ARG10090
anti-Factor X antibody [F10-1]
anti-Factor X antibody [F10-1] for ELISA,Western blot and Human
Cell Biology and Cellular Response antibody
Overview
| Product Description | Mouse Monoclonal antibody [F10-1] recognizes Factor X |
|---|---|
| Tested Reactivity | Hu |
| Tested Application | ELISA, WB |
| Host | Mouse |
| Clonality | Monoclonal |
| Clone | F10-1 |
| Isotype | IgG1, kappa |
| Target Name | Factor X |
| Antigen Species | Human |
| Immunogen | Human Factor X |
| Conjugation | Un-conjugated |
| Alternate Names | FX; Stuart factor; EC 3.4.21.6; Stuart-Prower factor; FXA; Coagulation factor X |
Application Instructions
| Application Note | * The dilutions indicate recommended starting dilutions and the optimal dilutions or concentrations should be determined by the scientist. |
|---|
Properties
| Form | Liquid |
|---|---|
| Purification | Protein G affinity purified |
| Buffer | 0.01M PBS (pH 7.2) |
| Concentration | 1 mg/ml |
| Storage Instruction | For continuous use, store undiluted antibody at 2-8°C for up to a week. For long-term storage, aliquot and store at -20°C or below. Storage in frost free freezers is not recommended. Avoid repeated freeze/thaw cycles. Suggest spin the vial prior to opening. The antibody solution should be gently mixed before use. |
| Note | For laboratory research only, not for drug, diagnostic or other use. |
Bioinformation
| Database Links | |
|---|---|
| Gene Symbol | F10 |
| Gene Full Name | coagulation factor X |
| Background | Factor X is the first enzyme in the common pathway of blood coagulation. It can be activated by Factor IXa (with Factor VIII cofactor) of the contact pathway and by Factor VIIa of the tissue factor pathway. After activation, It cleaves prothrombin to form thrombin. Thrombin not only transforms Fibrinogen to form Fibrin and but also activates Factor XIII to stabilize Fibrin in the thrombus. |
| Function | Factor Xa is a vitamin K-dependent glycoprotein that converts prothrombin to thrombin in the presence of factor Va, calcium and phospholipid during blood clotting. [UniProt] |
| Research Area | Cell Biology and Cellular Response antibody |
| Calculated MW | 55 kDa |
| PTM | The vitamin K-dependent, enzymatic carboxylation of some glutamate residues allows the modified protein to bind calcium. N- and O-glycosylated. O-glycosylated with core 1 or possibly core 8 glycans. The activation peptide is cleaved by factor IXa (in the intrinsic pathway), or by factor VIIa (in the extrinsic pathway). The iron and 2-oxoglutarate dependent 3-hydroxylation of aspartate and asparagine is (R) stereospecific within EGF domains. |
Images (2) Click the Picture to Zoom In
-
ARG10090 anti-Factor X antibody [F10-1] WB image
Western Blot: Purified human Factor-X antigen (200 ng/well) stained with anti-Factor X antibody [F10-1] (ARG10090) at 1 μg/mL
-
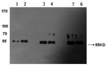
ARG10090 anti-Factor X antibody [F10-1] WB image
Western Blot: 1,2: Anti-human Factor-X ab used at 0.2 μg/mL dilution 3,4: Anti-human Factor-X ab used at 0.5 μg/mL dilution 5,6: Anti-human Factor-X ab used at 1 μg/mL dilution stained with anti-Factor X antibody [F10-1] (ARG10090)
