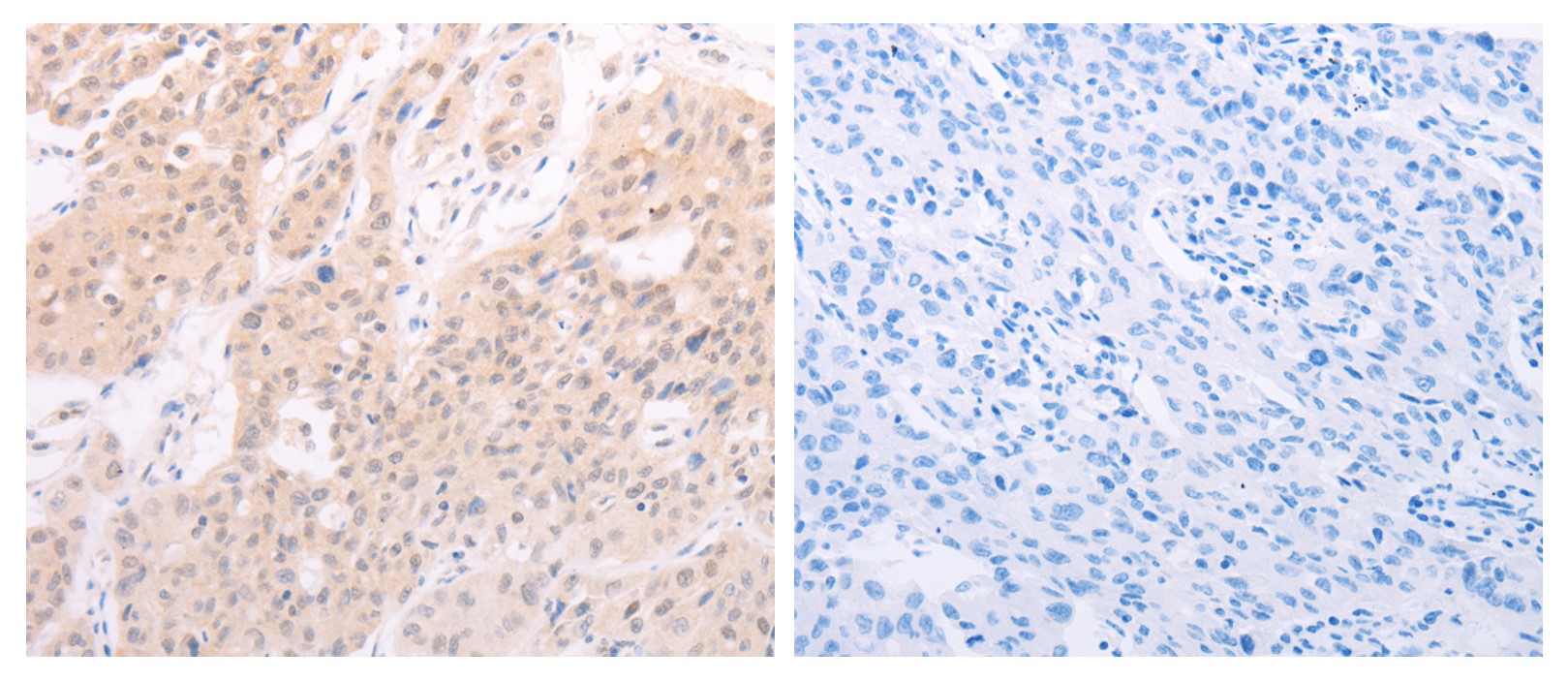
ARG42853 anti-Factor VII antibody IHC-P image
Immunohistochemistry: Paraffin-embedded Human lung cancer tissue stained with ARG42853 anti-Factor VII antibody (left) at 1:40 dilution, or the same antibody pre-incubated with fusion protein (right). (Original magnification: X200).
-
ARG42853 anti-Factor VII antibody WB image
Western blot: 40 µg of NIH/3T3, 293T and Jurkat cell lysates stained with ARG42853 anti-Factor VII antibody at 1:400 dilution.
-
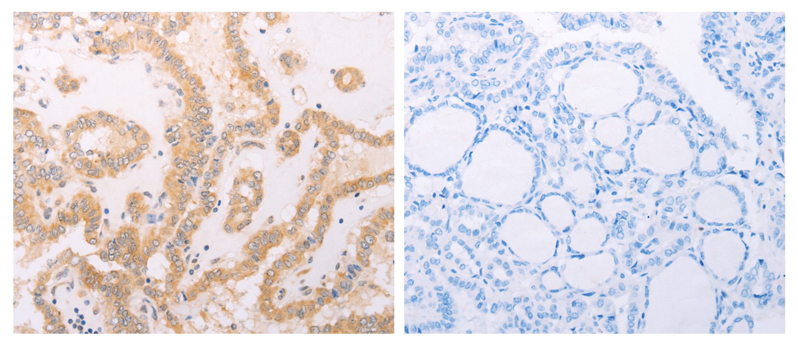
ARG42853 anti-Factor VII antibody IHC-P image
Immunohistochemistry: Paraffin-embedded Human thyroid cancer tissue stained with ARG42853 anti-Factor VII antibody (left) at 1:40 dilution, or the same antibody pre-incubated with fusion protein (right). (Original magnification: X200).
